16047-1-AP
antibody from Proteintech Group
Targeting: H4C5
H4/j, H4FJ, HIST1H4E
Antibody data
- Antibody Data
- Antigen structure
- References [59]
- Comments [0]
- Validations
- Western blot [1]
- Immunohistochemistry [2]
Submit
Validation data
Reference
Comment
Report error
- Product number
- 16047-1-AP - Provider product page

- Provider
- Proteintech Group
- Proper citation
- Proteintech Cat#16047-1-AP, RRID:AB_2118625
- Product name
- Histone H4 antibody
- Antibody type
- Polyclonal
- Description
- KD/KO validated Histone H4 antibody (Cat. #16047-1-AP) is a rabbit polyclonal antibody that shows reactivity with human, mouse, rat and has been validated for the following applications: ChIP, IF, IHC, IP, WB,ELISA.
- Reactivity
- Human, Mouse, Rat
- Host
- Rabbit
- Conjugate
- Unconjugated
- Isotype
- IgG
- Vial size
- 20ul, 150ul
Submitted references Deficiency of nucleosome-destabilizing factor GLYR1 dampens spermatogenesis in mice.
Serine/arginine-rich splicing factor 7 promotes the type I interferon response by activating Irf7 transcription.
The GATAD2B-NuRD complex drives DNA:RNA hybrid-dependent chromatin boundary formation upon DNA damage.
Proteomic Identification of Small Extracellular Vesicle Proteins LAMB1 and Histone H4 for Prostate Cancer Diagnosis and Risk Stratification.
Serine deficiency exacerbates psoriatic skin inflammation by regulating S-adenosyl methionine-dependent DNA methylation and NF-κB signalling activation in keratinocytes.
The ARID1A-METTL3-m6A axis ensures effective RNase H1-mediated resolution of R-loops and genome stability.
JMJD6 protects against isoproterenol-induced cardiac hypertrophy via inhibition of NF-κB activation by demethylating R149 of the p65 subunit.
SIRT2 regulates extracellular vesicle-mediated liver-bone communication.
ARID1A Inactivation Increases Expression of circ0008399 and Promotes Cisplatin Resistance in Bladder Cancer.
UMSBP2 is chromatin remodeler that functions in regulation of gene expression and suppression of antigenic variation in trypanosomes.
Role of SYVN1 in the control of airway remodeling in asthma protection by promoting SIRT2 ubiquitination and degradation.
MSL1 Promotes Liver Regeneration by Driving Phase Separation of STAT3 and Histone H4 and Enhancing Their Acetylation.
Histone acetylation by HBO1 (KAT7) activates Wnt/β-catenin signaling to promote leukemogenesis in B-cell acute lymphoblastic leukemia.
HMGCL-induced β-hydroxybutyrate production attenuates hepatocellular carcinoma via DPP4-mediated ferroptosis susceptibility.
TRAF6 Promotes PRMT5 Activity in a Ubiquitination-Dependent Manner.
CDK5-PRMT1-WDR24 signaling cascade promotes mTORC1 signaling and tumor growth.
Downregulation of lncRNA APCDD1L-AS1 due to DNA hypermethylation and loss of VHL protein expression promotes the progression of clear cell renal cell carcinoma.
PRMT5 confers lipid metabolism reprogramming, tumour growth and metastasis depending on the SIRT7-mediated desuccinylation of PRMT5 K387 in tumours.
Gut microbiota shapes social dominance through modulating HDAC2 in the medial prefrontal cortex.
The Non-Specific Lethal (NSL) Histone Acetyltransferase Complex Transcriptionally Regulates Yin Yang 1-Mediated Cell Proliferation in Human Cells.
Insight into mechanisms of pig lncRNA FUT3-AS1 regulating E. coli F18-bacterial diarrhea.
The PRMT5-LSD1 axis confers Slug dual transcriptional activities and promotes breast cancer progression.
Cis- and trans-resveratrol have opposite effects on histone serine-ADP-ribosylation and tyrosine induced neurodegeneration.
Ribavirin inhibits cell proliferation and metastasis and prolongs survival in soft tissue sarcomas by downregulating both protein arginine methyltransferases 1 and 5.
