PA5-51545
antibody from Invitrogen Antibodies
Targeting: PPP4R3B
FLFL2, FLJ31474, KIAA1387, PSY2, SMEK2
Antibody data
- Antibody Data
- Antigen structure
- References [0]
- Comments [0]
- Validations
- Immunocytochemistry [2]
- Immunohistochemistry [5]
Submit
Validation data
Reference
Comment
Report error
- Product number
- PA5-51545 - Provider product page

- Provider
- Invitrogen Antibodies
- Product name
- SMEK2 Polyclonal Antibody
- Antibody type
- Polyclonal
- Antigen
- Recombinant protein fragment
- Description
- Immunogen sequence: GQTFKGLKTK YEQEKDRQNQ KLNSVPSILR SNRFRRDAKA LEEDEEMWFN EDEEEEGKAV MPPLE Highest antigen sequence identity to the following orthologs: Mouse - 91%, Rat - 89%.
- Reactivity
- Human, Mouse, Rat
- Host
- Rabbit
- Isotype
- IgG
- Vial size
- 100 μL
- Concentration
- 0.05 mg/mL
- Storage
- Store at 4°C short term. For long term storage, store at -20°C, avoiding freeze/thaw cycles.
No comments: Submit comment
Supportive validation
- Submitted by
- Invitrogen Antibodies (provider)
- Main image

- Experimental details
- Immunofluorescent staining of SMEK2 in human cell line U-251 MG shows positivity in centrosome & nucleus but excluded from the nucleoli. Samples were probed using a SMEK2 Polyclonal Antibody (Product # PA5-51545).
- Submitted by
- Invitrogen Antibodies (provider)
- Main image

- Experimental details
- Immunofluorecent analysis of SMEK2 in human cell line U-251 MG using SMEK2 Polyclonal Antibody (Product # PA5-51545). Staining shows localization to nucleoplasm and centrosome.
Supportive validation
- Submitted by
- Invitrogen Antibodies (provider)
- Main image

- Experimental details
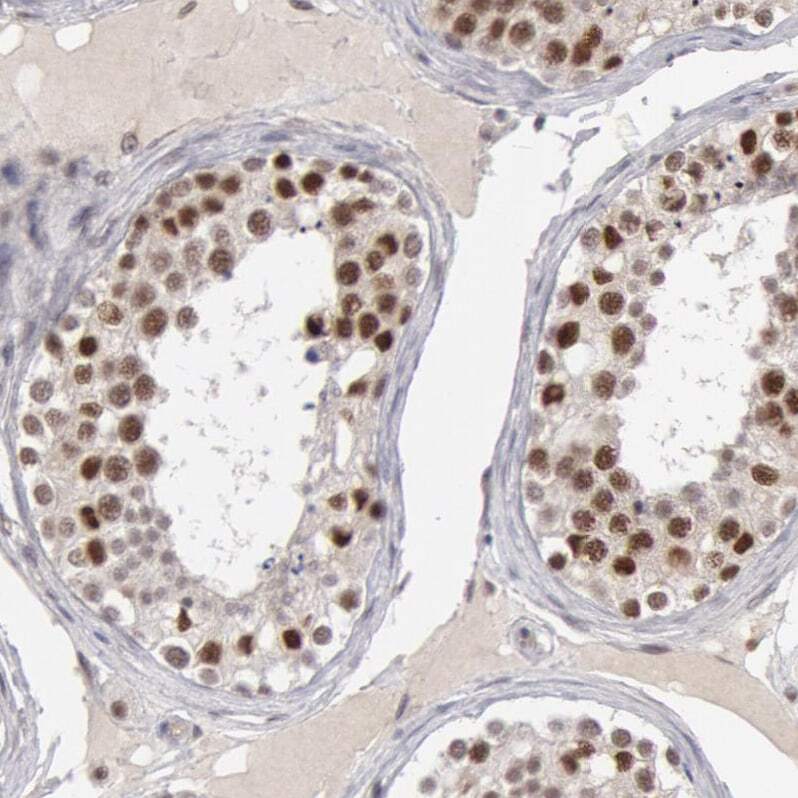
- Immunohistochemical staining of SMEK2 in human testis using SMEK2 Polyclonal Antibody (Product # PA5-51545) shows moderate to strong nuclear positivity in glandular cells.
- Submitted by
- Invitrogen Antibodies (provider)
- Main image

