Antibody data
- Antibody Data
- Antigen structure
- References [13]
- Comments [0]
- Validations
- Immunohistochemistry [4]
Submit
Validation data
Reference
Comment
Report error
- Product number
- 10529-1-AP - Provider product page

- Provider
- Proteintech Group
- Proper citation
- Proteintech Cat#10529-1-AP, RRID:AB_2081122
- Product name
- Chromogranin A antibody
- Antibody type
- Polyclonal
- Description
- Chromogranin A antibody (Cat. #10529-1-AP) is a rabbit polyclonal antibody that shows reactivity with human, mouse, rat and has been validated for the following applications: IF, IHC, WB,ELISA.
- Reactivity
- Human, Mouse, Rat
- Host
- Rabbit
- Conjugate
- Unconjugated
- Isotype
- IgG
- Vial size
- 20ul, 150ul
Submitted references PAX6 promotes neuroendocrine phenotypes of prostate cancer via enhancing MET/STAT5A-mediated chromatin accessibility.
OSBP-mediated PI(4)P-cholesterol exchange at endoplasmic reticulum-secretory granule contact sites controls insulin secretion.
Depiction of neuroendocrine features associated with immunotherapy response using a novel one-class predictor in lung adenocarcinoma.
The Chd4 Helicase Regulates Chromatin Accessibility and Gene Expression Critical for β-Cell Function In Vivo.
Budget-Friendly Generation, Biochemical Analyses, and Lentiviral Transduction of Patient-Derived Colon Organoids.
Colonic L-cell impairment in aged subjects with type 2 diabetes leads to diminished GLP-1 production.
Profile of chimeric RNAs and TMPRSS2-ERG e2e4 isoform in neuroendocrine prostate cancer.
Shouhui Tongbian Capsule ameliorates constipation via gut microbiota-5-HT-intestinal motility axis.
A novel hypoxia-driven gene signature that can predict the prognosis of hepatocellular carcinoma.
The Protective Effects of Apigenin Against Radiation-Induced Intestinal Injury.
Glycerate from intestinal fructose metabolism induces islet cell damage and glucose intolerance.
Generation and characterization of CRISPR/Cas9-mediated MEN1 knockout BON1 cells: a human pancreatic neuroendocrine cell line.
Protein O-GlcNAc Modification Links Dietary and Gut Microbial Cues to the Differentiation of Enteroendocrine L Cells.
Jing N, Du X, Liang Y, Tao Z, Bao S, Xiao H, Dong B, Gao WQ, Fang YX
Journal of experimental & clinical cancer research : CR 2024 May 15;43(1):144
Journal of experimental & clinical cancer research : CR 2024 May 15;43(1):144
OSBP-mediated PI(4)P-cholesterol exchange at endoplasmic reticulum-secretory granule contact sites controls insulin secretion.
Panagiotou S, Tan KW, Nguyen PM, Müller A, Oqua AI, Tomas A, Wendt A, Eliasson L, Tengholm A, Solimena M, Idevall-Hagren O
Cell reports 2024 Apr 23;43(4):113992
Cell reports 2024 Apr 23;43(4):113992
Depiction of neuroendocrine features associated with immunotherapy response using a novel one-class predictor in lung adenocarcinoma.
Liu H, Han Y, Liu Z, Gao L, Yi T, Yu Y, Wang Y, Qu P, Xiang L, Li Y
Discover oncology 2023 May 18;14(1):71
Discover oncology 2023 May 18;14(1):71
The Chd4 Helicase Regulates Chromatin Accessibility and Gene Expression Critical for β-Cell Function In Vivo.