Two distinct males absent on the first (MOF)-containing histone acetyltransferases are involved in the epithelial-mesenchymal transition in different ways in human cells.
Comparative analysis of ChAdOx1 nCoV-19 and Ad26.COV2.S SARS-CoV-2 vector vaccines.
Lovastatin Alleviates α-Synuclein Aggregation and Phosphorylation in Cellular Models of Synucleinopathy.
Histone acetyltransferase 1 promotes gemcitabine resistance by regulating the PVT1/EZH2 complex in pancreatic cancer.
Ribavirin inhibits colorectal cancer growth by downregulating PRMT5 expression and H3R8me2s and H4R3me2s accumulation.
KAT8/MOF-Mediated Anti-Cancer Mechanism of Gemcitabine in Human Bladder Cancer Cells.
Mutual dependency between lncRNA LETN and protein NPM1 in controlling the nucleolar structure and functions sustaining cell proliferation.
Snail enhances arginine synthesis by inhibiting ubiquitination-mediated degradation of ASS1.
PRMT5-dependent transcriptional repression of c-Myc target genes promotes gastric cancer progression.
Extra-mitochondrial mouse frataxin and its implications for mouse models of Friedreich's ataxia.
Loss of histone H4 lysine 20 trimethylation in osteosarcoma is associated with aberrant expression ofhistone methyltransferase SUV420H2.
BECN1 modulates hematopoietic stem cells by targeting Caspase-3-GSDME-mediated pyroptosis.
Arsenic influences spermatogenesis by disorganizing the elongation of spermatids in adult male mice.
The Paf1 complex transcriptionally regulates the mitochondrial-anchored protein Atg32 leading to activation of mitophagy.
PGN and LTA from Staphylococcus aureus Induced Inflammation and Decreased Lactation through Regulating DNA Methylation and Histone H3 Acetylation in Bovine Mammary Epithelial Cells.
RAD6B Plays a Critical Role in Neuronal DNA Damage Response to Resist Neurodegeneration.
Fluoride-induced unrestored arrest during haploid period of spermatogenesis via the regulation of DDX25 in rats.
Epigenetic suppression of liver X receptor β in anterior cingulate cortex by HDAC5 drives CFA-induced chronic inflammatory pain.
In the human sperm nucleus, nucleosomes form spatially restricted domains consistent with programmed nucleosome positioning.
Decreased synthesis of ribosomal proteins in tauopathy revealed by non-canonical amino acid labelling.
MYST1/KAT8 contributes to tumor progression by activating EGFR signaling in glioblastoma cells.
NOS1 inhibits the interferon response of cancer cells by S-nitrosylation of HDAC2.
O-GlcNAc-Modification of NSL3 at Thr755 Site Maintains the Holoenzyme Activity of MOF/NSL Histone Acetyltransfease Complex.
ACOT12-Dependent Alteration of Acetyl-CoA Drives Hepatocellular Carcinoma Metastasis by Epigenetic Induction of Epithelial-Mesenchymal Transition.
Function of RAD6B and RNF8 in spermatogenesis.
The chromatin remodeling protein INO80 contributes to the removal of H2A.Z at the p53-binding site of the p21 gene in response to doxorubicin.
SUMO suppresses and MYC amplifies transcription globally by regulating CDK9 sumoylation.
Beyond autophagy: a novel role for autism-linked Wdfy3 in brain mitophagy.
BCCIP binds to and activates its promoter in a YY1-dependent fashion in HCT116 cells.
O-Linked N-acetylglucosamine transferase 1 regulates global histone H4 acetylation via stabilization of the nonspecific lethal protein NSL3.
HEK293 cells express dystrophin Dp71 with nucleus-specific localization of Dp71ab.
The HIF/PHF8/AR axis promotes prostate cancer progression.
Insights into Nucleosome Organization in Mouse Embryonic Stem Cells through Chemical Mapping.
CS055 (Chidamide/HBI-8000), a novel histone deacetylase inhibitor, induces G1 arrest, ROS-dependent apoptosis and differentiation in human leukaemia cells.
Mutagenesis of pairwise combinations of histone amino-terminal tails reveals functional redundancy in budding yeast.
