ABIN1680261
antibody from antibodies-online
Targeting: H4C14
H4/n, H4F2, H4FN, HIST2H4, HIST2H4A
Antibody data
- Antibody Data
- Antigen structure
- References [0]
- Comments [0]
- Validations
- Western blot [2]
- Immunocytochemistry [1]
- Immunohistochemistry [4]
Submit
Validation data
Reference
Comment
Report error
- Product number
- ABIN1680261 - Provider product page

- Provider
- antibodies-online
- Product name
- anti-Histone H4 (2meArg3) antibody
- Antibody type
- Polyclonal
- Antigen
- Synthetic peptide
- Reactivity
- Human
- Host
- Rabbit
- Epitope
- 2meArg3
- Vial size
- 50 μg
No comments: Submit comment
Supportive validation
- Submitted by
- antibodies-online (provider)
- Main image

- Experimental details
- Image(s): Western Blotting
- Submitted by
- antibodies-online (provider)
- Main image

- Experimental details
- Image(s): Western Blotting
Supportive validation
- Submitted by
- antibodies-online (provider)
- Main image

- Experimental details
- Immunofluorescence analysis of 293T cell using H4R3me2a antibody. Blue: DAPI for nuclear staining.
Supportive validation
- Submitted by
- antibodies-online (provider)
- Main image

- Experimental details
- Image(s): Immunohistochemistry
- Submitted by
- antibodies-online (provider)
- Main image

- Experimental details
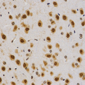
- Immunohistochemistry of paraffin-embedded rat brain tissue using H4R3me2a antibody at dilution of 1:200 (x400 lens)
- Submitted by
- antibodies-online (provider)
- Main image

- Experimental details
- Immunohistochemistry of paraffin-embedded rat kidney tissue using H4R3me2a antibody at dilution of 1:200 (x400 lens)
- Submitted by
- antibodies-online (provider)
- Main image

- Experimental details
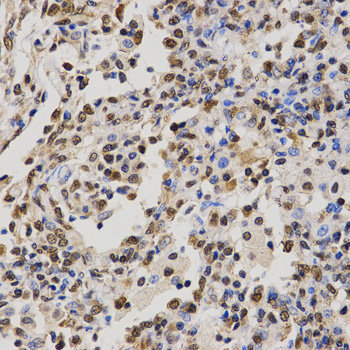
- Immunohistochemistry of paraffin-embedded human rectal cancer tissue using H4R3me2a antibody at dilution of 1:200 (x400 lens)