NBP1-83882
antibody from Novus Biologicals
Targeting: PPP4R3B
FLFL2, FLJ31474, KIAA1387, PSY2, SMEK2
Antibody data
- Antibody Data
- Antigen structure
- References [1]
- Comments [0]
- Validations
- Western blot [2]
- Immunohistochemistry [5]
Submit
Validation data
Reference
Comment
Report error
- Product number
- NBP1-83882 - Provider product page

- Provider
- Novus Biologicals
- Proper citation
- Novus Cat#NBP1-83882, RRID:AB_11002100
- Product name
- Rabbit Polyclonal SMEK2 Antibody
- Antibody type
- Polyclonal
- Description
- Immunogen affinity purified. Specificity of human SMEK2 antibody verified on a Protein Array containing target protein plus 383 other non-specific proteins.
- Reactivity
- Human, Mouse, Rat
- Host
- Rabbit
- Isotype
- IgG
- Vial size
- 0.1 ml
- Storage
- Store at 4C short term. Aliquot and store at -20C long term. Avoid freeze-thaw cycles.
Submitted references Immunofluorescence and fluorescent-protein tagging show high correlation for protein localization in mammalian cells.
Stadler C, Rexhepaj E, Singan VR, Murphy RF, Pepperkok R, Uhlén M, Simpson JC, Lundberg E
Nature methods 2013 Apr;10(4):315-23
Nature methods 2013 Apr;10(4):315-23
No comments: Submit comment
Supportive validation
- Submitted by
- Novus Biologicals (provider)
- Main image

- Experimental details
- Western Blot: SMEK2 Antibody [NBP1-83882] - Analysis in human cell line HDLM-2.
- Submitted by
- Novus Biologicals (provider)
- Main image

- Experimental details
- Western Blot: SMEK2 Antibody [NBP1-83882] - Analysis in mouse cell line NIH-3T3 and rat cell line NBT-II.
Supportive validation
- Submitted by
- Novus Biologicals (provider)
- Main image

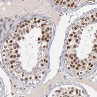
- Experimental details
- Immunohistochemistry-Paraffin: SMEK2 Antibody [NBP1-83882] - Staining of human testis shows moderate to strong nuclear positivity in glandular cells.
- Submitted by
- Novus Biologicals (provider)
- Main image

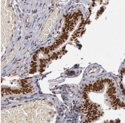
- Experimental details
- Immunohistochemistry-Paraffin: SMEK2 Antibody [NBP1-83882] - Staining of human fallopian tube shows moderate to strong nuclear positivity in glandular cells.
- Submitted by
- Novus Biologicals (provider)
- Main image

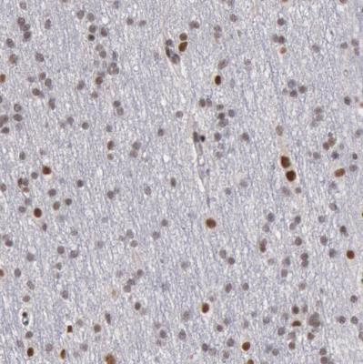
- Experimental details
- Immunohistochemistry-Paraffin: SMEK2 Antibody [NBP1-83882] - Staining of human cerebral cortex shows weak to moderate nuclear positivity in neurons.
- Submitted by
- Novus Biologicals (provider)
- Main image

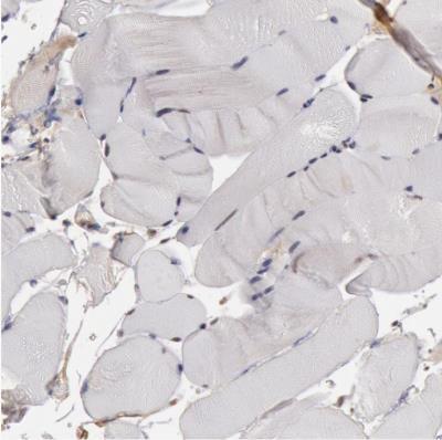
- Experimental details
- Immunohistochemistry-Paraffin: SMEK2 Antibody [NBP1-83882] - Staining of human skeletal muscle shows no positivity in myocytes as expected.
- Submitted by
- Novus Biologicals (provider)
- Main image

- Experimental details
- Immunohistochemistry-Paraffin: SMEK2 Antibody [NBP1-83882] - Analysis in human fallopian tube and skeletal muscle tissues using NBP1-83882 antibody. Corresponding PPP4R38 RNA-seq data are presented for the same tissues.