Cheng GP, Wang YF, Li YY, Guo SM, Li HG, Ji DM, Yi NH, Zhou LQ
Molecular and cellular endocrinology 2024 May 15;586:112194
Molecular and cellular endocrinology 2024 May 15;586:112194
Serine/arginine-rich splicing factor 7 promotes the type I interferon response by activating Irf7 transcription.
Scott HM, Smith MH, Coleman AK, Armijo KS, Chapman MJ, Apostalo SL, Wagner AR, Watson RO, Patrick KL
Cell reports 2024 Mar 26;43(3):113816
Cell reports 2024 Mar 26;43(3):113816
The GATAD2B-NuRD complex drives DNA:RNA hybrid-dependent chromatin boundary formation upon DNA damage.
Liu Z, Ajit K, Wu Y, Zhu WG, Gullerova M
The EMBO journal 2024 Jun;43(12):2453-2485
The EMBO journal 2024 Jun;43(12):2453-2485
Proteomic Identification of Small Extracellular Vesicle Proteins LAMB1 and Histone H4 for Prostate Cancer Diagnosis and Risk Stratification.
Pang B, Wang Q, Chen H, Liu Z, Han M, Gong J, Yue L, Ding X, Wang S, Yan Z, Chen Y, Malouf D, Bucci J, Guo T, Zhou C, Jiang J, Li Y
Advanced science (Weinheim, Baden-Wurttemberg, Germany) 2024 Jun;11(23):e2402509
Advanced science (Weinheim, Baden-Wurttemberg, Germany) 2024 Jun;11(23):e2402509
Serine deficiency exacerbates psoriatic skin inflammation by regulating S-adenosyl methionine-dependent DNA methylation and NF-κB signalling activation in keratinocytes.
Meng Q, Liu Y, Yao L, Ma Z, Guo L, Hu T, Luo Y, Chen J, Dang E, Li Z
Journal of the European Academy of Dermatology and Venereology : JEADV 2024 Jan;38(1):145-156
Journal of the European Academy of Dermatology and Venereology : JEADV 2024 Jan;38(1):145-156
The ARID1A-METTL3-m6A axis ensures effective RNase H1-mediated resolution of R-loops and genome stability.
Zhang J, Chen F, Tang M, Xu W, Tian Y, Liu Z, Shu Y, Yang H, Zhu Q, Lu X, Peng B, Liu X, Xu X, Gullerova M, Zhu WG
Cell reports 2024 Feb 27;43(2):113779
Cell reports 2024 Feb 27;43(2):113779
JMJD6 protects against isoproterenol-induced cardiac hypertrophy via inhibition of NF-κB activation by demethylating R149 of the p65 subunit.
Guo Z, Hu YH, Feng GS, Valenzuela Ripoll C, Li ZZ, Cai SD, Wang QQ, Luo WW, Li Q, Liang LY, Wu ZK, Zhang JG, Javaheri A, Wang L, Lu J, Liu PQ
Acta pharmacologica Sinica 2023 Sep;44(9):1777-1789
Acta pharmacologica Sinica 2023 Sep;44(9):1777-1789
SIRT2 regulates extracellular vesicle-mediated liver-bone communication.
Lin L, Guo Z, He E, Long X, Wang D, Zhang Y, Guo W, Wei Q, He W, Wu W, Li J, Wo L, Hong D, Zheng J, He M, Zhao Q
Nature metabolism 2023 May;5(5):821-841
Nature metabolism 2023 May;5(5):821-841
ARID1A Inactivation Increases Expression of circ0008399 and Promotes Cisplatin Resistance in Bladder Cancer.
Jiang YK, Shuai YJ, Ding HM, Zhang H, Huang C, Wang L, Sun JY, Wei WJ, Xiao XY, Jiang GS
Current medical science 2023 Jun;43(3):560-571
Current medical science 2023 Jun;43(3):560-571
UMSBP2 is chromatin remodeler that functions in regulation of gene expression and suppression of antigenic variation in trypanosomes.
Soni A, Klebanov-Akopyan O, Erben E, Plaschkes I, Benyamini H, Mitesser V, Harel A, Yamin K, Onn I, Shlomai J
Nucleic acids research 2023 Jun 23;51(11):5678-5698
Nucleic acids research 2023 Jun 23;51(11):5678-5698
Role of SYVN1 in the control of airway remodeling in asthma protection by promoting SIRT2 ubiquitination and degradation.
