Antibody data
- Antibody Data
- Antigen structure
- References [5]
- Comments [0]
- Validations
- Western blot [1]
- Immunohistochemistry [1]
- Other assay [3]
Submit
Validation data
Reference
Comment
Report error
- Product number
- PA5-23943 - Provider product page

- Provider
- Invitrogen Antibodies
- Product name
- SCXA Polyclonal Antibody
- Antibody type
- Polyclonal
- Antigen
- Synthetic peptide
- Description
- This antibody is predicted to react with chicken based on sequence homology.
- Reactivity
- Human, Mouse
- Host
- Rabbit
- Isotype
- IgG
- Vial size
- 200 μL
- Concentration
- 0.5 mg/mL
- Storage
- Store at 4°C short term. For long term storage, store at -20°C, avoiding freeze/thaw cycles.
Submitted references The Effect of L-Ascorbic Acid and Serum Reduction on Tenogenic Differentiation of Human Mesenchymal Stromal Cells.
Copper Does Not Induce Tenogenic Differentiation but Promotes Migration and Increases Lysyl Oxidase Activity in Adipose-Derived Mesenchymal Stromal Cells.
The Transcription Factor SCX is a Potential Serum Biomarker of Fibrotic Diseases.
The Influence of Cell Source and Donor Age on the Tenogenic Potential and Chemokine Secretion of Human Mesenchymal Stromal Cells.
Angiopoietin-like 4 induces a β-catenin-mediated upregulation of ID3 in fibroblasts to reduce scar collagen expression.
Bochon K, Zielniok K, Gawlak M, Zawada K, Zarychta-Wiśniewska W, Siennicka K, Struzik S, Pączek L, Burdzińska A
International journal of stem cells 2021 Feb 28;14(1):33-46
International journal of stem cells 2021 Feb 28;14(1):33-46
Copper Does Not Induce Tenogenic Differentiation but Promotes Migration and Increases Lysyl Oxidase Activity in Adipose-Derived Mesenchymal Stromal Cells.
Milewska M, Burdzińska A, Zielniok K, Siennicka K, Struzik S, Zielenkiewicz P, Pączek L
Stem cells international 2020;2020:9123281
Stem cells international 2020;2020:9123281
The Transcription Factor SCX is a Potential Serum Biomarker of Fibrotic Diseases.
Ramírez-Aragón M, Hernández-Sánchez F, Rodríguez-Reyna TS, Buendía-Roldán I, Güitrón-Castillo G, Núñez-Alvarez CA, Hernández-Ramírez DF, Benavides-Suárez SA, Esquinca-González A, Torres-Machorro AL, Mendoza-Milla C
International journal of molecular sciences 2020 Jul 16;21(14)
International journal of molecular sciences 2020 Jul 16;21(14)
The Influence of Cell Source and Donor Age on the Tenogenic Potential and Chemokine Secretion of Human Mesenchymal Stromal Cells.
Zarychta-Wiśniewska W, Burdzińska A, Zielniok K, Koblowska M, Gala K, Pędzisz P, Iwanicka-Nowicka R, Fogtman A, Aksamit A, Kulesza A, Zołocińska A, Pączek L
Stem cells international 2019;2019:1613701
Stem cells international 2019;2019:1613701
Angiopoietin-like 4 induces a β-catenin-mediated upregulation of ID3 in fibroblasts to reduce scar collagen expression.
Teo Z, Chan JSK, Chong HC, Sng MK, Choo CC, Phua GZM, Teo DJR, Zhu P, Choong C, Wong MTC, Tan NS
Scientific reports 2017 Jul 24;7(1):6303
Scientific reports 2017 Jul 24;7(1):6303
No comments: Submit comment
Supportive validation
- Submitted by
- Invitrogen Antibodies (provider)
- Main image

- Experimental details
- Western blot analysis of SCXA in various lysates. Samples were incubated with SCXA polyclonal antibody (Product # PA5-23943) using a dilution of 1:1,000 followed by Goat Anti-Rabbit IgG, (H+L), Peroxidase conjugated at a dilution of 1:10,000. Lysates/proteins: 20 µg per lane. Lane 1: HACAT whole cell lysate; Lane 2: U-2OS whole cell lysate; Lane 3: MCF-7 whole cell lysate; Lane 4: T47D whole cell lysate; Lane 5: PC-3 whole cell lysate. Predicted band size: 22 kDa. Blocking/Dilution buffer: 5% NFDM/TBST.
Supportive validation
- Submitted by
- Invitrogen Antibodies (provider)
- Main image

