Antibody data
- Antibody Data
- Antigen structure
- References [0]
- Comments [0]
- Validations
- Immunocytochemistry [2]
- Immunohistochemistry [1]
Submit
Validation data
Reference
Comment
Report error
- Product number
- PA5-63933 - Provider product page

- Provider
- Invitrogen Antibodies
- Product name
- PINLYP Polyclonal Antibody
- Antibody type
- Polyclonal
- Antigen
- Recombinant protein fragment
- Description
- Immunogen sequence: CTASFRDKCM GPMTHCTGKE NHCVSLSGHV QAGIFKPRFA MRGCATESMC FTKPGAEVPT GTNVLFLHHI ECTHS Highest antigen sequence identity to the following orthologs: Mouse - 47%, Rat - 47%.
- Reactivity
- Human
- Host
- Rabbit
- Isotype
- IgG
- Vial size
- 100 μL
- Concentration
- 0.1 mg/mL
- Storage
- Store at 4°C short term. For long term storage, store at -20°C, avoiding freeze/thaw cycles.
No comments: Submit comment
Supportive validation
- Submitted by
- Invitrogen Antibodies (provider)
- Main image

- Experimental details
- Immunofluorescent staining of PINLYP in human cell line U-251 MG using a PINLYP Polyclonal Antibody (Product # PA5-63933) shows localization to vesicles.
- Submitted by
- Invitrogen Antibodies (provider)
- Main image

- Experimental details
- Immunofluorescent staining of PINLYP in human cell line U-251 MG using a PINLYP Polyclonal Antibody (Product # PA5-63933) shows localization to vesicles.
Supportive validation
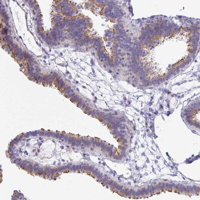
- Submitted by
- Invitrogen Antibodies (provider)
- Main image

- Experimental details
- Immunohistochemical staining of PINLYP in human fallopian tube using a PINLYP Polyclonal Antibody (Product # PA5-63933) shows strong positivity in cilia.