Davidson RK, Kanojia S, Wu W, Kono T, Xu J, Osmulski M, Bone RN, Casey N, Evans-Molina C, Sims EK, Spaeth JM
Diabetes 2023 Jun 1;72(6):746-757
Diabetes 2023 Jun 1;72(6):746-757
Budget-Friendly Generation, Biochemical Analyses, and Lentiviral Transduction of Patient-Derived Colon Organoids.
Rigaux E, Chen JW, George F, Lemaire J, Bertrand C, Faugeras L, Fattaccioli A, Gilliaux Q, D'Hondt L, Michiels C, Renard HF, Zanin N
Current protocols 2023 Dec;3(12):e943
Current protocols 2023 Dec;3(12):e943
Colonic L-cell impairment in aged subjects with type 2 diabetes leads to diminished GLP-1 production.
Wang QY, Zhang W, Zhao Y, Chen HL, Liu Q, Wang ZH, Zeng LT, Li J, Chen SJ, Wei L, Iwakuma T, Cai JP
Diabetes & metabolic syndrome 2023 Dec;17(12):102907
Diabetes & metabolic syndrome 2023 Dec;17(12):102907
Profile of chimeric RNAs and TMPRSS2-ERG e2e4 isoform in neuroendocrine prostate cancer.
Wang Q, Chen J, Singh S, Xie Z, Qin F, Shi X, Cornelison R, Li H, Huang H
Cell & bioscience 2022 Sep 10;12(1):153
Cell & bioscience 2022 Sep 10;12(1):153
Shouhui Tongbian Capsule ameliorates constipation via gut microbiota-5-HT-intestinal motility axis.
Bai J, Cai Y, Huang Z, Gu Y, Huang N, Sun R, Zhang G, Liu R
Biomedicine & pharmacotherapy = Biomedecine & pharmacotherapie 2022 Oct;154:113627
Biomedicine & pharmacotherapy = Biomedecine & pharmacotherapie 2022 Oct;154:113627
A novel hypoxia-driven gene signature that can predict the prognosis of hepatocellular carcinoma.
Zeng Z, Lei S, Wang J, Yang Y, Lan J, Tian Q, Chen T, Hao X
Bioengineered 2022 May;13(5):12193-12210
Bioengineered 2022 May;13(5):12193-12210
The Protective Effects of Apigenin Against Radiation-Induced Intestinal Injury.
Liu D, Peng R, Chen Z, Yu H, Wang S, Dong S, Li W, Shao W, Dai J, Li F, Jiang Q, Sun W
Dose-response : a publication of International Hormesis Society 2022 Jul-Sep;20(3):15593258221113791
Dose-response : a publication of International Hormesis Society 2022 Jul-Sep;20(3):15593258221113791
Glycerate from intestinal fructose metabolism induces islet cell damage and glucose intolerance.
Wu Y, Wong CW, Chiles EN, Mellinger AL, Bae H, Jung S, Peterson T, Wang J, Negrete M, Huang Q, Wang L, Jang C, Muddiman DC, Su X, Williamson I, Shen X
Cell metabolism 2022 Jul 5;34(7):1042-1053.e6
Cell metabolism 2022 Jul 5;34(7):1042-1053.e6
Generation and characterization of CRISPR/Cas9-mediated MEN1 knockout BON1 cells: a human pancreatic neuroendocrine cell line.
Monazzam A, Li SC, Wargelius H, Razmara M, Bajic D, Mi J, Bergquist J, Crona J, Skogseid B
Scientific reports 2020 Sep 3;10(1):14572
Scientific reports 2020 Sep 3;10(1):14572
Protein O-GlcNAc Modification Links Dietary and Gut Microbial Cues to the Differentiation of Enteroendocrine L Cells.
Zhao M, Ren K, Xiong X, Cheng M, Zhang Z, Huang Z, Han X, Yang X, Alejandro EU, Ruan HB
Cell reports 2020 Aug 11;32(6):108013
Cell reports 2020 Aug 11;32(6):108013
No comments: Submit comment
Supportive validation
- Submitted by
- Proteintech Group (provider)
- Main image

