22567
antibody from Signalway Antibody LLC
Targeting: PARP3
ADPRT3, ADPRTL3, ARTD3, hPARP-3, IRT1, pADPRT-3
Antibody data
- Antibody Data
- Antigen structure
- References [0]
- Comments [0]
- Validations
- Immunohistochemistry [1]
Submit
Validation data
Reference
Comment
Report error
- Product number
- 22567 - Provider product page

- Provider
- Signalway Antibody LLC
- Proper citation
- Signalway Cat#22567, RRID:AB_11123240
- Product name
- PARP3 antibody
- Antibody type
- Polyclonal
- Antigen
- Recombinant protein fragment contain a sequence corresponding to a region within amino acids 63 and 340 of PARP3
- Host
- Rabbit
- Conjugate
- Unconjugated
- Vial size
- 100µl
No comments: Submit comment
Supportive validation
- Submitted by
- Signalway Antibody LLC (provider)
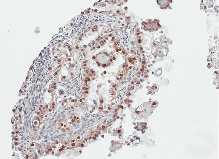
- Main image

- Experimental details
- Immunohistochemical analysis of paraffin-embedded OVCA, using PARP3 antibody at 1: 100 dilution.