Antibody data
- Antibody Data
- Antigen structure
- References [21]
- Comments [0]
- Validations
- Immunohistochemistry [6]
Submit
Validation data
Reference
Comment
Report error
- Product number
- NB110-89719 - Provider product page

- Provider
- Novus Biologicals
- Proper citation
- Novus Cat#NB110-89719, RRID:AB_1217078
- Product name
- Rabbit Polyclonal Ki67/MKI67 Antibody
- Antibody type
- Polyclonal
- Description
- Immunogen affinity purified.
- Reactivity
- Human, Mouse, Rat
- Host
- Rabbit
- Isotype
- IgG
- Vial size
- 0.1 ml
- Concentration
- 1 mg/ml
- Storage
- Store at 4C. Do not freeze.
Submitted references TRPM5-expressing Microvillous Cells Regulate Region-specific Cell Proliferation and Apoptosis During Chemical Exposure.
Regulation of DNA methylation levels in the process of oral mucosal regeneration in a rat oral ulcer model.
CD2 is a surface marker for mouse and rat spermatogonial stem cells.
Sequential Maturation of Olfactory Sensory Neurons in the Mature Olfactory Epithelium.
A truncating mutation in the autophagy gene UVRAG drives inflammation and tumorigenesis in mice.
Mesenchymal Stem Cell Homing Into Intervertebral Discs Enhances the Tie2-positive Progenitor Cell Population, Prevents Cell Death, and Induces a Proliferative Response.
Powerful Homeostatic Control of Oligodendroglial Lineage by PDGFRα in Adult Brain.
A Novel Strategy to Prevent Advanced Atherosclerosis and Lower Blood Glucose in a Mouse Model of Metabolic Syndrome.
Transfer of a Mouse Artificial Chromosome into Spermatogonial Stem Cells Generates Transchromosomic Mice.
IL-23 induced in keratinocytes by endogenous TLR4 ligands polarizes dendritic cells to drive IL-22 responses to skin immunization.
Apolipoprotein A-I inhibits experimental colitis and colitis-propelled carcinogenesis.
Prostate-specific G-protein-coupled receptor collaborates with loss of PTEN to promote prostate cancer progression.
UV-blocking spectacle lens protects against UV-induced decline of visual performance.
Saireito (TJ-114), a Japanese traditional herbal medicine, reduces 5-fluorouracil-induced intestinal mucositis in mice by inhibiting cytokine-mediated apoptosis in intestinal crypt cells.
ACTH controls thymocyte homeostasis independent of glucocorticoids.
Truncating mutation in the autophagy gene UVRAG confers oncogenic properties and chemosensitivity in colorectal cancers.
Inhibition of TGFβ signaling increases direct conversion of fibroblasts to induced cardiomyocytes.
PSGR promotes prostatic intraepithelial neoplasia and prostate cancer xenograft growth through NF-κB.
Assessment of ultraviolet B-blocking effects of weekly disposable contact lenses on corneal surface in a mouse model.
Age-dependent regional changes in the rostral migratory stream.
Lung tumor growth-promoting function of peroxiredoxin 6.
Lemons K, Fu Z, Ogura T, Lin W
Neuroscience 2020 May 10;434:171-190
Neuroscience 2020 May 10;434:171-190
Regulation of DNA methylation levels in the process of oral mucosal regeneration in a rat oral ulcer model.
Akiyama N, Yamamoto-Fukuda T, Yoshikawa M, Kojima H
Histology and histopathology 2020 Mar;35(3):247-256
Histology and histopathology 2020 Mar;35(3):247-256
CD2 is a surface marker for mouse and rat spermatogonial stem cells.
Kanatsu-Shinohara M, Chen G, Morimoto H, Shinohara T
The Journal of reproduction and development 2020 Aug 20;66(4):341-349
The Journal of reproduction and development 2020 Aug 20;66(4):341-349
Sequential Maturation of Olfactory Sensory Neurons in the Mature Olfactory Epithelium.
Liberia T, Martin-Lopez E, Meller SJ, Greer CA
eNeuro 2019 Sep Oct;6(5)
eNeuro 2019 Sep Oct;6(5)
A truncating mutation in the autophagy gene UVRAG drives inflammation and tumorigenesis in mice.
Quach C, Song Y, Guo H, Li S, Maazi H, Fung M, Sands N, O'Connell D, Restrepo-Vassalli S, Chai B, Nemecio D, Punj V, Akbari O, Idos GE, Mumenthaler SM, Wu N, Martin SE, Hagiya A, Hicks J, Cui H, Liang C
Nature communications 2019 Dec 12;10(1):5681
Nature communications 2019 Dec 12;10(1):5681
Mesenchymal Stem Cell Homing Into Intervertebral Discs Enhances the Tie2-positive Progenitor Cell Population, Prevents Cell Death, and Induces a Proliferative Response.
Wangler S, Peroglio M, Menzel U, Benneker LM, Haglund L, Sakai D, Alini M, Grad S
Spine 2019 Dec 1;44(23):1613-1622
Spine 2019 Dec 1;44(23):1613-1622
Powerful Homeostatic Control of Oligodendroglial Lineage by PDGFRα in Adult Brain.
