18474-1-AP
antibody from Proteintech Group
Targeting: IKBKG
FIP-3, FIP3, Fip3p, IKK-gamma, IP1, IP2, NEMO, ZC2HC9
Antibody data
- Antibody Data
- Antigen structure
- References [28]
- Comments [0]
- Validations
- Western blot [1]
- Immunohistochemistry [2]
Submit
Validation data
Reference
Comment
Report error
- Product number
- 18474-1-AP - Provider product page

- Provider
- Proteintech Group
- Proper citation
- Proteintech Cat#18474-1-AP, RRID:AB_10646443
- Product name
- IKBKG antibody
- Antibody type
- Polyclonal
- Description
- KD/KO validated IKBKG antibody (Cat. #18474-1-AP) is a rabbit polyclonal antibody that shows reactivity with human, mouse, rat and has been validated for the following applications: IF, IHC, WB,ELISA.
- Reactivity
- Human, Mouse, Rat
- Host
- Rabbit
- Conjugate
- Unconjugated
- Isotype
- IgG
- Vial size
- 20ul, 150ul
Submitted references PCBP1 interacts with the HTLV-1 Tax oncoprotein to potentiate NF-κB activation.
Arteannuin B, a sesquiterpene lactone from Artemisia annua, attenuates inflammatory response by inhibiting the ubiquitin-conjugating enzyme UBE2D3-mediated NF-κB activation.
Swine acute diarrhoea syndrome coronavirus (SADS-CoV) Nsp5 antagonizes type I interferon signaling by cleaving DCP1A.
Cannabidiol alleviates neuroinflammation and attenuates neuropathic pain via targeting FKBP5.
Proximity Labeling to Identify β-Arrestin1 Binding Partners Downstream of Ligand-Activated G Protein-Coupled Receptors.
Melatonin inhibits HCC progression through regulating the alternative splicing of NEMO.
TRIM62 silencing represses the proliferation and invasion and increases the chemosensitivity of hepatocellular carcinoma cells by affecting the NF-κB pathway.
Fluoride induced down-regulation of IKBKG Gene expression inhibits hepatocytes senescence.
Effect of resistance training on satellite cells in old mice - a transcriptome study : implications for sarcopenia.
Caspase inhibition prolongs inflammation by promoting a signaling complex with activated RIPK1.
Corilagin Ameliorates Atherosclerosis in Peripheral Artery Disease via the Toll-Like Receptor-4 Signaling Pathway in vitro and in vivo.
SNW1 interacts with IKKγ to positively regulate antiviral innate immune responses against influenza A virus infection.
Acetylharpagide Protects Mice from Staphylococcus Aureus-Induced Acute Lung Injury by Inhibiting NF-κB Signaling Pathway.
Therapeutic potential of proteasome inhibitors for dihydropyridine-induced gingival overgrowth.
TRIM14 promotes endothelial activation via activating NF-κB signaling pathway.
3D human bone marrow stromal and endothelial cell spheres promote bone healing in an osteogenic niche.
Evaluation of the Liver Toxicity of Pterocephalus hookeri Extract via Triggering Necrosis.
Quantification of Dynamic Protein Interactions and Phosphorylation in LPS Signaling Pathway by SWATH-MS.
Hepatitis B e Antigen Inhibits NF-κB Activity by Interrupting K63-Linked Ubiquitination of NEMO.
KRAB-Zinc Finger Protein ZNF268a Deficiency Attenuates the Virus-Induced Pro-Inflammatory Response by Preventing IKK Complex Assembly.
N-Methylcytisine Ameliorates Dextran-Sulfate-Sodium-Induced Colitis in Mice by Inhibiting the Inflammatory Response.
Antioxidation, anti-inflammation and anti-apoptosis by paeonol in LPS/d-GalN-induced acute liver failure in mice.
Inducible Rubicon facilitates viral replication by antagonizing interferon production.
Intrathecal Delivery of ssAAV9-DAO Extends Survival in SOD1(G93A) ALS Mice.
CD147 promotes IKK/IκB/NF-κB pathway to resist TNF-induced apoptosis in rheumatoid arthritis synovial fibroblasts.
RIP1 modulates death receptor mediated apoptosis and autophagy in macrophages.
Human T-cell leukemia virus type 1 Tax-deregulated autophagy pathway and c-FLIP expression contribute to resistance against death receptor-mediated apoptosis.
IKK-β mediates hydrogen peroxide induced cell death through p85 S6K1.
