Antibody data
- Antibody Data
- Antigen structure
- References [0]
- Comments [0]
- Validations
- Western blot [1]
- Immunocytochemistry [1]
- Immunohistochemistry [1]
Submit
Validation data
Reference
Comment
Report error
- Product number
- AP50677PU-N - Provider product page

- Provider
- OriGene
- Product name
- C11orf95 (C-term) rabbit polyclonal antibody, Aff - Purified
- Antibody type
- Polyclonal
- Description
- C11orf95 (C-term) rabbit polyclonal antibody, Aff - Purified
- Host
- Rabbit
- Conjugate
- Unconjugated
- Epitope
- C11orf95
- Antibody clone number
- NULL
- Vial size
- 400 µl
- Concentration
- lot specific
No comments: Submit comment
Supportive validation
- Submitted by
- OriGene (provider)
- Main image

- Experimental details
- C9JLR9 Antibody (C-term) western blot analysis in HepG2 cell line lysates (35ug/lane).This demonstrates the C9JLR9 antibody detected the C9JLR9 protein (arrow).
- Validation comment
- WB
Supportive validation
- Submitted by
- OriGene (provider)
- Main image

- Experimental details
- Confocal immunofluorescent analysis of C9JLR9 Antibody (C-term) with HepG2 cell followed by Alexa Fluor 488-conjugated goat anti-rabbit lgG (green). Actin filaments have been labeled with Alexa Fluor555 phalloidin (red). DAPI was used to stain the cell nuclear (blue).
- Validation comment
- IF
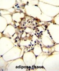
Supportive validation
- Submitted by
- OriGene (provider)
- Main image

- Experimental details
- C9JLR9 Antibody (C-term) immunohistochemistry analysis in formalin fixed and paraffin embedded human adipose tissue followed by peroxidase conjugation of the secondary antibody and DAB staining.This data demonstrates the use of C9JLR9 Antibody (C-term) for immunohistochemistry. Clinical relevance has not been evaluated.
- Validation comment
- IHC