Antibody data
- Antibody Data
- Antigen structure
- References [2]
- Comments [0]
- Validations
- Western blot [3]
- Immunocytochemistry [1]
- Immunohistochemistry [1]
- Other assay [1]
Submit
Validation data
Reference
Comment
Report error
- Product number
- GTX122653 - Provider product page

- Provider
- GeneTex
- Proper citation
- GeneTex Cat#GTX122653, RRID:AB_11163193
- Product name
- Histone H4K5K8K12K16ac (acetyl Lys5/Lys8/Lys12/Lys16) antibody
- Antibody type
- Polyclonal
- Reactivity
- Human, Mouse, Rat
- Host
- Rabbit
Submitted references CBP/p300 inhibitor C646 prevents high glucose exposure induced neuroepithelial cell proliferation.
Topoisomerase II Inhibitors Can Enhance Baculovirus-Mediated Gene Expression in Mammalian Cells through the DNA Damage Response.
Bai B, Zhang Q, Wan C, Li D, Zhang T, Li H
Birth defects research 2018 Aug 15;110(14):1118-1128
Birth defects research 2018 Aug 15;110(14):1118-1128
Topoisomerase II Inhibitors Can Enhance Baculovirus-Mediated Gene Expression in Mammalian Cells through the DNA Damage Response.
Liu MK, Lin JJ, Chen CY, Kuo SC, Wang YM, Chan HL, Wu TY
International journal of molecular sciences 2016 Jun 14;17(6)
International journal of molecular sciences 2016 Jun 14;17(6)
No comments: Submit comment
Supportive validation
- Submitted by
- GeneTex (provider)
- Main image

- Experimental details
- Sample (30 μg of whole cell lysate) A: NIH-3T3 B: BCL-1 15% SDS PAGE GTX122653 diluted at 1:10000
- Submitted by
- GeneTex (provider)
- Main image

- Experimental details
- Sample (30 μg of whole cell lysate) A: PC-12 15% SDS PAGE GTX122653 diluted at 1:10000
- Submitted by
- GeneTex (provider)
- Main image

- Experimental details
- Sample (30 μg of whole cell lysate) A: HeLa 15% SDS PAGE GTX122653 diluted at 1:10000
Supportive validation
- Submitted by
- GeneTex (provider)
- Main image

- Experimental details
- Histone H4K5K8K12K16ac (acetyl Lys5/Lys8/Lys12/Lys16) antibody detects Histone H4K5K8K12K16ac (acetyl Lys5/Lys8/Lys12/Lys16) protein at nucleus by immunofluorescent analysis.Sample: HeLa cells were fixed in 4% paraformaldehyde at RT for 15 min.Green: Histone H4K5K8K12K16ac (acetyl Lys5/Lys8/Lys12/Lys16) protein stained by Histone H4K5K8K12K16ac (acetyl Lys5/Lys8/Lys12/Lys16) antibody (GTX122653) diluted at 1:500.Red: phalloidin, a cytoskeleton marker, diluted at 1:200.Scale bar = 10 £gm.
Supportive validation
- Submitted by
- GeneTex (provider)
- Main image

- Experimental details
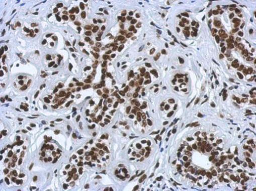
- Immunohistochemical analysis of paraffin-embedded human breast cancer, using Histone H4K5K8K12K16ac (acetyl Lys5/Lys8/Lys12/Lys16)(GTX122653) antibody at 1:500 dilution.
Supportive validation
- Submitted by
- GeneTex (provider)
- Main image

- Experimental details
- Dotblot analysis of anti-Histone H4K5K8K12K16ac (acetyl Lys5/Lys8/Lys12/Lys16) antibody with peptide samples.Peptide samples (0.1 ?g) were spotted onto positively charged nylon membrane and blotted with Histone H4K5K8K12K16ac (acetyl Lys5/Lys8/Lys12/Lys16) antibody (GTX122653) at different dilution as indicated.A: Peptide samples of Histone H4K5K8K12K16ac (acetyl Lys5/Lys8/Lys12/Lys16) B: Peptide samples of Histone H4
- Validation comment
- Dot