Antibody data
- Antibody Data
- Antigen structure
- References [0]
- Comments [0]
- Validations
- Western blot [1]
- Immunohistochemistry [1]
Submit
Validation data
Reference
Comment
Report error
- Product number
- AP54689PU-N - Provider product page

- Provider
- OriGene
- Product name
- ZNF321P (ZNF816-ZNF321P) (N-term) rabbit polyclonal antibody, Aff - Purified
- Antibody type
- Polyclonal
- Description
- ZNF321P (ZNF816-ZNF321P) (N-term) rabbit polyclonal antibody, Aff - Purified
- Host
- Rabbit
- Conjugate
- Unconjugated
- Epitope
- ZNF816-ZNF321P
- Antibody clone number
- NULL
- Vial size
- 400 µl
- Concentration
- lot specific
No comments: Submit comment
Supportive validation
- Submitted by
- OriGene (provider)
- Main image

- Experimental details
- ZNF321 Antibody (N-term) western blot analysis in MDA-MB231 cell line lysates (35 ug/lane). This demonstrates the ZNF321 antibody detected the ZNF321 protein (arrow).
- Validation comment
- WB
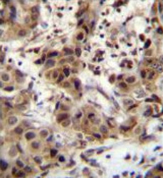
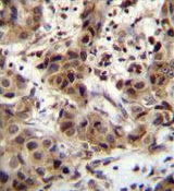
Supportive validation
- Submitted by
- OriGene (provider)
- Main image

- Experimental details
- ZNF321 Antibody (N-term) immunohistochemistry analysis in formalin fixed and paraffin embedded human breast carcinoma followed by peroxidase conjugation of the secondary antibody and DAB staining. This data demonstrates the use of ZNF321 Antibody (N-term) for immunohistochemistry. Clinical relevance has not been evaluated.
- Validation comment
- IHC