Antibody data
- Antibody Data
- Antigen structure
- References [0]
- Comments [0]
- Validations
- Western blot [1]
- Immunocytochemistry [1]
- Immunohistochemistry [4]
- Other assay [1]
Submit
Validation data
Reference
Comment
Report error
- Product number
- GTX54116 - Provider product page

- Provider
- GeneTex
- Product name
- Histone H4R3me2 (di-methyl Arg3) antibody
- Antibody type
- Polyclonal
- Reactivity
- Human, Rat
- Host
- Rabbit
No comments: Submit comment
Supportive validation
- Submitted by
- GeneTex (provider)
- Main image

- Experimental details
- WB analysis of HeLa lysate and H4 protein using Histone H4R3me2 (di-methyl Arg3) antibody.
- Validation comment
- WB
Supportive validation
- Submitted by
- GeneTex (provider)
- Main image

- Experimental details
- ICC/IF analysis of 293T cells using Histone H4R3me2 (di-methyl Arg3) antibody (red) and DAPI (blue).
Supportive validation
- Submitted by
- GeneTex (provider)
- Main image

- Experimental details
- IHC-P analysis of rat brain tissue using Histone H4R3me2 (di-methyl Arg3) antibody at a dilution of 1:200.
- Submitted by
- GeneTex (provider)
- Main image

- Experimental details
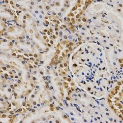
- IHC-P analysis of rat kidney tissue using Histone H4R3me2 (di-methyl Arg3) antibody at a dilution of 1:200.
- Submitted by
- GeneTex (provider)
- Main image

- Experimental details
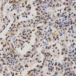
- IHC-P analysis of human lung cancer tissue using Histone H4R3me2 (di-methyl Arg3) antibody at a dilution of 1:200.
- Submitted by
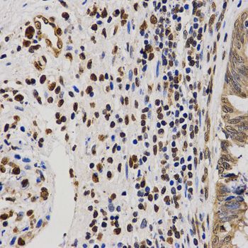
- GeneTex (provider)
- Main image

- Experimental details
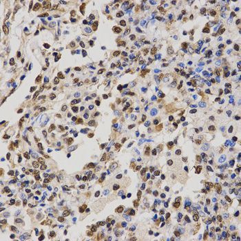
- IHC-P analysis of human rectal cancer tissue using Histone H4R3me2 (di-methyl Arg3) antibody at a dilution of 1:200.
Supportive validation
- Submitted by
- GeneTex (provider)
- Main image

- Experimental details
- Dot-blot analysis of all sorts of methylation peptides using Histone H4R3me2 (di-methyl Arg3) antibody.
- Validation comment
- Dot