Su R, Kang X, Niu Y, Zhao T, Wang H
Frontiers in immunology 2024;15:1375168
Frontiers in immunology 2024;15:1375168
Arteannuin B, a sesquiterpene lactone from Artemisia annua, attenuates inflammatory response by inhibiting the ubiquitin-conjugating enzyme UBE2D3-mediated NF-κB activation.
Chen H, Hu Q, Wen T, Luo L, Liu L, Wang L, Shen X
Phytomedicine : international journal of phytotherapy and phytopharmacology 2024 Feb;124:155263
Phytomedicine : international journal of phytotherapy and phytopharmacology 2024 Feb;124:155263
Swine acute diarrhoea syndrome coronavirus (SADS-CoV) Nsp5 antagonizes type I interferon signaling by cleaving DCP1A.
Huang HX, Zhao CC, Lei XX, Zhang XY, Li YY, Lan T, Zhao BP, Lu JY, Sun WC, Lu HJ, Jin NY
Frontiers in immunology 2023;14:1196031
Frontiers in immunology 2023;14:1196031
Cannabidiol alleviates neuroinflammation and attenuates neuropathic pain via targeting FKBP5.
Wang X, Lin C, Jin S, Wang Y, Peng Y, Wang X
Brain, behavior, and immunity 2023 Jul;111:365-375
Brain, behavior, and immunity 2023 Jul;111:365-375
Proximity Labeling to Identify β-Arrestin1 Binding Partners Downstream of Ligand-Activated G Protein-Coupled Receptors.
Zhuo Y, Robleto VL, Marchese A
International journal of molecular sciences 2023 Feb 7;24(4)
International journal of molecular sciences 2023 Feb 7;24(4)
Melatonin inhibits HCC progression through regulating the alternative splicing of NEMO.
Bai L, Sun S, Su W, Chen C, Lv Y, Zhang J, Zhao J, Li M, Qi Y, Zhang W, Wang Y
Frontiers in pharmacology 2022;13:1007006
Frontiers in pharmacology 2022;13:1007006
TRIM62 silencing represses the proliferation and invasion and increases the chemosensitivity of hepatocellular carcinoma cells by affecting the NF-κB pathway.
Fan W, Liu X, Ren D
Toxicology and applied pharmacology 2022 Jun 15;445:116035
Toxicology and applied pharmacology 2022 Jun 15;445:116035
Fluoride induced down-regulation of IKBKG Gene expression inhibits hepatocytes senescence.
Wu CX, Mao CY, Deng J, Zhang T, Zhao Y, Guan ZZ, Hu XX, Qi XL
Journal of trace elements in medicine and biology : organ of the Society for Minerals and Trace Elements (GMS) 2022 Jan;69:126896
Journal of trace elements in medicine and biology : organ of the Society for Minerals and Trace Elements (GMS) 2022 Jan;69:126896
Effect of resistance training on satellite cells in old mice - a transcriptome study : implications for sarcopenia.
Hsu WB, Lin SJ, Hung JS, Chen MH, Lin CY, Hsu WH, Hsu WR
Bone & joint research 2022 Feb;11(2):121-133
Bone & joint research 2022 Feb;11(2):121-133
Caspase inhibition prolongs inflammation by promoting a signaling complex with activated RIPK1.
Huang X, Tan S, Li Y, Cao S, Li X, Pan H, Shan B, Qian L, Yuan J
The Journal of cell biology 2021 Jun 7;220(6)
The Journal of cell biology 2021 Jun 7;220(6)
Corilagin Ameliorates Atherosclerosis in Peripheral Artery Disease via the Toll-Like Receptor-4 Signaling Pathway in vitro and in vivo.
Li Y, Wang Y, Chen Y, Wang Y, Zhang S, Liu P, Chen Z, Song P, Luo L, Luo Y, Dang Y, Zhao L
Frontiers in immunology 2020;11:1611
Frontiers in immunology 2020;11:1611
SNW1 interacts with IKKγ to positively regulate antiviral innate immune responses against influenza A virus infection.
Zhang Q, Liang T, Gu S, Ye Y, Liu S
Microbes and infection 2020 Nov-Dec;22(10):576-584
Microbes and infection 2020 Nov-Dec;22(10):576-584
Acetylharpagide Protects Mice from Staphylococcus Aureus-Induced Acute Lung Injury by Inhibiting NF-κB Signaling Pathway.
Zhang Z, Wang Y, Shan Y, Yin W
Molecules (Basel, Switzerland) 2020 Nov 25;25(23)
Molecules (Basel, Switzerland) 2020 Nov 25;25(23)
Therapeutic potential of proteasome inhibitors for dihydropyridine-induced gingival overgrowth.
