Antibody data
- Antibody Data
- Antigen structure
- References [0]
- Comments [0]
- Validations
- Western blot [2]
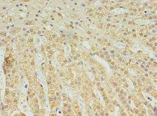
- Immunohistochemistry [1]
Submit
Validation data
Reference
Comment
Report error
- Product number
- LS-C378298 - Provider product page

- Provider
- LSBio
- Product name
- C2orf15 Antibody LS-C378298
- Antibody type
- Polyclonal
- Description
- Protein G purified
- Reactivity
- Human
- Host
- Rabbit
- Isotype
- IgG
- Storage
- Short term: -20°C; Long term: -80°C; Avoid freeze-thaw cycles.
No comments: Submit comment
Enhanced validation
- Submitted by
- LSBio (provider)
- Enhanced method
- Genetic validation
- Main image

- Experimental details
- Western blot. All lanes: C2orf15 antibody at 6 ug/ml. Lane 1: U251 whole cell lysate. Lane 2: MCF7 whole cell lysate. Lane 3: HCT116 whole cell lysate. Secondary Goat polyclonal to Rabbit IgG at 1:10000 dilution. Predicted band size: 14 kDa. Observed band size: 14 kDa.
- Submitted by
- LSBio (provider)
- Enhanced method
- Genetic validation
- Main image

- Experimental details
- Western blot All lanes: C2orf15 antibody at 6µg/ml Lane 1: U251 whole cell lysate Lane 2: MCF-7 whole cell lysate Lane 3: HCT116 whole cell lysate Secondary Goat polyclonal to rabbit IgG at 1/10000 dilution Predicted band size: 14 kDa Observed band size: 14 kDa
Supportive validation
- Submitted by
- LSBio (provider)
- Enhanced method
- Genetic validation
- Main image

- Experimental details
- Immunohistochemistry of paraffin-embedded human adrenal gland tissue using antibody at dilution of 1:100.