Antibody data
- Antibody Data
- Antigen structure
- References [0]
- Comments [0]
- Validations
- Immunohistochemistry [3]
Submit
Validation data
Reference
Comment
Report error
- Product number
- PA5-60459 - Provider product page

- Provider
- Invitrogen Antibodies
- Product name
- B3GNT8 Polyclonal Antibody
- Antibody type
- Polyclonal
- Antigen
- Recombinant protein fragment
- Description
- Immunogen sequence: TPANPEPTLP ANLSTRLGQT IPLPFAYWNQ QQWRLGSLPS GDSTETGGCQ AWGAAAATEI PDFASYPKDL RRFLLSAACR SFPQWLP Highest antigen sequence identity to the following orthologs: Mouse - 69%, Rat - 69%.
- Reactivity
- Human
- Host
- Rabbit
- Isotype
- IgG
- Vial size
- 100 μL
- Concentration
- 0.2 mg/mL
- Storage
- Store at 4°C short term. For long term storage, store at -20°C, avoiding freeze/thaw cycles.
No comments: Submit comment
Supportive validation
- Submitted by
- Invitrogen Antibodies (provider)
- Main image

- Experimental details
- Immunohistochemical analysis of B3GNT8 in human small intestine using B3GNT8 Polyclonal Antibody (Product # PA5-60459) shows high expression.
- Submitted by
- Invitrogen Antibodies (provider)
- Main image

- Experimental details
- Immunohistochemical staining of B3GNT8 in human small intestine and liver tissues using B3GNT8 Polyclonal Antibody (Product # PA5-60459). Corresponding B3GNT8 RNA-seq data are presented for the same tissues.
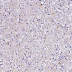
- Submitted by
- Invitrogen Antibodies (provider)
- Main image

- Experimental details
- Immunohistochemical staining of B3GNT8 in human liver using B3GNT8 Polyclonal Antibody (Product # PA5-60459) shows low expression as expected.