- Experimental details
- Immunohistochemical of paraffin-embedded human colon using 10529-1-AP(CHGA antibody) at dilution of 1:50 (under 10x lens)
- Sample type
- tissue
- Submitted by
- Proteintech Group (provider)
- Main image

- Experimental details
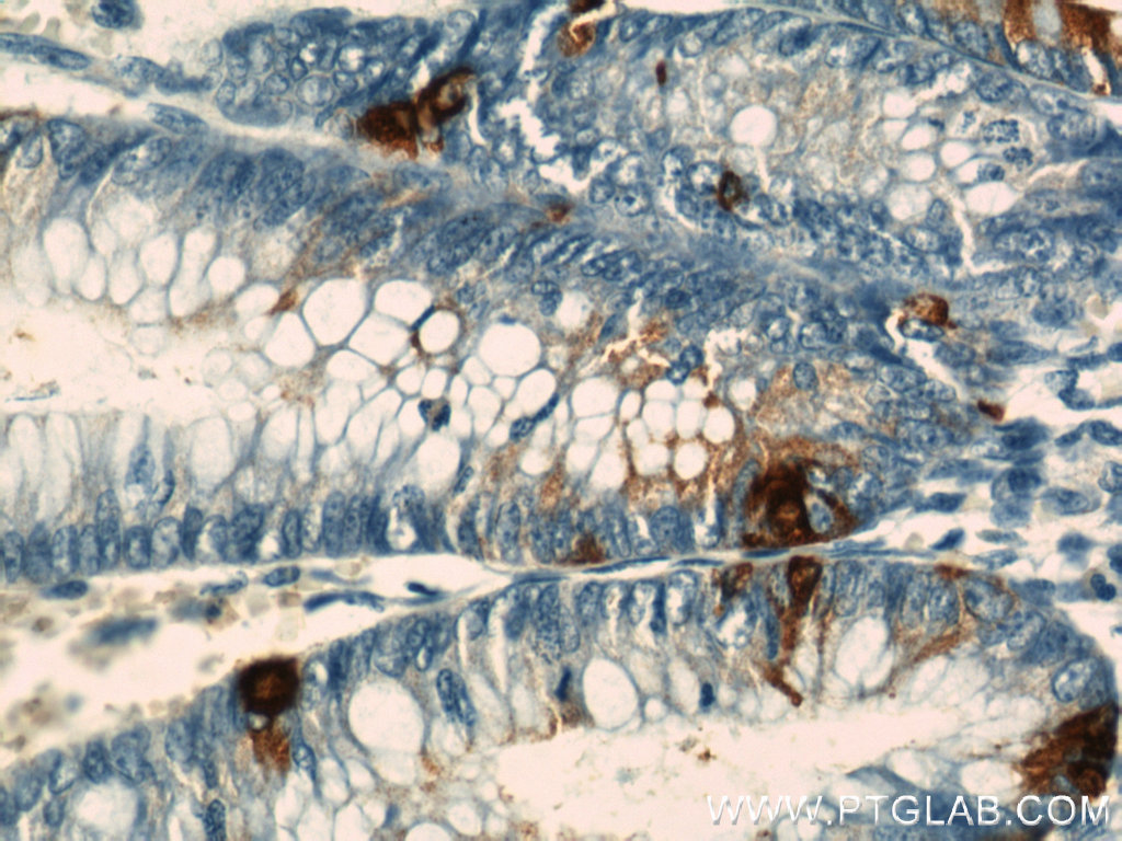
- Immunohistochemical of paraffin-embedded human colon using 10529-1-AP(CHGA antibody) at dilution of 1:50 (under 40x lens)
- Sample type
- tissue
- Submitted by
- Proteintech Group (provider)
- Main image

- Experimental details
- Immunohistochemical of paraffin-embedded human pancreas using 10529-1-AP(CHGA antibody) at dilution of 1:50 (under 10x lens)
- Sample type
- tissue
- Submitted by
- Proteintech Group (provider)
- Main image

- Experimental details
- The Chromogranin A antibody from Proteintech is a rabbit polyclonal antibody to a recombinant protein of human Chromogranin A. This antibody recognizes human antigen. The Chromogranin A antibody has been validated for the following applications: ELISA, IHC analysis.