Antibody data
- Antibody Data
- Antigen structure
- References [0]
- Comments [0]
- Validations
- ELISA [3]
- Immunohistochemistry [5]
Submit
Validation data
Reference
Comment
Report error
- Product number
- LS-C682378 - Provider product page

- Provider
- LSBio
- Product name
- HIST2H3C Antibody (clone 2D7B3) LS-C682378
- Antibody type
- Monoclonal
- Description
- Purified
- Reactivity
- Human
- Host
- Mouse
- Isotype
- IgG
- Antibody clone number
- 2D7B3
- Storage
- Short term: store at 4°C. Long term: store at -20°C.
No comments: Submit comment
Supportive validation
- Submitted by
- LSBio (provider)
- Enhanced method
- Genetic validation
- Main image

- Experimental details
- Black line: Control Antigen (100 ng);Purple line: Antigen(10ng);Blue line: Antigen (50 ng);Red line: Antigen (100 ng);
- Submitted by
- LSBio (provider)
- Main image

- Experimental details
- Black line: Control Antigen (100 ng);Purple line: Antigen(10ng);Blue line: Antigen (50 ng);Red line: Antigen (100 ng);
- Submitted by
- LSBio (provider)
- Main image

- Experimental details
- Black line: Control Antigen (100 ng);Purple line: Antigen(10ng);Blue line: Antigen (50 ng);Red line: Antigen (100 ng);
Supportive validation
- Submitted by
- LSBio (provider)
- Enhanced method
- Genetic validation
- Main image

- Experimental details
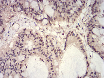
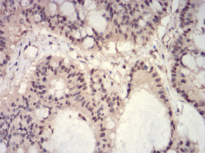
- Immunohistochemical analysis of paraffin-embedded colon cancer tissues using HIST2H3C(27Ac) mouse mAb with DAB staining.
- Submitted by
- LSBio (provider)
- Enhanced method
- Genetic validation
- Main image

- Experimental details
- Immunohistochemical analysis of paraffin-embedded breast cancer tissues using HIST2H3C(27Ac) mouse mAb with DAB staining.
- Submitted by
- LSBio (provider)
- Enhanced method
- Genetic validation
- Main image

- Experimental details
- Immunohistochemical analysis of paraffin-embedded colon cancer tissues using HIST2H3C(27Ac) mouse mAb with DAB staining.
- Submitted by
- LSBio (provider)
- Enhanced method
- Genetic validation
- Main image

- Experimental details
- Immunohistochemical analysis of paraffin-embedded colon cancer tissues using HIST2H3C(27Ac) mouse mAb with DAB staining.
- Submitted by
- LSBio (provider)
- Enhanced method
- Genetic validation
- Main image

- Experimental details
- Immunohistochemical analysis of paraffin-embedded breast cancer tissues using HIST2H3C(27Ac) mouse mAb with DAB staining.