Antibody data
- Antibody Data
- Antigen structure
- References [8]
- Comments [0]
- Validations
- Western blot [5]
- Immunoprecipitation [1]
- Immunohistochemistry [2]
Submit
Validation data
Reference
Comment
Report error
- Product number
- GTX121919 - Provider product page

- Provider
- GeneTex
- Proper citation
- GeneTex Cat#GTX121919, RRID:AB_10729577
- Product name
- EGFR antibody [N1-2], N-term
- Antibody type
- Polyclonal
- Reactivity
- Human, Mouse
- Host
- Rabbit
Submitted references A new type of gadodiamide-conjugated amphiphilic chitosan nanoparticle and its use for MR imaging with significantly enhanced contrastability.
Enhancement by Nano-Diamino-Tetrac of Antiproliferative Action of Gefitinib on Colorectal Cancer Cells: Mediation by EGFR Sialylation and PI3K Activation.
The CHAC1-inhibited Notch3 pathway is involved in temozolomide-induced glioma cytotoxicity.
Sialylation regulates myofibroblast differentiation of human skin fibroblasts.
OFD1 and flotillins are integral components of a ciliary signaling protein complex organized by polycystins in renal epithelia and odontoblasts.
Salvianolic acid B maintained stem cell pluripotency and increased proliferation rate by activating Jak2-Stat3 combined with EGFR-Erk1/2 pathways.
NF-κB-induced KIAA1199 promotes survival through EGFR signalling.
Targeting epidermal growth factor receptor/human epidermal growth factor receptor 2 signalling pathway by a dual receptor tyrosine kinase inhibitor afatinib for radiosensitisation in murine bladder carcinoma.
Huang WT, Ko YP, Kuo TY, Larsson M, Chang MC, Jean RD, Liu DM
Carbohydrate polymers 2019 Jan 1;203:256-264
Carbohydrate polymers 2019 Jan 1;203:256-264
Enhancement by Nano-Diamino-Tetrac of Antiproliferative Action of Gefitinib on Colorectal Cancer Cells: Mediation by EGFR Sialylation and PI3K Activation.
Chang TC, Chin YT, Nana AW, Wang SH, Liao YM, Chen YR, Shih YJ, Changou CA, Yang YS, Wang K, Whang-Peng J, Wang LS, Stain SC, Shih A, Lin HY, Wu CH, Davis PJ
Hormones & cancer 2018 Dec;9(6):420-432
Hormones & cancer 2018 Dec;9(6):420-432
The CHAC1-inhibited Notch3 pathway is involved in temozolomide-induced glioma cytotoxicity.
Chen PH, Shen WL, Shih CM, Ho KH, Cheng CH, Lin CW, Lee CC, Liu AJ, Chen KC
Neuropharmacology 2017 Apr;116:300-314
Neuropharmacology 2017 Apr;116:300-314
Sialylation regulates myofibroblast differentiation of human skin fibroblasts.
Sasaki N, Itakura Y, Toyoda M
Stem cell research & therapy 2017 Apr 18;8(1):81
Stem cell research & therapy 2017 Apr 18;8(1):81
OFD1 and flotillins are integral components of a ciliary signaling protein complex organized by polycystins in renal epithelia and odontoblasts.
Jerman S, Ward HH, Lee R, Lopes CA, Fry AM, MacDougall M, Wandinger-Ness A
PloS one 2014;9(9):e106330
PloS one 2014;9(9):e106330
Salvianolic acid B maintained stem cell pluripotency and increased proliferation rate by activating Jak2-Stat3 combined with EGFR-Erk1/2 pathways.
Liu CH, Shyu WC, Fu RH, Huang SJ, Chang CH, Huang YC, Chen SY, Lin SZ, Liu SP
Cell transplantation 2014;23(4-5):657-68
Cell transplantation 2014;23(4-5):657-68
NF-κB-induced KIAA1199 promotes survival through EGFR signalling.
Shostak K, Zhang X, Hubert P, Göktuna SI, Jiang Z, Klevernic I, Hildebrand J, Roncarati P, Hennuy B, Ladang A, Somja J, Gothot A, Close P, Delvenne P, Chariot A
Nature communications 2014 Nov 4;5:5232
Nature communications 2014 Nov 4;5:5232
Targeting epidermal growth factor receptor/human epidermal growth factor receptor 2 signalling pathway by a dual receptor tyrosine kinase inhibitor afatinib for radiosensitisation in murine bladder carcinoma.
Tsai YC, Yeh CH, Tzen KY, Ho PY, Tuan TF, Pu YS, Cheng AL, Cheng JC
European journal of cancer (Oxford, England : 1990) 2013 Apr;49(6):1458-66
European journal of cancer (Oxford, England : 1990) 2013 Apr;49(6):1458-66
No comments: Submit comment
Enhanced validation
Supportive validation
- Submitted by
- GeneTex (provider)
- Enhanced method
- Genetic validation
- Main image

