Antibody data
- Antibody Data
- Antigen structure
- References [0]
- Comments [0]
- Validations
- Western blot [1]
- Immunohistochemistry [10]
Submit
Validation data
Reference
Comment
Report error
- Product number
- NBP1-82763 - Provider product page

- Provider
- Novus Biologicals
- Proper citation
- Novus Cat#NBP1-82763, RRID:AB_11007388
- Product name
- Rabbit Polyclonal MRPL45 Antibody
- Antibody type
- Polyclonal
- Description
- Immunogen affinity purified. Specificity of human MRPL45 antibody verified on a Protein Array containing target protein plus 383 other non-specific proteins.
- Reactivity
- Human
- Host
- Rabbit
- Isotype
- IgG
- Vial size
- 0.1 ml
- Storage
- Store at 4C short term. Aliquot and store at -20C long term. Avoid freeze-thaw cycles.
No comments: Submit comment
Supportive validation
- Submitted by
- Novus Biologicals (provider)
- Main image

- Experimental details
- Western Blot: MRPL45 Antibody [NBP1-82763] - Analysis using Anti-MRPL45 antibody NBP1-82763 (A) shows similar pattern to independent antibody NBP1-82764 (B).
Supportive validation
- Submitted by
- Novus Biologicals (provider)
- Main image

- Experimental details
- Immunohistochemistry-Paraffin: MRPL45 Antibody [NBP1-82763] - Staining of human colon shows strong cytoplasmic positivity in glandular cells.
- Submitted by
- Novus Biologicals (provider)
- Main image

- Experimental details
- Immunohistochemistry-Paraffin: MRPL45 Antibody [NBP1-82763] - Staining of human kidney.
- Submitted by
- Novus Biologicals (provider)
- Main image

- Experimental details
- Immunohistochemistry-Paraffin: MRPL45 Antibody [NBP1-82763] - Staining of human testis.
- Submitted by
- Novus Biologicals (provider)
- Main image

- Experimental details
- Immunohistochemistry-Paraffin: MRPL45 Antibody [NBP1-82763] - Staining of human liver.
- Submitted by
- Novus Biologicals (provider)
- Main image

- Experimental details
- Immunohistochemistry-Paraffin: MRPL45 Antibody [NBP1-82763] - Staining of human colon.
- Submitted by
- Novus Biologicals (provider)
- Main image

- Experimental details
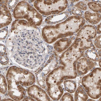
- Immunohistochemistry-Paraffin: MRPL45 Antibody [NBP1-82763] - Staining of human kidney shows strong granular cytoplasmic positivity in cells in tubules.
- Submitted by
- Novus Biologicals (provider)
- Main image

- Experimental details
- Immunohistochemistry-Paraffin: MRPL45 Antibody [NBP1-82763] - Staining of human kidney, liver, prostate and small intestine using Anti-MRPL45 antibody NBP1-82763 (A) shows similar protein distribution across tissues to independent antibody NBP1-82764 (B).
- Submitted by
- Novus Biologicals (provider)
- Main image

- Experimental details
- Immunohistochemistry-Paraffin: MRPL45 Antibody [NBP1-82763] - Staining of human liver shows moderate granular cytoplasmic positivity in hepatocytes.
- Submitted by
- Novus Biologicals (provider)
- Main image

- Experimental details
- Immunohistochemistry-Paraffin: MRPL45 Antibody [NBP1-82763] - Staining of human prostate shows moderate granular cytoplasmic positivity in glandular cells.
- Submitted by
- Novus Biologicals (provider)
- Main image

- Experimental details
- Immunohistochemistry-Paraffin: MRPL45 Antibody [NBP1-82763] - Staining of human small intestine strong granular cytoplasmic positivity in glandular cells.