Lu SL, Chang JH, Huang CF, Chen LS
Oral diseases 2020 Apr;26(3):630-636
Oral diseases 2020 Apr;26(3):630-636
TRIM14 promotes endothelial activation via activating NF-κB signaling pathway.
Huang X, Li Y, Li X, Fan D, Xin HB, Fu M
Journal of molecular cell biology 2020 Apr 24;12(3):176-189
Journal of molecular cell biology 2020 Apr 24;12(3):176-189
3D human bone marrow stromal and endothelial cell spheres promote bone healing in an osteogenic niche.
Inglis S, Kanczler JM, Oreffo ROC
FASEB journal : official publication of the Federation of American Societies for Experimental Biology 2019 Mar;33(3):3279-3290
FASEB journal : official publication of the Federation of American Societies for Experimental Biology 2019 Mar;33(3):3279-3290
Evaluation of the Liver Toxicity of Pterocephalus hookeri Extract via Triggering Necrosis.
Wang R, Dong Z, Zhang X, Mao J, Meng F, Lan X, Liao Z, Chen M
Toxins 2019 Mar 2;11(3)
Toxins 2019 Mar 2;11(3)
Quantification of Dynamic Protein Interactions and Phosphorylation in LPS Signaling Pathway by SWATH-MS.
Wu X, Yang D, Zhao F, Yang ZH, Wang D, Qiao M, Fang Y, Li W, Wu R, He P, Cong Y, Chen C, Hu L, Yan Y, Xie C, Wu Y, Han J, Zhong CQ
Molecular & cellular proteomics : MCP 2019 Jun;18(6):1054-1069
Molecular & cellular proteomics : MCP 2019 Jun;18(6):1054-1069
Hepatitis B e Antigen Inhibits NF-κB Activity by Interrupting K63-Linked Ubiquitination of NEMO.
Wang Y, Cui L, Yang G, Zhan J, Guo L, Chen Y, Fan C, Liu D, Guo D
Journal of virology 2019 Jan 15;93(2)
Journal of virology 2019 Jan 15;93(2)
KRAB-Zinc Finger Protein ZNF268a Deficiency Attenuates the Virus-Induced Pro-Inflammatory Response by Preventing IKK Complex Assembly.
Liu Y, Yin W, Wang J, Lei Y, Sun G, Li W, Huang Z, Guo M
Cells 2019 Dec 10;8(12)
Cells 2019 Dec 10;8(12)
N-Methylcytisine Ameliorates Dextran-Sulfate-Sodium-Induced Colitis in Mice by Inhibiting the Inflammatory Response.
Jiao YF, Lu M, Zhao YP, Liu N, Niu YT, Niu Y, Zhou R, Yu JQ
Molecules (Basel, Switzerland) 2018 Feb 25;23(3)
Molecules (Basel, Switzerland) 2018 Feb 25;23(3)
Antioxidation, anti-inflammation and anti-apoptosis by paeonol in LPS/d-GalN-induced acute liver failure in mice.
Gong X, Yang Y, Huang L, Zhang Q, Wan RZ, Zhang P, Zhang B
International immunopharmacology 2017 May;46:124-132
International immunopharmacology 2017 May;46:124-132
Inducible Rubicon facilitates viral replication by antagonizing interferon production.
Wan Y, Cao W, Han T, Ren S, Feng J, Chen T, Wang J, Broering R, Lu M, Zhu Y
Cellular & molecular immunology 2017 Jul;14(7):607-620
Cellular & molecular immunology 2017 Jul;14(7):607-620
Intrathecal Delivery of ssAAV9-DAO Extends Survival in SOD1(G93A) ALS Mice.
Wang W, Duan W, Wang Y, Wen D, Liu Y, Li Z, Hu H, Cui H, Cui C, Lin H, Li C
Neurochemical research 2017 Apr;42(4):986-996
Neurochemical research 2017 Apr;42(4):986-996
CD147 promotes IKK/IκB/NF-κB pathway to resist TNF-induced apoptosis in rheumatoid arthritis synovial fibroblasts.
Zhai Y, Wu B, Li J, Yao XY, Zhu P, Chen ZN
Journal of molecular medicine (Berlin, Germany) 2016 Jan;94(1):71-82
Journal of molecular medicine (Berlin, Germany) 2016 Jan;94(1):71-82
RIP1 modulates death receptor mediated apoptosis and autophagy in macrophages.
Yao Z, Zhang P, Guo H, Shi J, Liu S, Liu Y, Zheng D
Molecular oncology 2015 Apr;9(4):806-17
Molecular oncology 2015 Apr;9(4):806-17
Human T-cell leukemia virus type 1 Tax-deregulated autophagy pathway and c-FLIP expression contribute to resistance against death receptor-mediated apoptosis.