- Experimental details
- Non-transfected (¡V) and transfected (+) A431 whole cell extracts (15 ?g) were separated by 5% SDS-PAGE, and the membrane was blotted with EGFR antibody [N1-2], N-term (GTX121919) diluted at 1:12000. The HRP-conjugated anti-rabbit IgG antibody (GTX213110-01) was used to detect the primary antibody.
Supportive validation
- Submitted by
- GeneTex (provider)
- Main image

- Experimental details
- Sample (30 ?g of whole cell lysate) A: A431 5% SDS PAGE GTX121919 diluted at 1:10000 The HRP-conjugated anti-rabbit IgG antibody (GTX213110-01) was used to detect the primary antibody.
- Submitted by
- GeneTex (provider)
- Main image

- Experimental details
- Sample (50 ?g of whole cell lysate) A: Mouse brain 5% SDS PAGE GTX121919 diluted at 1:500 The HRP-conjugated anti-rabbit IgG antibody (GTX213110-01) was used to detect the primary antibody.
- Submitted by
- GeneTex (provider)
- Main image

- Experimental details
- Various whole cell extracts (30 ?g) were separated by 5% SDS-PAGE, and the membrane was blotted with EGFR antibody [N1-2], N-term (GTX121919) diluted at 1:500. The HRP-conjugated anti-rabbit IgG antibody (GTX213110-01) was used to detect the primary antibody.
- Submitted by
- GeneTex (provider)
- Main image

- Experimental details
- Non-transfected (¡V) and transfected (+) A431 whole cell extracts (15 ?g) were separated by 5% SDS-PAGE, and the membrane was blotted with EGFR antibody [N1-2], N-term (GTX121919) diluted at 1:12000. The HRP-conjugated anti-rabbit IgG antibody (GTX213110-01) was used to detect the primary antibody.
Supportive validation
- Submitted by
- GeneTex (provider)
- Main image

- Experimental details
- EGFR protein was immunoprecipitated from A549 cell lysate using 5 ug of anti-EGFR antibody (GTX121919). The precipitated EGFR protein was detected by GTX121919 diluted at 1:500, and used EasyBlot anti-rabbit IgG (GTX221666-01) as secondary reagent. A: A549 cell lysate. B: IP by EGFR antibody. 7.5% SDS PAGE
Supportive validation
- Submitted by
- GeneTex (provider)
- Main image

- Experimental details
- Immunohistochemical analysis of paraffin-embedded Cal27 xenograft, using EGFR(GTX121919) antibody at 1:500 dilution.
- Submitted by
- GeneTex (provider)
- Main image

- Experimental details
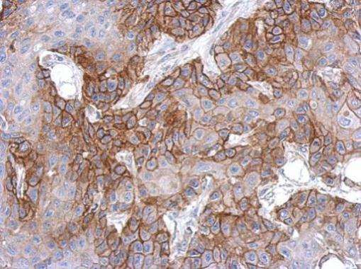
- EGFR antibody [N1-2], N-term detects EGFR protein at cell membrane in human non-small cell lung cancer by immunohistochemical analysis. Sample: Two independent paraffin-embedded human non-small cell lung cancer. EGFR antibody [N1-2], N-term (GTX121919) diluted at 1:500.