Antibody data
- Antibody Data
- Antigen structure
- References [0]
- Comments [0]
- Validations
- Immunohistochemistry [1]
Submit
Validation data
Reference
Comment
Report error
- Product number
- PA5-75792 - Provider product page

- Provider
- Invitrogen Antibodies
- Product name
- Anti-A20A3 Polyclonal Antibody
- Antibody type
- Polyclonal
- Antigen
- Synthetic peptide
- Description
- The antibody was affinity-purified from rabbit antiserum by affinity-chromatography using epitope-specific immunogen and the purity is > 95% (by SDS-PAGE).
- Reactivity
- Human, Mouse, Rat
- Host
- Rabbit
- Isotype
- IgG
- Vial size
- 100 µL
- Concentration
- 1 mg/mL
- Storage
- Store at 4°C short term. For long term storage, store at -20°C, avoiding freeze/thaw cycles.
No comments: Submit comment
Supportive validation
- Submitted by
- Invitrogen Antibodies (provider)
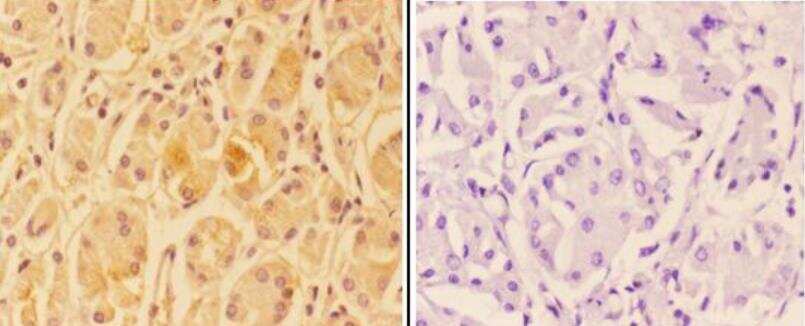
- Main image

- Experimental details
- Immunohistochemistry analysis of A20A3 in paraffin-embedded human stomach carcinoma tissue (membrane and cytoplasmic staining) and negative control (right, with PBS only). Samples were incubated with A20A3 polyclonal antibody (Product # PA5-75792) at a dilution of 1:50, followed by goat Anti-Rabbit IgG-biotin and avidin peroxidase.