Antibody data
- Antibody Data
- Antigen structure
- References [1]
- Comments [0]
- Validations
- Western blot [1]
- Immunohistochemistry [1]
Submit
Validation data
Reference
Comment
Report error
- Product number
- 22094-1-AP - Provider product page

- Provider
- Proteintech Group
- Product name
- TLE3 antibody
- Antibody type
- Polyclonal
- Description
- KD/KO validated TLE3 antibody (Cat. #22094-1-AP) is a rabbit polyclonal antibody that shows reactivity with human, mouse, rat and has been validated for the following applications: IF, IHC, IP, WB,ELISA.
- Reactivity
- Human, Mouse, Rat
- Host
- Rabbit
- Conjugate
- Unconjugated
- Isotype
- IgG
- Vial size
- 20ul, 150ul
Submitted references Differential Regulation of TLE3 in Sertoli Cells of the Testes during Postnatal Development.
Lee S, Jang H, Moon S, Lee OH, Lee S, Lee J, Park C, Seol DW, Song H, Hong K, Kim JH, Uhm SJ, Lee DR, Lee JW, Choi Y
Cells 2019 Sep 27;8(10)
Cells 2019 Sep 27;8(10)
No comments: Submit comment
Supportive validation
- Submitted by
- Proteintech Group (provider)
- Main image

- Experimental details
- HEK-293 cells were subjected to SDS PAGE followed by western blot with 22094-1-AP(TLE3 antibody) at dilution of 1:1000
- Sample type
- cell line
Supportive validation
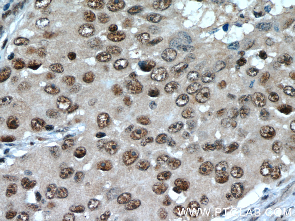
- Submitted by
- Proteintech Group (provider)
- Main image

- Experimental details
- The TLE3 antibody from Proteintech is a rabbit polyclonal antibody to a fusion protein of human TLE3. This antibody recognizes human, mouse, rat antigen. The TLE3 antibody has been validated for the following applications: ELISA, WB, IHC analysis.