Đặng TC, Ishii Y, Nguyen V, Yamamoto S, Hamashima T, Okuno N, Nguyen QL, Sang Y, Ohkawa N, Saitoh Y, Shehata M, Takakura N, Fujimori T, Inokuchi K, Mori H, Andrae J, Betsholtz C, Sasahara M
Cell reports 2019 Apr 23;27(4):1073-1089.e5
Cell reports 2019 Apr 23;27(4):1073-1089.e5
A Novel Strategy to Prevent Advanced Atherosclerosis and Lower Blood Glucose in a Mouse Model of Metabolic Syndrome.
Kanter JE, Kramer F, Barnhart S, Duggan JM, Shimizu-Albergine M, Kothari V, Chait A, Bouman SD, Hamerman JA, Hansen BF, Olsen GS, Bornfeldt KE
Diabetes 2018 May;67(5):946-959
Diabetes 2018 May;67(5):946-959
Transfer of a Mouse Artificial Chromosome into Spermatogonial Stem Cells Generates Transchromosomic Mice.
Shinohara T, Kazuki K, Ogonuki N, Morimoto H, Matoba S, Hiramatsu K, Honma K, Suzuki T, Hara T, Ogura A, Oshimura M, Kanatsu-Shinohara M, Kazuki Y
Stem cell reports 2017 Oct 10;9(4):1180-1191
Stem cell reports 2017 Oct 10;9(4):1180-1191
IL-23 induced in keratinocytes by endogenous TLR4 ligands polarizes dendritic cells to drive IL-22 responses to skin immunization.
Yoon J, Leyva-Castillo JM, Wang G, Galand C, Oyoshi MK, Kumar L, Hoff S, He R, Chervonsky A, Oppenheim JJ, Kuchroo VK, van den Brink MR, Malefyt Rde W, Tessier PA, Fuhlbrigge R, Rosenstiel P, Terhorst C, Murphy G, Geha RS
The Journal of experimental medicine 2016 Sep 19;213(10):2147-66
The Journal of experimental medicine 2016 Sep 19;213(10):2147-66
Apolipoprotein A-I inhibits experimental colitis and colitis-propelled carcinogenesis.
Gkouskou KK, Ioannou M, Pavlopoulos GA, Georgila K, Siganou A, Nikolaidis G, Kanellis DC, Moore S, Papadakis KA, Kardassis D, Iliopoulos I, McDyer FA, Drakos E, Eliopoulos AG
Oncogene 2016 May 12;35(19):2496-505
Oncogene 2016 May 12;35(19):2496-505
Prostate-specific G-protein-coupled receptor collaborates with loss of PTEN to promote prostate cancer progression.
Rodriguez M, Siwko S, Zeng L, Li J, Yi Z, Liu M
Oncogene 2016 Mar 3;35(9):1153-62
Oncogene 2016 Mar 3;35(9):1153-62
UV-blocking spectacle lens protects against UV-induced decline of visual performance.
Liou JC, Teng MC, Tsai YS, Lin EC, Chen BY
Molecular vision 2015;21:846-56
Molecular vision 2015;21:846-56
Saireito (TJ-114), a Japanese traditional herbal medicine, reduces 5-fluorouracil-induced intestinal mucositis in mice by inhibiting cytokine-mediated apoptosis in intestinal crypt cells.
Kato S, Hayashi S, Kitahara Y, Nagasawa K, Aono H, Shibata J, Utsumi D, Amagase K, Kadowaki M
PloS one 2015;10(1):e0116213
PloS one 2015;10(1):e0116213
ACTH controls thymocyte homeostasis independent of glucocorticoids.
Talaber G, Tuckermann JP, Okret S
FASEB journal : official publication of the Federation of American Societies for Experimental Biology 2015 Jun;29(6):2526-34
FASEB journal : official publication of the Federation of American Societies for Experimental Biology 2015 Jun;29(6):2526-34
Truncating mutation in the autophagy gene UVRAG confers oncogenic properties and chemosensitivity in colorectal cancers.
He S, Zhao Z, Yang Y, O'Connell D, Zhang X, Oh S, Ma B, Lee JH, Zhang T, Varghese B, Yip J, Dolatshahi Pirooz S, Li M, Zhang Y, Li GM, Ellen Martin S, Machida K, Liang C
Nature communications 2015 Aug 3;6:7839
Nature communications 2015 Aug 3;6:7839
Inhibition of TGFβ signaling increases direct conversion of fibroblasts to induced cardiomyocytes.
Ifkovits JL, Addis RC, Epstein JA, Gearhart JD
PloS one 2014;9(2):e89678
PloS one 2014;9(2):e89678
PSGR promotes prostatic intraepithelial neoplasia and prostate cancer xenograft growth through NF-κB.
Rodriguez M, Luo W, Weng J, Zeng L, Yi Z, Siwko S, Liu M
Oncogenesis 2014 Aug 11;3(8):e114
Oncogenesis 2014 Aug 11;3(8):e114
Assessment of ultraviolet B-blocking effects of weekly disposable contact lenses on corneal surface in a mouse model.
Lin DP, Chang HH, Yang LC, Huang TP, Liu HJ, Chang LS, Lin CH, Chen BY
Molecular vision 2013;19:1158-68
Molecular vision 2013;19:1158-68
Age-dependent regional changes in the rostral migratory stream.
Mobley AS, Bryant AK, Richard MB, Brann JH, Firestein SJ, Greer CA
Neurobiology of aging 2013 Jul;34(7):1873-81
Neurobiology of aging 2013 Jul;34(7):1873-81
Lung tumor growth-promoting function of peroxiredoxin 6.
Jo M, Yun HM, Park KR, Hee Park M, Myoung Kim T, Ho Pak J, Jae Lee S, Moon DC, Park CW, Song S, Lee CK, Bae Han S, Tae Hong J
Free radical biology & medicine 2013 Aug;61:453-63
Free radical biology & medicine 2013 Aug;61:453-63
No comments: Submit comment
Supportive validation
- Submitted by
- Novus Biologicals (provider)
- Main image

