Antibody data
- Antibody Data
- Antigen structure
- References [0]
- Comments [0]
- Validations
- Western blot [1]
- Immunocytochemistry [1]
- Immunohistochemistry [3]
- Other assay [1]
Submit
Validation data
Reference
Comment
Report error
- Product number
- TA332513 - Provider product page

- Provider
- OriGene
- Product name
- Rabbit anti-Histone H4K20me2 Polyclonal Antibody
- Antibody type
- Polyclonal
- Description
- Rabbit anti-Histone H4K20me2 Polyclonal Antibody
- Host
- Rabbit
- Conjugate
- Unconjugated
- Epitope
- HIST2H4A
- Isotype
- IgG
- Antibody clone number
- NULL
- Vial size
- 100 µg
- Concentration
- 1mg/ml
No comments: Submit comment
Supportive validation
- Submitted by
- OriGene (provider)
- Main image

- Experimental details
- Western blot analysis of extracts of HeLa cell line and H4 protein expressed in E.coli., using H4K20me2 antibody.
- Validation comment
- WB
Supportive validation
- Submitted by
- OriGene (provider)
- Main image

- Experimental details
- Immunofluorescence analysis of 293T cell using H4K20me2 antibody. Blue: DAPI for nuclear staining.
- Validation comment
- IF
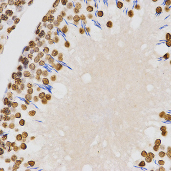
Supportive validation
- Submitted by
- OriGene (provider)
- Main image

- Experimental details
- Immunohistochemistry of paraffin-embedded rat testis tissue using H4K20me2 antibody at dilution of 1:200 (x400 lens).
- Validation comment
- IHC
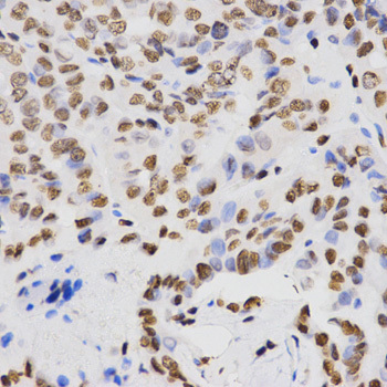
- Submitted by
- OriGene (provider)
- Main image

- Experimental details
- Immunohistochemistry of paraffin-embedded rat brain tissue using H4K20me2 antibody at dilution of 1:200 (x400 lens).
- Validation comment
- IHC
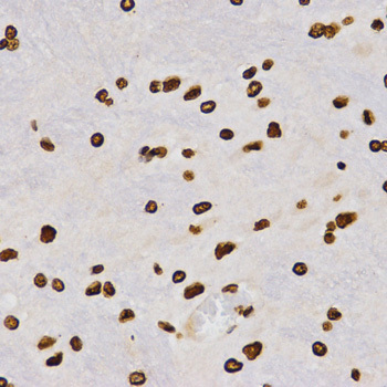
- Submitted by
- OriGene (provider)
- Main image

- Experimental details
- Immunohistochemistry of paraffin-embedded human thyroid cancer tissue using H4K20me2 antibody at dilution of 1:200 (x400 lens).
- Validation comment
- IHC
Supportive validation
- Submitted by
- OriGene (provider)
- Main image

- Experimental details
- Dot-blot analysis of all sorts of methylation peptides using H4K20me2 antibody.
- Validation comment
- DB