Antibody data
- Antibody Data
- Antigen structure
- References [2]
- Comments [0]
- Validations
- Western blot [1]
- Immunocytochemistry [2]
- Immunohistochemistry [2]
Submit
Validation data
Reference
Comment
Report error
- Product number
- NBP2-17314 - Provider product page

- Provider
- Novus Biologicals
- Product name
- Rabbit Polyclonal MMP28 Antibody
- Antibody type
- Polyclonal
- Description
- Immunogen affinity purified.
- Reactivity
- Human
- Host
- Rabbit
- Isotype
- IgG
- Vial size
- 0.1 ml
- Storage
- Aliquot and store at -20C or -80C. Avoid freeze-thaw cycles.
Submitted references Identification of MMP28 as a biomarker for the differential diagnosis of idiopathic pulmonary fibrosis.
Upregulation and Nuclear Location of MMP28 in Alveolar Epithelium of Idiopathic Pulmonary Fibrosis.
Maldonado M, Buendía-Roldán I, Vicens-Zygmunt V, Planas L, Molina-Molina M, Selman M, Pardo A
PloS one 2018;13(9):e0203779
PloS one 2018;13(9):e0203779
Upregulation and Nuclear Location of MMP28 in Alveolar Epithelium of Idiopathic Pulmonary Fibrosis.
Maldonado M, Salgado-Aguayo A, Herrera I, Cabrera S, Ortíz-Quintero B, Staab-Weijnitz CA, Eickelberg O, Ramírez R, Manicone AM, Selman M, Pardo A
American journal of respiratory cell and molecular biology 2018 Jul;59(1):77-86
American journal of respiratory cell and molecular biology 2018 Jul;59(1):77-86
No comments: Submit comment
Supportive validation
- Submitted by
- Novus Biologicals (provider)
- Main image

- Experimental details
- Western Blot: MMP28 Antibody [NBP2-17314] - Sample (30 ug of whole cell lysate) A: HeLa 10% SDS PAGE gel, diluted at 1:1000.
Supportive validation
- Submitted by
- Novus Biologicals (provider)
- Main image

- Experimental details
- Immunocytochemistry/Immunofluorescence: MMP28 Antibody [NBP2-17314] - Immunofluorescence analysis of methanol-fixed HeLa, using antibody at 1:200 dilution.
- Submitted by
- Novus Biologicals (provider)
- Main image

- Experimental details
- Immunocytochemistry: MMP28 Antibody [NBP2-17314] - Human fetal membranes. Image from verified customer review.
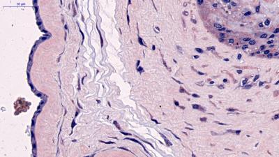
Supportive validation
- Submitted by
- Novus Biologicals (provider)
- Main image

- Experimental details
- Immunohistochemistry-Paraffin: MMP28 Antibody [NBP2-17314] - Immunohistochemical analysis of paraffin-embedded Colon ca, using antibody at 1:250 dilution.
- Submitted by
- Novus Biologicals (provider)
- Main image

- Experimental details
- Immunohistochemistry-Paraffin: MMP28 Antibody [NBP2-17314] - Paraffin-embedded human colon carcinoma. MMP28 antibody dilution: 1:250. Scale bar = 100 um.