Antibody data
- Antibody Data
- Antigen structure
- References [0]
- Comments [0]
- Validations
- Western blot [1]
- Immunocytochemistry [1]
- Immunoprecipitation [1]
- Immunohistochemistry [3]
- Chromatin Immunoprecipitation [1]
- Other assay [1]
Submit
Validation data
Reference
Comment
Report error
- Product number
- GTX128957 - Provider product page

- Provider
- GeneTex
- Product name
- Histone H4K8ac (acetyl Lys8) antibody
- Antibody type
- Polyclonal
- Reactivity
- Human, Mouse, Rat
- Host
- Rabbit
No comments: Submit comment
Supportive validation
- Submitted by
- GeneTex (provider)
- Main image

- Experimental details
- Histone H4 (acetyl Lys8) antibody detects Histone H4 (acetyl Lys8) protein by Western blot analysis.A. 30 μg HeLa whole cell lysate/extract (0.012% DMSO treatment for 18 hr)B. 30 μg HeLa whole cell lysate/extract (0.4 M Trichostatin A treatment for 18 hr)15 % SDS-PAGEHistone H4 (acetyl Lys8) antibody (GTX128957) dilution: 1:5000
Supportive validation
- Submitted by
- GeneTex (provider)
- Main image

- Experimental details
- Histone H4 (acetyl Lys8) antibody detects Histone H4 (acetyl Lys8) protein at nucleus by immunofluorescent analysis.Sample: HeLa cells were fixed in 4% paraformaldehyde at RT for 15 min.Green: Histone H4 (acetyl Lys8) protein stained by Histone H4 (acetyl Lys8) antibody (GTX128957) diluted at 1:500.Red: alpha Tubulin antibody [GT114], a cytoskeleton marker, stained by GTX628802 diluted at 1:500.Blue: Hoechst 33342 staining.
Supportive validation
- Submitted by
- GeneTex (provider)
- Main image

- Experimental details
- Histone H4 (acetyl K9) antibody immunoprecipitates Histone H4 (acetyl K9) protein in IP experiments. IP Sample: HeLa whole cell lysate/extract A : 30 ug whole cell lysate/extract of Histone H4 (acetyl K9) protein expressing HeLa cells (0.4uM TSA treatment for 18hr) B : Control with 2.5 £gg of pre-immune rabbit IgG C : Immunoprecipitation of Histone H4 (acetyl K9) protein by 2.5 £gg of Histone H4 (acetyl K9) antibody (GTX128957). 12% SDS-PAGE The immunoprecipitated Histone H4 (acetyl K9) protein was detected by Histone H4 (acetyl K9) antibody (GTX128957) diluted at 1 : 5000. EasyBlot anti-rabbit IgG (HRP) (GTX221666-01) was used as a secondary reagent.
Supportive validation
- Submitted by
- GeneTex (provider)
- Main image

- Experimental details
- Histone H4K8ac (acetyl Lys8) antibody detects Histone H4K8ac (acetyl Lys8) protein at nucleus on mouse duodenum by immunohistochemical analysis. Sample: Paraffin-embedded mouse duodenum. Histone H4K8ac (acetyl Lys8) antibody (GTX128957) dilution: 1:500.
- Submitted by
- GeneTex (provider)
- Main image

- Experimental details
- Histone H4K8ac (acetyl Lys8) antibody detects Histone H4K8ac (acetyl Lys8) protein at nucleus on mouse kidney by immunohistochemical analysis. Sample: Paraffin-embedded mouse kidney. Histone H4K8ac (acetyl Lys8) antibody (GTX128957) dilution: 1:500.
- Submitted by
- GeneTex (provider)
- Main image

- Experimental details
- Histone H4K8ac (acetyl Lys8) antibody detects Histone H4K8ac (acetyl Lys8) protein at nucleus on rat hind brain by immunohistochemical analysis. Sample: Paraffin-embedded rat hind brain. Histone H4K8ac (acetyl Lys8) antibody (GTX128957) dilution: 1:500.
Supportive validation
- Submitted by
- GeneTex (provider)
- Main image

- Experimental details
- Cross-linked ChIP was performed with HeLa chromatin extract treated with Trichostatin A (0.4 μM for 18 h) and 5 μg of either control rabbit IgG or anti-Histone H4K8ac (acetyl Lys8) antibody. The precipitated DNA was detected by PCR with primer set targeting to GAPDH or TEXT12.
Supportive validation
- Submitted by
- GeneTex (provider)
- Main image

- Experimental details
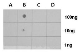
- Dotblot analysis of anti-Histone H4 (acetyl Lys9) antibody with peptide samples. Varied amount of peptide samples were spotted onto positively charged nylon membrane and blotted with Histone H4 (acetyl Lys9) antibody (GTX128957) 1:5000 dilution.A: Peptide samples of H4K8 unB: Peptide samples of H4K8acC: Peptide samples of H4K16unD: Peptide samples of H4K16ac
- Validation comment
- Dot