Antibody data
- Antibody Data
- Antigen structure
- References [0]
- Comments [0]
- Validations
- Immunohistochemistry [1]
Submit
Validation data
Reference
Comment
Report error
- Product number
- GTX31192 - Provider product page

- Provider
- GeneTex
- Product name
- MIP1 alpha antibody
- Antibody type
- Polyclonal
- Reactivity
- Human
- Host
- Goat
No comments: Submit comment
Supportive validation
- Submitted by
- GeneTex (provider)
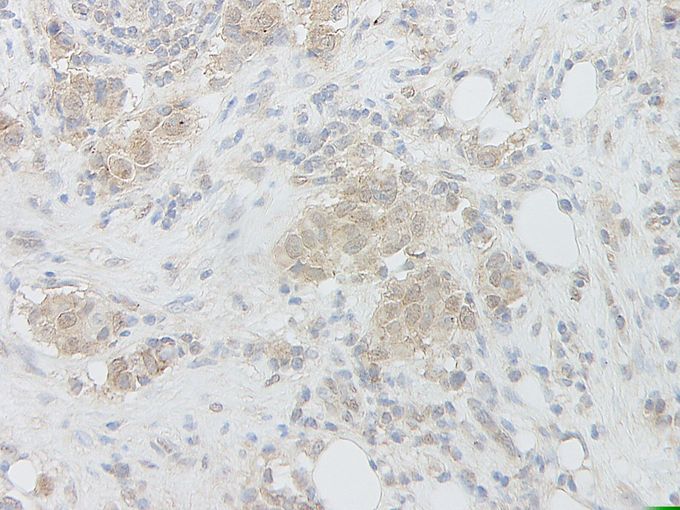
- Main image

- Experimental details
- IHC-P analysis of human breast malignant carcinoma using MIP1 alpha antibody at a concentration of 5.0 £gg/mL. An HRP-labeled polymer detection system was used with a DAB chromogen. Heat induced antigen retrieval with a pH 9.0 buffer is recommended.