Dai B, Liu S, Shen W, Chen L, Zhou Q, Han L, Zhang Q, Shan L
Biological research 2023 Dec 2;56(1):64
Biological research 2023 Dec 2;56(1):64
MSL1 Promotes Liver Regeneration by Driving Phase Separation of STAT3 and Histone H4 and Enhancing Their Acetylation.
He Y, Wang S, Liu S, Qin D, Liu Z, Wang L, Chen X, Zhang L
Advanced science (Weinheim, Baden-Wurttemberg, Germany) 2023 Aug;10(23):e2301094
Advanced science (Weinheim, Baden-Wurttemberg, Germany) 2023 Aug;10(23):e2301094
Histone acetylation by HBO1 (KAT7) activates Wnt/β-catenin signaling to promote leukemogenesis in B-cell acute lymphoblastic leukemia.
Wang H, Qiu Y, Zhang H, Chang N, Hu Y, Chen J, Hu R, Liao P, Li Z, Yang Y, Cen Q, Ding X, Li M, Xie X, Li Y
Cell death & disease 2023 Aug 4;14(8):498
Cell death & disease 2023 Aug 4;14(8):498
HMGCL-induced β-hydroxybutyrate production attenuates hepatocellular carcinoma via DPP4-mediated ferroptosis susceptibility.
Cui X, Yun X, Sun M, Li R, Lyu X, Lao Y, Qin X, Yu W
Hepatology international 2023 Apr;17(2):377-392
Hepatology international 2023 Apr;17(2):377-392
TRAF6 Promotes PRMT5 Activity in a Ubiquitination-Dependent Manner.
Liu L, Yin S, Gan W
Cancers 2023 Apr 27;15(9)
Cancers 2023 Apr 27;15(9)
CDK5-PRMT1-WDR24 signaling cascade promotes mTORC1 signaling and tumor growth.
Yin S, Liu L, Ball LE, Wang Y, Bedford MT, Duncan SA, Wang H, Gan W
Cell reports 2023 Apr 25;42(4):112316
Cell reports 2023 Apr 25;42(4):112316
Downregulation of lncRNA APCDD1L-AS1 due to DNA hypermethylation and loss of VHL protein expression promotes the progression of clear cell renal cell carcinoma.
Yang W, Zhou J, Zhang Z, Zhang K, Xu Y, Li L, Cai L, Gong Y, Gong K
International journal of biological sciences 2022;18(6):2583-2596
International journal of biological sciences 2022;18(6):2583-2596
PRMT5 confers lipid metabolism reprogramming, tumour growth and metastasis depending on the SIRT7-mediated desuccinylation of PRMT5 K387 in tumours.
Yuan HF, Zhao M, Zhao LN, Yun HL, Yang G, Geng Y, Wang YF, Zheng W, Yuan Y, Song TQ, Niu JQ, Zhang XD
Acta pharmacologica Sinica 2022 Sep;43(9):2373-2385
Acta pharmacologica Sinica 2022 Sep;43(9):2373-2385
Gut microbiota shapes social dominance through modulating HDAC2 in the medial prefrontal cortex.
Wang T, Xu J, Xu Y, Xiao J, Bi N, Gu X, Wang HL
Cell reports 2022 Mar 8;38(10):110478
Cell reports 2022 Mar 8;38(10):110478
The Non-Specific Lethal (NSL) Histone Acetyltransferase Complex Transcriptionally Regulates Yin Yang 1-Mediated Cell Proliferation in Human Cells.
Liu H, Wei T, Sun L, Wu T, Li F, Zhao J, Chu J, Wang F, Cai Y, Jin J
International journal of molecular sciences 2022 Mar 30;23(7)
International journal of molecular sciences 2022 Mar 30;23(7)
Insight into mechanisms of pig lncRNA FUT3-AS1 regulating E. coli F18-bacterial diarrhea.
Wu Z, Fan H, Jin J, Gao S, Huang R, Wu S, Bao W
PLoS pathogens 2022 Jun;18(6):e1010584
PLoS pathogens 2022 Jun;18(6):e1010584
The PRMT5-LSD1 axis confers Slug dual transcriptional activities and promotes breast cancer progression.
