Antibody data
- Antibody Data
 - Antigen structure
 - References [0]
 - Comments [0]
 - Validations
 - Immunohistochemistry [1]
 
Submit
Validation data
Reference
Comment
Report error
- Product number
 - A08520 - Provider product page

 - Provider
 - Boster Biological Technology
 - Product name
 - Anti-Apolipoprotein C-IV APOC4 Antibody
 - Antibody type
 - Polyclonal
 - Description
 - Anti-Apolipoprotein C-IV APOC4 Antibody validated for WB, IHC. Reactive to Human, Mouse.
 - Reactivity
 - Human, Mouse
 - Host
 - Rabbit
 - Vial size
 - 100ul
 - Storage
 - At -20°C for one year. At 4°C for one month. It can also be aliquoted and stored frozen at -20°C for a longer time. Avoid repeated freezing and thawing.
 
				No comments: Submit comment	
	
			
							
					Supportive validation
					
									
				
		- Submitted by
 - Boster Biological Technology (provider)
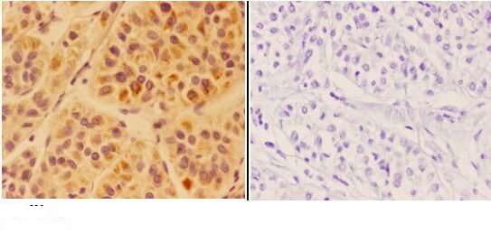
 - Main image
 
- Experimental details
 - Immunohistochemistry validation of APOC4 using Anti-Apolipoprotein C-IV APOC4 Antibody (A08520). Immunohistochemistry (IHC) analyzes of APOC4 pAb in paraffin-embedded human liver carcinoma tissue at 1:50
 - Additional image
 