PA5-87549
antibody from Invitrogen Antibodies
Targeting: SNAP25
bA416N4.2, dJ1068F16.2, RIC-4, RIC4, SEC9, SNAP, SNAP-25
Antibody data
- Antibody Data
- Antigen structure
- References [0]
- Comments [0]
- Validations
- Immunocytochemistry [1]
- Immunohistochemistry [9]
Submit
Validation data
Reference
Comment
Report error
- Product number
- PA5-87549 - Provider product page

- Provider
- Invitrogen Antibodies
- Product name
- SNAP25 Polyclonal Antibody
- Antibody type
- Polyclonal
- Antigen
- Recombinant protein fragment
- Description
- Immunogen sequence: MAEDADMRNE LEEMQRRADQ LADESLESTR RMLQLVEESK DAGIRTLVML DEQGEQLERI EEGMDQINKD MKEAEKNLTD LGKFCGLCVC PCNKLKSSDA YKKAWGNNQD GVVASQPARV VDEREQMAIS GGFIRRVTND ARENEMDENL EQVSGIIGNL RHMALDMGNE IDTQNRQIDR IMEKADSNKT RIDEANQRAT KMLGSG Positive Samples: HeLa, SH-SY5Y, PC-12; Cellular Location: Cell junction, Cell membrane, Cytoplasm, Lipid-anchor, perinuclear region, synapse, synaptosome
- Reactivity
- Human, Mouse, Rat
- Host
- Rabbit
- Isotype
- IgG
- Vial size
- 100 μL
- Concentration
- 0.40 mg/mL
- Storage
- -20°C, Avoid Freeze/Thaw Cycles
No comments: Submit comment
Supportive validation
- Submitted by
- Invitrogen Antibodies (provider)
- Main image

- Experimental details
- Immunocytochemistry-Immunofluorescence analysis of SNAP25 was performed in HeLa cells using SNAP25 Polyclonal Antibody (Product # PA5-87549).
Supportive validation
- Submitted by
- Invitrogen Antibodies (provider)
- Main image

- Experimental details
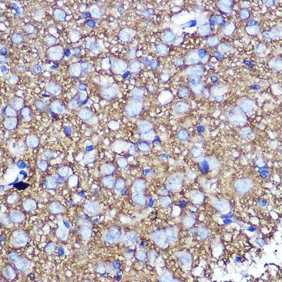
- Immunohistochemistry analysis of SNAP25 in paraffin-embedded rat brain. Samples were incubated with SNAP25 Polyclonal antibody (Product # PA5-87549) using a dilution of 1:100 (40x lens). Perform microwave antigen retrieval with 10 mM PBS buffer pH 7.2 before commencing with IHC staining protocol.
- Submitted by
- Invitrogen Antibodies (provider)
- Main image

- Experimental details
- Immunohistochemistry analysis of SNAP25 in paraffin-embedded human brain. Samples were incubated with SNAP25 Polyclonal antibody (Product # PA5-87549) using a dilution of 1:100 (40x lens). Perform microwave antigen retrieval with 10 mM PBS buffer pH 7.2 before commencing with IHC staining protocol.
- Submitted by
- Invitrogen Antibodies (provider)
- Main image

- Experimental details
- Immunohistochemistry analysis of SNAP25 in paraffin-embedded mouse brain. Samples were incubated with SNAP25 Polyclonal antibody (Product # PA5-87549) using a dilution of 1:100 (40x lens). Perform microwave antigen retrieval with 10 mM PBS buffer pH 7.2 before commencing with IHC staining protocol.
- Submitted by
- Invitrogen Antibodies (provider)
- Main image

- Experimental details
- Immunohistochemistry (Immunofluorescence) analysis of SNAP25 in rat brain. Samples were incubated with SNAP25 Polyclonal antibody (Product # PA5-87549) using a dilution of 1:100 (40x lens). Blue: DAPI for nuclear staining.
- Submitted by
- Invitrogen Antibodies (provider)
- Main image

- Experimental details
- Immunohistochemistry (Immunofluorescence) analysis of SNAP25 in mouse brain. Samples were incubated with SNAP25 Polyclonal antibody (Product # PA5-87549) using a dilution of 1:100 (40x lens). Blue: DAPI for nuclear staining.
- Submitted by
- Invitrogen Antibodies (provider)
- Main image

- Experimental details
- Immunohistochemistry analysis of SNAP25 in paraffin-embedded rat brain. Samples were incubated with SNAP25 Polyclonal antibody (Product # PA5-87549) using a dilution of 1:100 (40x lens). Perform microwave antigen retrieval with 10 mM PBS buffer pH 7.2 before commencing with IHC staining protocol.
- Submitted by
- Invitrogen Antibodies (provider)
- Main image

- Experimental details
- Immunohistochemistry analysis of SNAP25 in paraffin-embedded human brain. Samples were incubated with SNAP25 Polyclonal antibody (Product # PA5-87549) using a dilution of 1:100 (40x lens). Perform microwave antigen retrieval with 10 mM PBS buffer pH 7.2 before commencing with IHC staining protocol.
- Submitted by
- Invitrogen Antibodies (provider)
- Main image

- Experimental details
- Immunohistochemistry (Immunofluorescence) analysis of SNAP25 in rat brain. Samples were incubated with SNAP25 Polyclonal antibody (Product # PA5-87549) using a dilution of 1:100 (40x lens). Blue: DAPI for nuclear staining.
- Submitted by
- Invitrogen Antibodies (provider)
- Main image

- Experimental details
- Immunohistochemistry (Immunofluorescence) analysis of SNAP25 in mouse brain. Samples were incubated with SNAP25 Polyclonal antibody (Product # PA5-87549) using a dilution of 1:100 (40x lens). Blue: DAPI for nuclear staining.