Zhang J, Fan X, Zhou Y, Chen L, Rao H
Journal of experimental & clinical cancer research : CR 2022 Jun 2;41(1):191
Journal of experimental & clinical cancer research : CR 2022 Jun 2;41(1):191
Cis- and trans-resveratrol have opposite effects on histone serine-ADP-ribosylation and tyrosine induced neurodegeneration.
Jhanji M, Rao CN, Massey JC, Hope MC 3rd, Zhou X, Keene CD, Ma T, Wyatt MD, Stewart JA, Sajish M
Nature communications 2022 Jun 10;13(1):3244
Nature communications 2022 Jun 10;13(1):3244
Ribavirin inhibits cell proliferation and metastasis and prolongs survival in soft tissue sarcomas by downregulating both protein arginine methyltransferases 1 and 5.
Zhang Q, Yang R, Tian Y, Ge S, Nan X, Zhu S, Dong S, Zhang B
Basic & clinical pharmacology & toxicology 2022 Jul;131(1):18-33
Basic & clinical pharmacology & toxicology 2022 Jul;131(1):18-33
Two distinct males absent on the first (MOF)-containing histone acetyltransferases are involved in the epithelial-mesenchymal transition in different ways in human cells.
Wei T, Liu H, Zhu H, Chen W, Wu T, Bai Y, Zhang X, Miao Y, Wang F, Cai Y, Jin J
Cellular and molecular life sciences : CMLS 2022 Apr 13;79(5):238
Cellular and molecular life sciences : CMLS 2022 Apr 13;79(5):238
Comparative analysis of ChAdOx1 nCoV-19 and Ad26.COV2.S SARS-CoV-2 vector vaccines.
Michalik S, Siegerist F, Palankar R, Franzke K, Schindler M, Reder A, Seifert U, Cammann C, Wesche J, Steil L, Hentschker C, Gesell-Salazar M, Reisinger E, Beer M, Endlich N, Greinacher A, Völker U
Haematologica 2022 Apr 1;107(4):947-957
Haematologica 2022 Apr 1;107(4):947-957
Lovastatin Alleviates α-Synuclein Aggregation and Phosphorylation in Cellular Models of Synucleinopathy.
Dai L, Wang J, He M, Xiong M, Tian Y, Liu C, Zhang Z
Frontiers in molecular neuroscience 2021;14:682320
Frontiers in molecular neuroscience 2021;14:682320
Histone acetyltransferase 1 promotes gemcitabine resistance by regulating the PVT1/EZH2 complex in pancreatic cancer.
Sun Y, Ren D, Zhou Y, Shen J, Wu H, Jin X
Cell death & disease 2021 Sep 25;12(10):878
Cell death & disease 2021 Sep 25;12(10):878
Ribavirin inhibits colorectal cancer growth by downregulating PRMT5 expression and H3R8me2s and H4R3me2s accumulation.
Ge S, Zhang Q, Chen Y, Tian Y, Yang R, Chen X, Li F, Zhang B
Toxicology and applied pharmacology 2021 Mar 15;415:115450
Toxicology and applied pharmacology 2021 Mar 15;415:115450
KAT8/MOF-Mediated Anti-Cancer Mechanism of Gemcitabine in Human Bladder Cancer Cells.
Zhu H, Wang Y, Wei T, Zhao X, Li F, Li Y, Wang F, Cai Y, Jin J
Biomolecules & therapeutics 2021 Mar 1;29(2):184-194
Biomolecules & therapeutics 2021 Mar 1;29(2):184-194
Mutual dependency between lncRNA LETN and protein NPM1 in controlling the nucleolar structure and functions sustaining cell proliferation.
Wang X, Hu X, Song W, Xu H, Xiao Z, Huang R, Bai Q, Zhang F, Chen Y, Liu Y, Fang J, Li X, Shen Q, Zhao H, Yang X
Cell research 2021 Jun;31(6):664-683
Cell research 2021 Jun;31(6):664-683
Snail enhances arginine synthesis by inhibiting ubiquitination-mediated degradation of ASS1.
Jia H, Yang Y, Li M, Chu Y, Song H, Zhang J, Zhang D, Zhang Q, Xu Y, Wang J, Xu H, Zou X, Peng H, Hou Z
EMBO reports 2021 Aug 4;22(8):e51780
EMBO reports 2021 Aug 4;22(8):e51780
PRMT5-dependent transcriptional repression of c-Myc target genes promotes gastric cancer progression.