- Experimental details
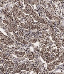
- Immunohistochemistry analysis of SCXA in paraffin-embedded Human breast carcinoma tissue. Samples were incubated with SCXA polyclonal antibody (Product # PA5-23943) using a dilution of 1:100 for 1 hour at room temperature followed by undiluted CRF Anti-Polyvalent HRP Polymer antibody. Tissue was fixed with formaldehyde at room temperature. Heat induced epitope retrieval was performed by EDTA buffer (pH 9 0).
Supportive validation
- Submitted by
- Invitrogen Antibodies (provider)
- Main image

- Experimental details
- Figure 3 cANGPTL4 regulates COL1A2 and COL3A1 expression in fibroblasts via a bHLH-dependent signaling mechanism. ( a ) Immunoblot analysis of indicated proteins from fibroblasts treated with cANGPTL4 (12 ug/mL) in the presence or absence of TGFbeta1 (10 ng/mL). beta-tubulin, as loading control, was from the same samples. ( b,d ) Chromatin immunoprecipitation (ChIP) of SBE sites in the human COL1A2 gene promoter region and E-box sites in the human COL1A2 and COL3A1 gene promoter regions using phospho-Smad3 antibodies and scleraxis (ScxA) antibodies respectively. The gene sequences spanning the SBE and E-box sites and a random control sequence were analyzed by PCR from immunoprecipitated chromatin from fibroblasts treated with TGFbeta1 in the presence or absence of cANGPTL4 (cANG). Pre-immune serum was used as a control. PCR was performed using chromatin before immunoprecipitation as input. M, 100 bp DNA ladder. ( c ) A schematic diagram showing the relative positions of Enhancer boxes (E-Boxes) and Smad binding elements (SBE) on the human COL1A2 and COL3A1 proximal promoters. Sequences of E-Boxes and SBE are shown. ChIP PCR primers designed specifically to bind scleraxis along this proximal promoter region are indicated. ( e ) Relative mRNA expression of ID3 in fibroblasts treated with 12 ug/mL of cANGPTL4 and lysed for mRNA at the indicated time points post-treatment. ( f ) Relative mRNA expression of ID3 in control (F ctrl ) and ID3-knockdown (F ID3 ) fibroblasts treated fo
- Submitted by
- Invitrogen Antibodies (provider)
- Main image

- Experimental details
- Figure 5 cANGPTL4 upregulates ID3 via a beta-catenin-dependent pathway. ( a ) Immunoblot of full-length cadherin-11 (CDH11) and splice variant CDH11 (CDH11 var ) in human fibroblasts. Fibroblasts were transfected with empty vector (F ctrl ) or expression vector containing cDNA encoding CDH11 var (F CDH11var ). beta-tubulin, as loading control, was from the same samples. Relative mRNA expression of ID3 in fibroblasts subjected to the indicated treatments. ( b-e ) Immunodetection and quantification of ID3 or beta-catenin proteins in fibroblasts subjected to the indicated treatments. beta-tubulin (cytosol) and c-JUN (nuclear) from the same samples were used as loading controls. Immunoblot images are cropped; full-length immunoblots can be found in Supplementary Fig. S4h-n . ( f , g ) Relative mRNA and protein expression of ID3 in fibroblasts treated with ICG001 and XAV939, two inhibitors of beta-catenin downstream signaling. Ribosomal protein L27 was used as housekeeping control for qPCR. beta-tubulin from the same samples was used as loading control for immunoblots. Values represent mean +- SD, n = 5 independent experiments. n.s., not significant, *P < 0.05, **P < 0.01, ***P < 0.001 (Mann-Whitney U-test). ( h ) ChIP of TBE on the human ID3 gene using anti-beta-catenin antibody followed by re-ChIP with anti-LEF antibody. Gene sequence spanning the TBE II/III and a random control sequence were analyzed by PCR in the immunoprecipitated chromatin of fibroblasts subjected to the ind
- Submitted by
- Invitrogen Antibodies (provider)
- Main image

- Experimental details
- Figure 5 The origin of cells affects the formation of proteins associated with tenogenesis. Left panel: TGF- beta 2 secretion determined by ELISA. Results shown as the concentration in the supernatant per 10 * 10 3 cells. Right panel: SMAD3, COL14A1, MKX, and SCX determined by Western blot. Expression of beta -actin was used as a loading control. The results shown as integrated optical density (IOD) normalized to IOD of corresponding beta -actin. Data presented as mean +- SEM. Statistical analysis was performed by Student's t -test ( t ) or Mann-Whitney U test (U). p < 0.05 was assumed to be statistically significant and highlighted in red. TGF- beta 2: TRANSFORMING GROWTH FACTOR BETA 2; SMAD3: SMAD FAMILY MEMBER 3; COL14A1: COLLAGEN TYPE XIV ALPHA 1; MKX: MOHAWK HOMEOBOX; SCX: SCLERAXIS.