Antibody data
- Antibody Data
- Antigen structure
- References [2]
- Comments [0]
- Validations
- Western blot [2]
- Immunohistochemistry [1]
Submit
Validation data
Reference
Comment
Report error
- Product number
- ABIN1109548 - Provider product page

- Provider
- antibodies-online
- Product name
- anti-Zinc Finger, C3HC-Type Containing 3 (ZCCHC3) antibody
- Antibody type
- Monoclonal
- Description
- Ascites
- Reactivity
- Human
- Host
- Mouse
- Isotype
- IgG
- Antibody clone number
- 3B11H2
- Vial size
- 0.1 mL
Submitted references Retrovirus restriction by TRIM5alpha variants from Old World and New World primates.
The cytoplasmic body component TRIM5alpha restricts HIV-1 infection in Old World monkeys.
Song B, Javanbakht H, Perron M, Park DH, Stremlau M, Sodroski J
Journal of virology 2005 Apr;79(7):3930-7
Journal of virology 2005 Apr;79(7):3930-7
The cytoplasmic body component TRIM5alpha restricts HIV-1 infection in Old World monkeys.
Stremlau M, Owens CM, Perron MJ, Kiessling M, Autissier P, Sodroski J
Nature 2004 Feb 26;427(6977):848-53
Nature 2004 Feb 26;427(6977):848-53
No comments: Submit comment
Supportive validation
- Submitted by
- antibodies-online (provider)
- Main image

- Experimental details
- WB
- Submitted by
- antibodies-online (provider)
- Main image

- Experimental details
- WB
Supportive validation
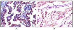
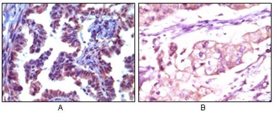
- Submitted by
- antibodies-online (provider)
- Main image

- Experimental details
- IHC