Liu M, Yao B, Gui T, Guo C, Wu X, Li J, Ma L, Deng Y, Xu P, Wang Y, Yang D, Li Q, Zeng X, Li X, Hu R, Ge J, Yu Z, Chen Y, Chen B, Ju J, Zhao Q
Theranostics 2020;10(10):4437-4452
Theranostics 2020;10(10):4437-4452
Extra-mitochondrial mouse frataxin and its implications for mouse models of Friedreich's ataxia.
Weng L, Laboureur L, Wang Q, Guo L, Xu P, Gottlieb L, Lynch DR, Mesaros C, Blair IA
Scientific reports 2020 Sep 25;10(1):15788
Scientific reports 2020 Sep 25;10(1):15788
Loss of histone H4 lysine 20 trimethylation in osteosarcoma is associated with aberrant expression ofhistone methyltransferase SUV420H2.
Piao L, Yuan X, Wang L, Xu X, Zhuang M, Li J, Kong R, Liu Z
Oncology letters 2020 Oct;20(4):26
Oncology letters 2020 Oct;20(4):26
BECN1 modulates hematopoietic stem cells by targeting Caspase-3-GSDME-mediated pyroptosis.
Yang X, Ge L, Wang J
Blood science (Baltimore, Md.) 2020 Jul;2(3):89-99
Blood science (Baltimore, Md.) 2020 Jul;2(3):89-99
Arsenic influences spermatogenesis by disorganizing the elongation of spermatids in adult male mice.
Han Y, Liang C, Manthari RK, Yu Y, Gao Y, Liu Y, Jiang S, Tikka C, Wang J, Zhang J
Chemosphere 2020 Jan;238:124650
Chemosphere 2020 Jan;238:124650
The Paf1 complex transcriptionally regulates the mitochondrial-anchored protein Atg32 leading to activation of mitophagy.
Zheng L, Shu WJ, Li YM, Mari M, Yan C, Wang D, Yin ZH, Jiang W, Zhou Y, Okamoto K, Reggiori F, Klionsky DJ, Song Z, Du HN
Autophagy 2020 Aug;16(8):1366-1379
Autophagy 2020 Aug;16(8):1366-1379
PGN and LTA from Staphylococcus aureus Induced Inflammation and Decreased Lactation through Regulating DNA Methylation and Histone H3 Acetylation in Bovine Mammary Epithelial Cells.
Wu Y, Chen J, Sun Y, Dong X, Wang Z, Chen J, Dong G
Toxins 2020 Apr 9;12(4)
Toxins 2020 Apr 9;12(4)
RAD6B Plays a Critical Role in Neuronal DNA Damage Response to Resist Neurodegeneration.
Guo Z, Tian Y, Guo Y, Li B, Liu X, Xie K, Song Y, Wang D
Frontiers in cellular neuroscience 2019;13:392
Frontiers in cellular neuroscience 2019;13:392
Fluoride-induced unrestored arrest during haploid period of spermatogenesis via the regulation of DDX25 in rats.
Han Y, Yu Y, Liang C, Shi Y, Zhu Y, Zheng H, Wang J, Zhang J
Environmental pollution (Barking, Essex : 1987) 2019 Oct;253:538-551
Environmental pollution (Barking, Essex : 1987) 2019 Oct;253:538-551
Epigenetic suppression of liver X receptor β in anterior cingulate cortex by HDAC5 drives CFA-induced chronic inflammatory pain.
Li YJ, Zhang K, Sun T, Wang J, Guo YY, Yang L, Yang Q, Li YJ, Liu SB, Zhao MG, Wu YM
Journal of neuroinflammation 2019 Jun 29;16(1):132
Journal of neuroinflammation 2019 Jun 29;16(1):132
In the human sperm nucleus, nucleosomes form spatially restricted domains consistent with programmed nucleosome positioning.
Zhang MZ, Cao XM, Xu FQ, Liang XW, Fu LL, Li B, Liu WG, Li SG, Sun FZ, Huang XY, Huang WH
Biology open 2019 Jul 10;8(7)
Biology open 2019 Jul 10;8(7)
Decreased synthesis of ribosomal proteins in tauopathy revealed by non-canonical amino acid labelling.
