Antibody data
- Antibody Data
- Antigen structure
- References [0]
- Comments [0]
- Validations
- Western blot [2]
- Immunohistochemistry [1]
Submit
Validation data
Reference
Comment
Report error
- Product number
- GTX83392 - Provider product page

- Provider
- GeneTex
- Proper citation
- GeneTex Cat#GTX83392, RRID:AB_11179575
- Product name
- Trim5 antibody
- Antibody type
- Monoclonal
- Antigen
- Other
- Reactivity
- Human
- Host
- Mouse
- Storage
- Store at 4°C, for long term storage, store at -20°C.
No comments: Submit comment
Supportive validation
- Submitted by
- GeneTex (provider)
- Main image

- Experimental details
- Western blot analysis using anti-Trim5
- Validation comment
- WB
- Submitted by
- GeneTex (provider)
- Main image

- Experimental details
- Western blot analysis using anti-Trim5
- Validation comment
- WB
Supportive validation
- Submitted by
- GeneTex (provider)
- Main image

- Experimental details
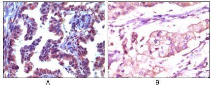
- Immunohistochemical analysis of paraffin-embedded human metastatic adenocarcinoma(A) and stomach adenocarcinoma(B), showing cytoplasmic localization using anti-Trim5