Antibody data
- Antibody Data
- Antigen structure
- References [2]
- Comments [0]
- Validations
- Immunocytochemistry [2]
Submit
Validation data
Reference
Comment
Report error
- Product number
- ENZ-C34932 - Provider product page

- Provider
- Enzo Life Sciences
- Proper citation
- Enzo Life Sciences Cat#ENZ-C34932, RRID:AB_2244970
- Product name
- Chromogranin A (human) monoclonal antibody (PHE5)
- Antibody type
- Monoclonal
- Antigen
- Purified from natural sources
- Description
- Affinity purified.
- Reactivity
- Human
- Host
- Mouse
- Isotype
- IgG
- Antibody clone number
- PHE5
- Vial size
- 0.5 ml
- Storage
- -20°C
- Handling
- Avoid freeze/thaw cycles. After opening, prepare aliquots and store at -20¡C.
Submitted references Comparative study of seven neuroendocrine markers in pancreatic endocrine tumours.
Distribution of chromogranin A and secretogranin I (chromogranin B) in neuroendocrine cells and tumors.
Bordi C, Pilato FP, D'Adda T
Virchows Archiv. A, Pathological anatomy and histopathology 1988;413(5):387-98
Virchows Archiv. A, Pathological anatomy and histopathology 1988;413(5):387-98
Distribution of chromogranin A and secretogranin I (chromogranin B) in neuroendocrine cells and tumors.
Lloyd RV, Cano M, Rosa P, Hille A, Huttner WB
The American journal of pathology 1988 Feb;130(2):296-304
The American journal of pathology 1988 Feb;130(2):296-304
No comments: Submit comment
Supportive validation
- Submitted by
- Enzo Life Sciences (provider)
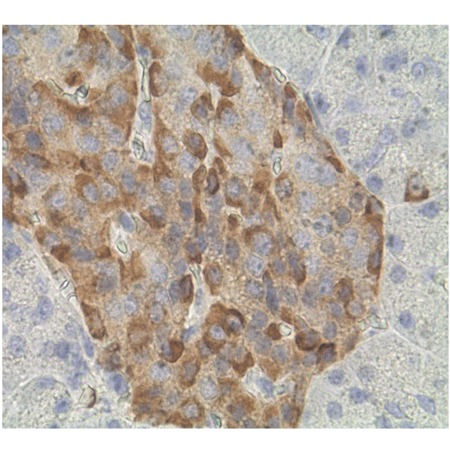
- Main image

- Experimental details
- Immunohistochemistry analysis of human endocrine pancreas tissue stained with chromogranin A, mAb (PHE5). Original magnifications: 5x and 63x, respectively.
- Submitted by
- Enzo Life Sciences (provider)
- Main image

- Experimental details
- Immunohistochemistry analysis of human endocrine pancreas tissue stained with chromogranin A, mAb (PHE5). Original magnifications: 5x and 63x, respectively.