Evans HT, Benetatos J, van Roijen M, Bodea LG, Götz J
The EMBO journal 2019 Jul 1;38(13):e101174
The EMBO journal 2019 Jul 1;38(13):e101174
MYST1/KAT8 contributes to tumor progression by activating EGFR signaling in glioblastoma cells.
Dong Z, Zou J, Li J, Pang Y, Liu Y, Deng C, Chen F, Cui H
Cancer medicine 2019 Dec;8(18):7793-7808
Cancer medicine 2019 Dec;8(18):7793-7808
NOS1 inhibits the interferon response of cancer cells by S-nitrosylation of HDAC2.
Xu P, Ye S, Li K, Huang M, Wang Q, Zeng S, Chen X, Gao W, Chen J, Zhang Q, Zhong Z, Lin Y, Rong Z, Xu Y, Hao B, Peng A, Ouyang M, Liu Q
Journal of experimental & clinical cancer research : CR 2019 Dec 5;38(1):483
Journal of experimental & clinical cancer research : CR 2019 Dec 5;38(1):483
O-GlcNAc-Modification of NSL3 at Thr755 Site Maintains the Holoenzyme Activity of MOF/NSL Histone Acetyltransfease Complex.
Zhao L, Li M, Wei T, Feng C, Wu T, Shah JA, Liu H, Wang F, Cai Y, Jin J
International journal of molecular sciences 2019 Dec 25;21(1)
International journal of molecular sciences 2019 Dec 25;21(1)
ACOT12-Dependent Alteration of Acetyl-CoA Drives Hepatocellular Carcinoma Metastasis by Epigenetic Induction of Epithelial-Mesenchymal Transition.
Lu M, Zhu WW, Wang X, Tang JJ, Zhang KL, Yu GY, Shao WQ, Lin ZF, Wang SH, Lu L, Zhou J, Wang LX, Jia HL, Dong QZ, Chen JH, Lu JQ, Qin LX
Cell metabolism 2019 Apr 2;29(4):886-900.e5
Cell metabolism 2019 Apr 2;29(4):886-900.e5
Function of RAD6B and RNF8 in spermatogenesis.
Guo Y, Song Y, Guo Z, Hu M, Liu B, Duan H, Wang L, Yuan T, Wang D
Cell cycle (Georgetown, Tex.) 2018;17(2):162-173
Cell cycle (Georgetown, Tex.) 2018;17(2):162-173
The chromatin remodeling protein INO80 contributes to the removal of H2A.Z at the p53-binding site of the p21 gene in response to doxorubicin.
Ding J, Yu C, Sui Y, Wang L, Yang Y, Wang F, Yao H, Xing F, Liu H, Li Y, Shah JA, Cai Y, Jin J
The FEBS journal 2018 Sep;285(17):3270-3285
The FEBS journal 2018 Sep;285(17):3270-3285
SUMO suppresses and MYC amplifies transcription globally by regulating CDK9 sumoylation.
Yu F, Shi G, Cheng S, Chen J, Wu SY, Wang Z, Xia N, Zhai Y, Wang Z, Peng Y, Wang D, Du JX, Liao L, Duan SZ, Shi T, Cheng J, Chiang CM, Li J, Wong J
Cell research 2018 Jun;28(6):670-685
Cell research 2018 Jun;28(6):670-685
Beyond autophagy: a novel role for autism-linked Wdfy3 in brain mitophagy.
Napoli E, Song G, Panoutsopoulos A, Riyadh MA, Kaushik G, Halmai J, Levenson R, Zarbalis KS, Giulivi C
Scientific reports 2018 Jul 27;8(1):11348
Scientific reports 2018 Jul 27;8(1):11348
BCCIP binds to and activates its promoter in a YY1-dependent fashion in HCT116 cells.
Sui Y, Li F, Wu T, Ding J, Lu Z, Wang L, Yang Y, Wang F, Zhao L, Zhu H, Wei T, Jin J, Cai Y
The FEBS journal 2018 Aug;285(16):3026-3040
The FEBS journal 2018 Aug;285(16):3026-3040
O-Linked N-acetylglucosamine transferase 1 regulates global histone H4 acetylation via stabilization of the nonspecific lethal protein NSL3.
