Antibody data
- Antibody Data
- Antigen structure
- References [0]
- Comments [0]
- Validations
- Western blot [1]
- Immunocytochemistry [1]
- Immunohistochemistry [3]
- Other assay [1]
Submit
Validation data
Reference
Comment
Report error
- Product number
- ARG54775 - Provider product page

- Provider
- Arigo
- Product name
- anti-Histone H4 dimethyl (Lys20) antibody
- Antibody type
- Polyclonal
- Antigen
- Synthetic methylated peptide around Lys20 of Human histone H4 (NP_003539.1)
- Description
- Affinity purification with immunogen.
- Reactivity
- Human, Rat
- Host
- Rabbit
- Isotype
- IgG
- Vial size
- 100 µg
- Storage
- For continuous use, store undiluted antibody at 4°C for up to weeks. For long-term storage, aliquot and store at -20°C. Storage in frost free freezers is not recommended. Avoid repeated freeze/thaw cycles. The antibody solution should be gently mixed before use.
- Handling
- The antibody solution should be gently mixed before use.
No comments: Submit comment
Supportive validation
- Submitted by
- Arigo (provider)
- Main image

- Experimental details
- Western Blot: extracts of HeLa cell line and H4 protein expressed in E.coli. stained with ARG54775 anti-Histone H4 dimethyl (Lys20) antibody.
Supportive validation
- Submitted by
- Arigo (provider)
- Main image

- Experimental details
- Immunofluorescence: 293T cell stained with ARG54775 anti-Histone H4 dimethyl (Lys20) antibody. Blue: DAPI for nuclear staining.
Supportive validation
- Submitted by
- Arigo (provider)
- Main image

- Experimental details
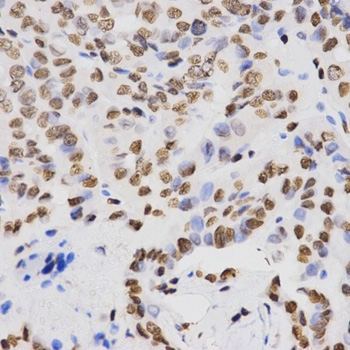
- Immunohistochemistry: paraffin-embedded rat testis tissue stained with ARG54775 anti-Histone H4 dimethyl (Lys20) antibody at 1:200 dilution.
- Submitted by
- Arigo (provider)
- Main image

- Experimental details
- Immunohistochemistry: paraffin-embedded rat brain tissue stained with ARG54775 anti-Histone H4 dimethyl (Lys20) antibody at 1:200 dilution.
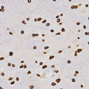
- Submitted by
- Arigo (provider)
- Main image

- Experimental details
- Immunohistochemistry: paraffin-embedded human thyroid cancer tissue stained with ARG54775 anti-Histone H4 dimethyl (Lys20) antibody at 1:200 dilution.
Supportive validation
- Submitted by
- Arigo (provider)
- Main image

- Experimental details
- Dot-blot: all sorts of methylated peptides stained with ARG54775 anti-Histone H4 dimethyl (Lys20) antibody.