- Experimental details
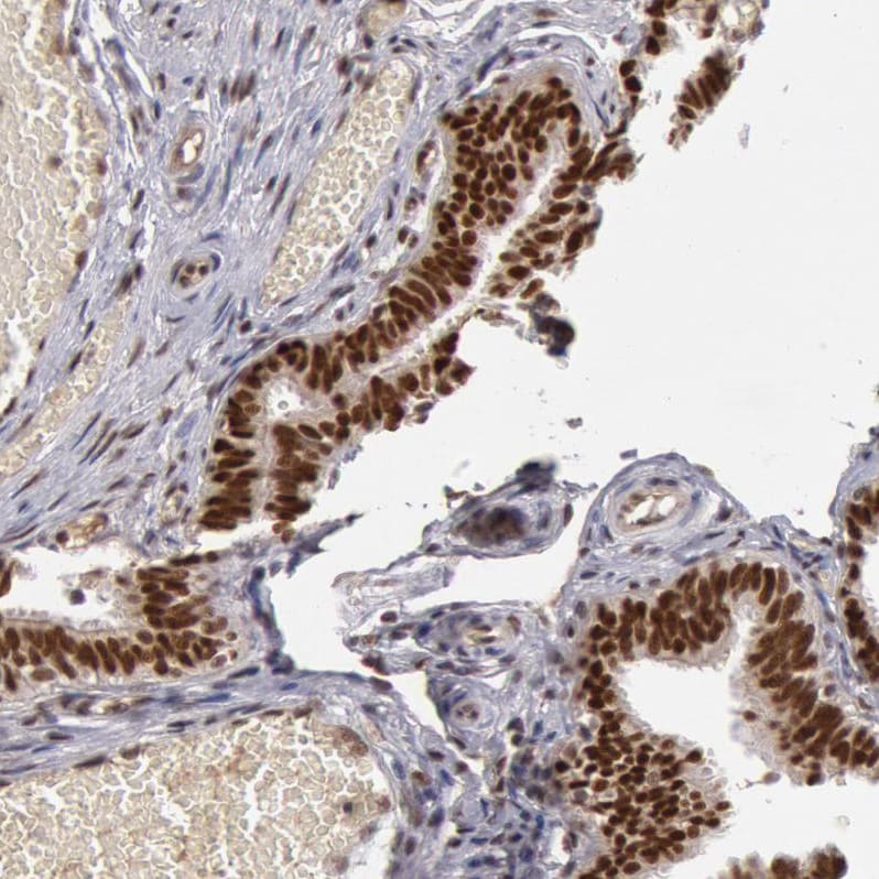
- Immunohistochemical staining of SMEK2 in human fallopian tube and skeletal muscle tissues using SMEK2 Polyclonal Antibody (Product # PA5-51545). Corresponding PPP4R3B RNA-seq data are presented for the same tissues.
- Submitted by
- Invitrogen Antibodies (provider)
- Main image

- Experimental details
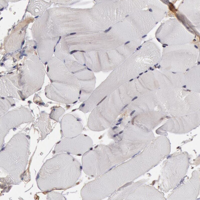
- Immunohistochemical staining of SMEK2 in human skeletal muscle using SMEK2 Polyclonal Antibody (Product # PA5-51545) shows no positivity in myocytes as expected.
- Submitted by
- Invitrogen Antibodies (provider)
- Main image

- Experimental details
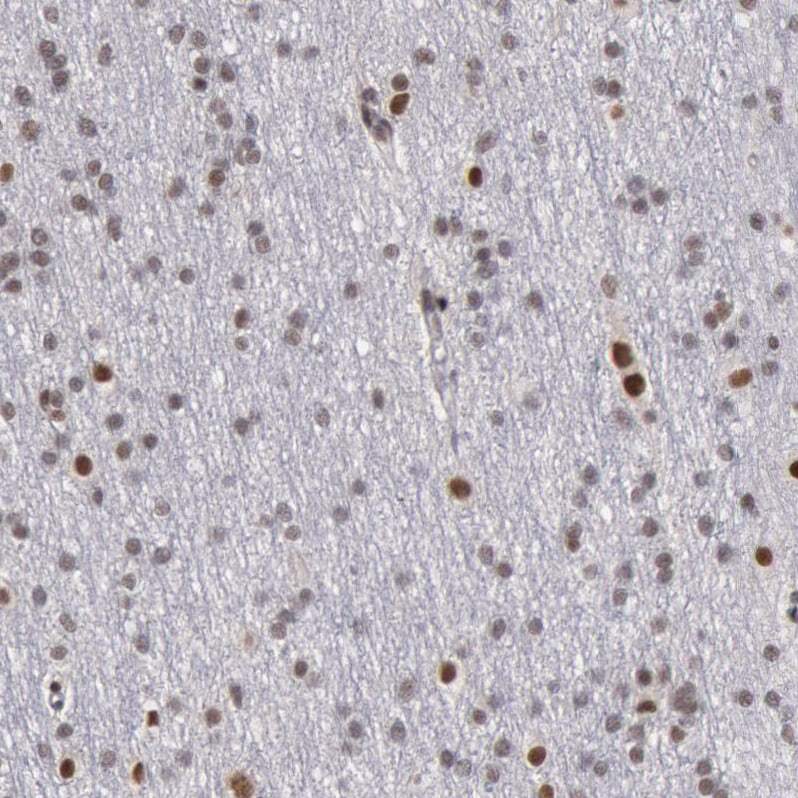
- Immunohistochemical staining of SMEK2 in human cerebral cortex using SMEK2 Polyclonal Antibody (Product # PA5-51545) shows weak to moderate nuclear positivity in neurons.
- Submitted by
- Invitrogen Antibodies (provider)
- Main image

- Experimental details
- Immunohistochemical staining of SMEK2 in human fallopian tube using SMEK2 Polyclonal Antibody (Product # PA5-51545) shows moderate to strong nuclear positivity in glandular cells.