Antibody data
- Antibody Data
- Antigen structure
- References [0]
- Comments [0]
- Validations
- Immunocytochemistry [2]
- Immunohistochemistry [3]
Submit
Validation data
Reference
Comment
Report error
- Product number
- PA5-64078 - Provider product page

- Provider
- Invitrogen Antibodies
- Product name
- CD164L2 Polyclonal Antibody
- Antibody type
- Polyclonal
- Antigen
- Recombinant protein fragment
- Description
- Immunogen sequence: VAFFVLHFLK AKDSTYQTLI Highest antigen sequence identity to the following orthologs: Mouse - 90%, Rat - 90%.
- Reactivity
- Human
- Host
- Rabbit
- Isotype
- IgG
- Vial size
- 100 μL
- Concentration
- 0.05 mg/mL
- Storage
- Store at 4°C short term. For long term storage, store at -20°C, avoiding freeze/thaw cycles.
No comments: Submit comment
Supportive validation
- Submitted by
- Invitrogen Antibodies (provider)
- Main image

- Experimental details
- Immunofluorescent staining of CD164L2 in human cell line hTCEpi using CD164L2 Polyclonal Antibody (Product # PA5-64078) shows localization to plasma membrane.
- Submitted by
- Invitrogen Antibodies (provider)
- Main image

- Experimental details
- Immunofluorescent staining of CD164L2 in human cell line hTCEpi using CD164L2 Polyclonal Antibody (Product # PA5-64078) shows localization to plasma membrane.
Supportive validation
- Submitted by
- Invitrogen Antibodies (provider)
- Main image

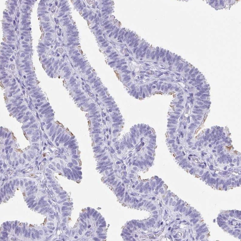
- Experimental details
- Immunohistochemical staining of CD164L2 in human fallopian tube and prostate tissues using CD164L2 Polyclonal Antibody (Product # PA5-64078). Corresponding CD164L2 RNA-seq data are presented for the same tissues.
- Submitted by
- Invitrogen Antibodies (provider)
- Main image

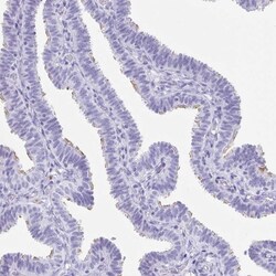
- Experimental details
- Immunohistochemical staining of CD164L2 in human fallopian tube using CD164L2 Polyclonal Antibody (Product # PA5-64078) shows high expression.
- Submitted by
- Invitrogen Antibodies (provider)
- Main image

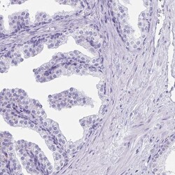
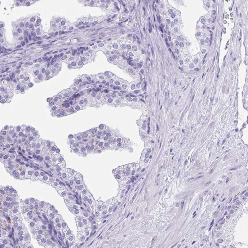
- Experimental details
- Immunohistochemical staining of CD164L2 in human prostate using CD164L2 Polyclonal Antibody (Product # PA5-64078) shows low expression as expected.