Antibody data
- Antibody Data
- Antigen structure
- References [0]
- Comments [0]
- Validations
- Western blot [2]
- Immunohistochemistry [1]
Submit
Validation data
Reference
Comment
Report error
- Product number
- AM06092SU-N - Provider product page

- Provider
- OriGene
- Product name
- ZCCHC3 mouse monoclonal antibody, clone 3B11H2, Ascites
- Antibody type
- Monoclonal
- Description
- ZCCHC3 mouse monoclonal antibody, clone 3B11H2, Ascites
- Host
- Mouse
- Conjugate
- Unconjugated
- Epitope
- ZCCHC3
- Isotype
- IgG
- Antibody clone number
- 3B11H2
- Vial size
- 100 µl
No comments: Submit comment
Supportive validation
- Submitted by
- OriGene (provider)
- Main image

- Experimental details
- Western blot analysis using Trim5a antibody Cat.-No AM06092SU-N antibody against truncated Trim5a recombinant protein.
- Validation comment
- WB
- Submitted by
- OriGene (provider)
- Main image

- Experimental details
- Western blot analysis using Trim5a antibody Cat.-No AM06092SU-N antibody against human breast carcinoma tissue lysate.
- Validation comment
- WB
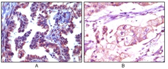
Supportive validation
- Submitted by
- OriGene (provider)
- Main image

- Experimental details
- Immunohistochemical analysis of paraffin-embedded human metastatic adenocarcinoma(A) and stomach adenocarcinoma (B), showing cytoplasmic localization using Trim5a antibody Cat.-No AM06092SU-N with AEC staining (A) and DAB staining(B).
- Validation comment
- IHC