Wang W, Zhou J, Shi J, Zhang Y, Liu S, Liu Y, Zheng D
Journal of virology 2014 Mar;88(5):2786-98
Journal of virology 2014 Mar;88(5):2786-98
IKK-β mediates hydrogen peroxide induced cell death through p85 S6K1.
Jia CH, Li M, Liu J, Zhao L, Lin J, Lai PL, Zhou X, Zhang Y, Chen ZG, Li HY, Liu AL, Yang CL, Gao TM, Jiang Y, Bai XC
Cell death and differentiation 2013 Feb;20(2):248-58
Cell death and differentiation 2013 Feb;20(2):248-58
No comments: Submit comment
Supportive validation
- Submitted by
- Proteintech Group (provider)
- Main image

- Experimental details
- K-562 cells were subjected to SDS PAGE followed by western blot with 18474-1-AP(IKBKG antibody) at dilution of 1:800
- Sample type
- cell line
Supportive validation
- Submitted by
- Proteintech Group (provider)
- Main image

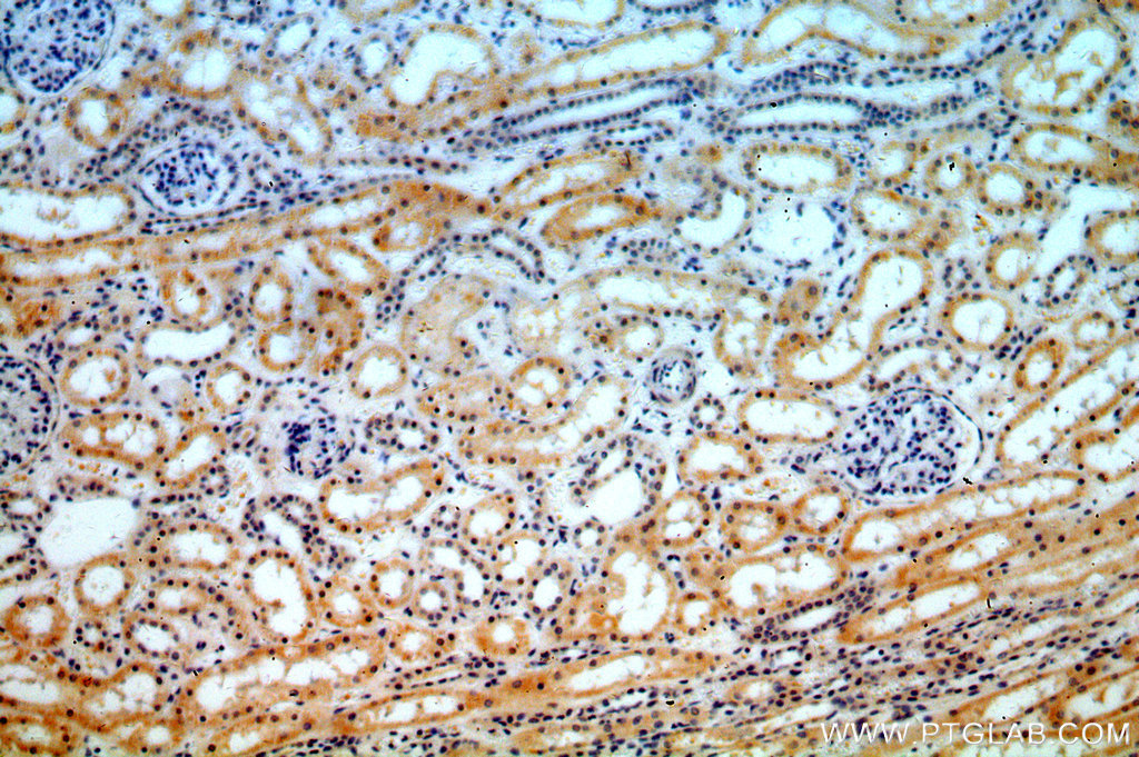
- Experimental details
- Immunohistochemical of paraffin-embedded human kidney using 18474-1-AP(IKBKG antibody) at dilution of 1:50 (under 10x lens)
- Sample type
- tissue
- Submitted by
- Proteintech Group (provider)
- Main image

- Experimental details
- The IKBKG antibody from Proteintech is a rabbit polyclonal antibody to a fusion protein of human IKBKG. This antibody recognizes human,mouse,rat antigen. The IKBKG antibody has been validated for the following applications: ELISA, WB, IHC analysis.