PAB17367
antibody from Abnova Corporation
Targeting: HCFC1
CFF, HCF-1, HCF1, HFC1, MGC70925, MRX3, PPP1R89, VCAF
Antibody data
- Antibody Data
- Antigen structure
- References [3]
- Comments [0]
- Validations
- Immunohistochemistry [1]
Submit
Validation data
Reference
Comment
Report error
- Product number
- PAB17367 - Provider product page

- Provider
- Abnova Corporation
- Proper citation
- Abnova Corporation Cat#PAB17367, RRID:AB_10642745
- Product name
- HCFC1 polyclonal antibody
- Antibody type
- Polyclonal
- Description
- Rabbit polyclonal antibody raised against synthetic peptide of HCFC1.
- Storage
- Store at -20°C.Aliquot to avoid repeated freezing and thawing.
Submitted references The cellular C1 factor of the herpes simplex virus enhancer complex is a family of polypeptides.
The VP16 accessory protein HCF is a family of polypeptides processed from a large precursor protein.
Asthma, allergy and immunotherapy; a historical review: Part II.
Kristie TM, Pomerantz JL, Twomey TC, Parent SA, Sharp PA
The Journal of biological chemistry 1995 Mar 3;270(9):4387-94
The Journal of biological chemistry 1995 Mar 3;270(9):4387-94
The VP16 accessory protein HCF is a family of polypeptides processed from a large precursor protein.
Wilson AC, LaMarco K, Peterson MG, Herr W
Cell 1993 Jul 16;74(1):115-25
Cell 1993 Jul 16;74(1):115-25
Asthma, allergy and immunotherapy; a historical review: Part II.
Cohen SG, Evans R 3rd
Allergy proceedings : the official journal of regional and state allergy societies 1992 Jan-Feb;13(1):47-58
Allergy proceedings : the official journal of regional and state allergy societies 1992 Jan-Feb;13(1):47-58
No comments: Submit comment
Supportive validation
- Submitted by
- Abnova Corporation (provider)
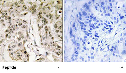
- Main image

- Experimental details
- Immunohistochemistry analysis of paraffin-embedded human breast carcinoma tissue, using HCFC1 polyclonal antibody (Cat # PAB17367).Peptide "+" means "with peptide blocking".
- Validation comment
- Immunohistochemistry (Formalin/PFA-fixed paraffin-embedded sections)