- Experimental details
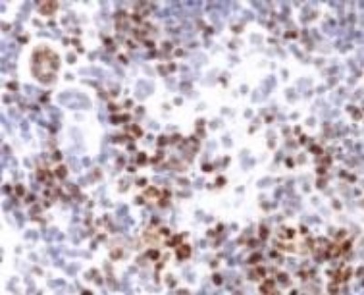
- Immunohistochemistry: Ki67/MKI67 Antibody [NB110-89719] - Immunohistochemical analysis of mouse spleen.
- Submitted by
- Novus Biologicals (provider)
- Main image

- Experimental details
- Immunohistochemistry: Ki67/MKI67 Antibody [NB110-89719] - Detection of Ki67 in formalin-fixed paraffin embedded mouse intestine using NB110-89719.
- Submitted by
- Novus Biologicals (provider)
- Main image

- Experimental details
- Immunohistochemistry-Paraffin: Ki67/MKI67 Antibody [NB110-89719] - Effect of saireito on the suppression of cell proliferation induced by 5-fluorouracil (5-FU) in mouse small intestines. 5-FU (50 mg/kg) was injected i.p. while saireito (1000 mg/kg) was administered p.o. twice, 30 min before and 8 h after 5-FU injection. The jejunum was excised, sectioned, and Ki67 immunostaining was performed. Image collected and cropped by CiteAb from the following publication (http://dx.plos.org/10.1371/journal.pone.0116213), licensed under a CC-BY licence.
- Submitted by
- Novus Biologicals (provider)
- Main image

- Experimental details
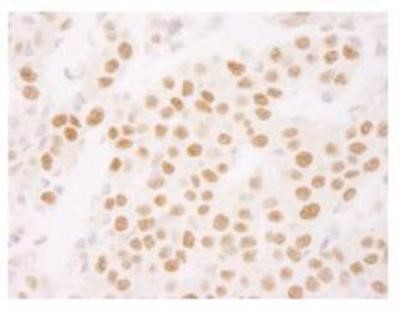
- Immunohistochemistry-Paraffin: Ki67/MKI67 Antibody [NB110-89719] - FFPE section of human breast carcinoma. Antibody: Affinity purified rabbit anti-Ki-67 (NB110-89719) used at a dilution of 1:250.
- Submitted by
- Novus Biologicals (provider)
- Main image

- Experimental details
- Immunohistochemistry-Paraffin: Ki67/MKI67 Antibody [NB110-89719] - IHC analysis of Ki67 in mouse cornea. Image courtesy of product review by Bo-Yie Chen.
- Submitted by
- Novus Biologicals (provider)
- Main image

- Experimental details
- Immunohistochemistry-Paraffin: Ki67/MKI67 Antibody [NB110-89719] - IHC analysis of a formalin fixed paraffin embedded tissue section of mouse intestine using 1:200 dilution of rabbit anti-KI67 antibody. The staining was developed with HRP labeled anti-rabbit IgG secondary antibody and DAB reagent, and nuclei of cells were counter-stained with hematoxylin. This antibody generated a specific nuclear staining in epithelial cells and the staining was more intense in the cells close to the bases of crypts. Weak to moderate positivity was found at the cytoplasmic level also.