A301-658A
antibody from Invitrogen Antibodies
Targeting: INTS6
DBI-1, DDX26, DDX26A, DICE1, HDB, INT6, Notchl2
Antibody data
- Antibody Data
- Antigen structure
- References [0]
- Comments [0]
- Validations
- Western blot [1]
- Immunohistochemistry [1]
Submit
Validation data
Reference
Comment
Report error
- Product number
- A301-658A - Provider product page

- Provider
- Invitrogen Antibodies
- Product name
- DDX26/DICE1 Polyclonal Antibody
- Antibody type
- Polyclonal
- Antigen
- Other
- Reactivity
- Human
- Host
- Rabbit
- Isotype
- IgG
- Vial size
- 100 µL
- Concentration
- 0.20 mg/mL
- Storage
- 4° C
No comments: Submit comment
Supportive validation
- Submitted by
- Invitrogen Antibodies (provider)
- Main image

- Experimental details
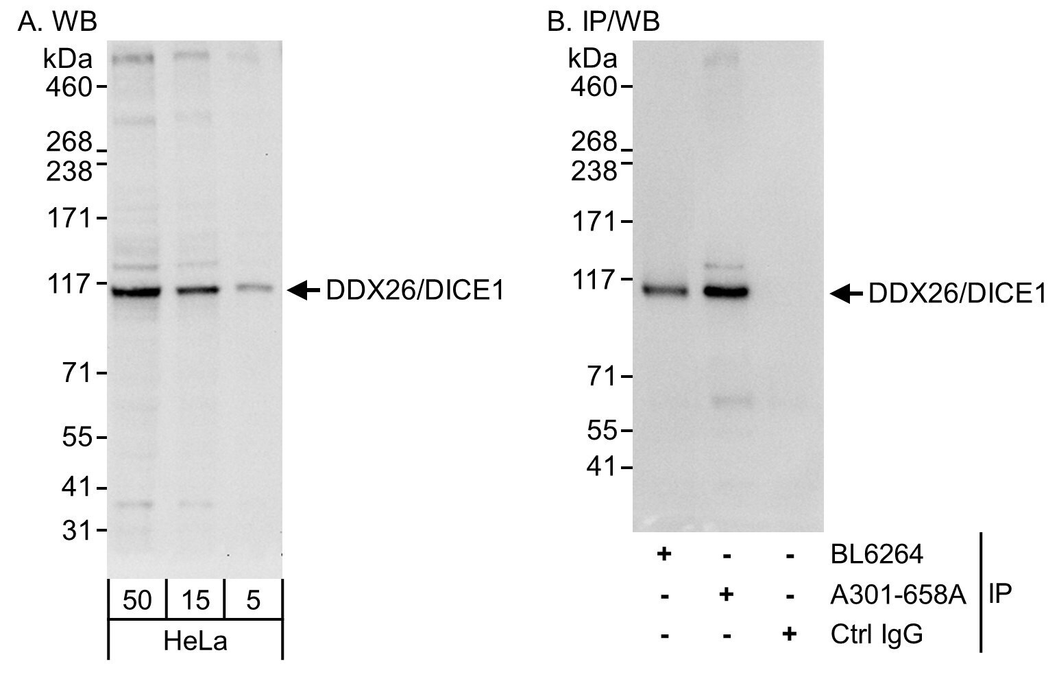
- Detection of human DDX26/DICE1 by western blot and immunoprecipitation. Samples: Whole cell lysate (5, 15 and 50 µg for WB; 1 mg for IP, 20% of IP loaded) from HeLa cells. Antibodies: Affinity purified rabbit anti-DDX46/DICE1 antibody A301-658A used for WB at 0.04 µg/ml (A) and 1 µg/ml (B) and used for IP at 3 µg/mg lysate. DDX46/DICE1 was also immunoprecipitated by rabbit anti-DDX46/DICE1 antibody BL6264, which recognizes an upstream epitope. Detection: Chemiluminescence with exposure times of 10 seconds (A) and 1 second (B).
Supportive validation
- Submitted by
- Invitrogen Antibodies (provider)
- Main image

- Experimental details
- Detection of human DDX26/DICE1 by immunohistochemistry. Sample: FFPE section of human thyroid carcinoma. Antibody: Affinity purified rabbit anti- DDX46/DICE1 (Cat. No. A301-658A Lot1) used at a dilution of 1:200 (1µg/ml). Detection: DAB.