Wu D, Zhao L, Feng Z, Yu C, Ding J, Wang L, Wang F, Liu D, Zhu H, Xing F, Conaway JW, Conaway RC, Cai Y, Jin J
The Journal of biological chemistry 2017 Jun 16;292(24):10014-10025
The Journal of biological chemistry 2017 Jun 16;292(24):10014-10025
HEK293 cells express dystrophin Dp71 with nucleus-specific localization of Dp71ab.
Nishida A, Yasuno S, Takeuchi A, Awano H, Lee T, Niba ET, Fujimoto T, Itoh K, Takeshima Y, Nishio H, Matsuo M
Histochemistry and cell biology 2016 Sep;146(3):301-9
Histochemistry and cell biology 2016 Sep;146(3):301-9
The HIF/PHF8/AR axis promotes prostate cancer progression.
Tong D, Liu Q, Liu G, Yuan W, Wang L, Guo Y, Lan W, Zhang D, Dong S, Wang Y, Xiao H, Mu J, Mao C, Wong J, Jiang J
Oncogenesis 2016 Dec 19;5(12):e283
Oncogenesis 2016 Dec 19;5(12):e283
Insights into Nucleosome Organization in Mouse Embryonic Stem Cells through Chemical Mapping.
Voong LN, Xi L, Sebeson AC, Xiong B, Wang JP, Wang X
Cell 2016 Dec 1;167(6):1555-1570.e15
Cell 2016 Dec 1;167(6):1555-1570.e15
CS055 (Chidamide/HBI-8000), a novel histone deacetylase inhibitor, induces G1 arrest, ROS-dependent apoptosis and differentiation in human leukaemia cells.
Gong K, Xie J, Yi H, Li W
The Biochemical journal 2012 May 1;443(3):735-46
The Biochemical journal 2012 May 1;443(3):735-46
Mutagenesis of pairwise combinations of histone amino-terminal tails reveals functional redundancy in budding yeast.
Kim JA, Hsu JY, Smith MM, Allis CD
Proceedings of the National Academy of Sciences of the United States of America 2012 Apr 10;109(15):5779-84
Proceedings of the National Academy of Sciences of the United States of America 2012 Apr 10;109(15):5779-84
No comments: Submit comment
Supportive validation
- Submitted by
- Proteintech Group (provider)
- Main image

- Experimental details
- mouse thymus tissue were subjected to SDS PAGE followed by western blot with 16047-1-AP(HIST1H4E antibody) at dilution of 1:500
- Sample type
- tissue
Supportive validation
- Submitted by
- Proteintech Group (provider)
- Main image

- Experimental details
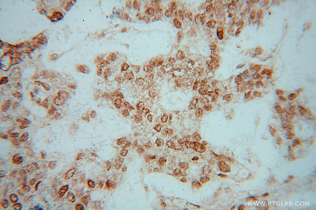
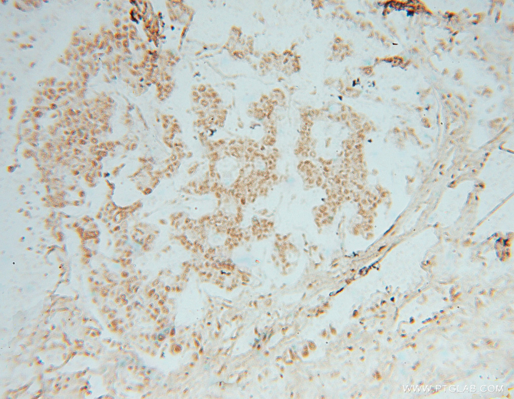
- Immunohistochemical of paraffin-embedded human breast cancer using 16047-1-AP(HIST1H4E antibody) at dilution of 1:50 (under 10x lens)
- Sample type
- tissue
- Submitted by
- Proteintech Group (provider)
- Main image

- Experimental details
- The Histone H4 antibody from Proteintech is a rabbit polyclonal antibody to a recombinant protein of human Histone H4. This antibody recognizes human,mouse,rat antigen. The Histone H4 antibody has been validated for the following applications: ELISA, IHC, WB analysis.