Antibody data
- Antibody Data
- Antigen structure
- References [0]
- Comments [0]
- Validations
- Immunocytochemistry [3]
- Immunohistochemistry [6]
Submit
Validation data
Reference
Comment
Report error
- Product number
- PA5-63319 - Provider product page

- Provider
- Invitrogen Antibodies
- Product name
- C17orf96 Polyclonal Antibody
- Antibody type
- Polyclonal
- Antigen
- Recombinant protein fragment
- Description
- Immunogen sequence: NCFPCPPALV VGEDGDLKPA SSLRLQGDSK Highest antigen sequence identity to the following orthologs: Mouse - 83%, Rat - 83%.
- Reactivity
- Human
- Host
- Rabbit
- Isotype
- IgG
- Vial size
- 100 μL
- Concentration
- 0.15 mg/mL
- Storage
- Store at 4°C short term. For long term storage, store at -20°C, avoiding freeze/thaw cycles.
No comments: Submit comment
Supportive validation
- Submitted by
- Invitrogen Antibodies (provider)
- Main image

- Experimental details
- Immunofluorescent staining of C17orf96 in human cell line Hep G2 shows positivity in cytoplasm & nucleus but excluded from the nucleoli. Samples were probed using a C17orf96 Polyclonal Antibody (Product # PA5-63319).
- Submitted by
- Invitrogen Antibodies (provider)
- Main image

- Experimental details
- Immunofluorescent staining of C17orf96 in human cell line Hep G2 using a C17orf96 Polyclonal Antibody (Product # PA5-63319) shows localization to nucleoplasm and cytosol.
- Submitted by
- Invitrogen Antibodies (provider)
- Main image

- Experimental details
- Immunofluorescent staining of C17orf96 in human cell line Hep G2 using a C17orf96 Polyclonal Antibody (Product # PA5-63319) shows localization to nucleoplasm and cytosol.
Supportive validation
- Submitted by
- Invitrogen Antibodies (provider)
- Main image

- Experimental details
- Immunohistochemical analysis of C17orf96 in human prostate using C17orf96 Polyclonal Antibody (Product # PA5-63319) shows no positivity in glandular cells as expected.
- Submitted by
- Invitrogen Antibodies (provider)
- Main image

- Experimental details
- Immunohistochemical analysis of C17orf96 in human skin using C17orf96 Polyclonal Antibody (Product # PA5-63319) shows moderate cytoplasmic positivity in squamous epithelial cells.
- Submitted by
- Invitrogen Antibodies (provider)
- Main image

- Experimental details
- Immunohistochemical staining of C17orf96 in human testis and liver tissues using C17orf96 Polyclonal Antibody (Product # PA5-63319). Corresponding EPOP RNA-seq data are presented for the same tissues.
- Submitted by
- Invitrogen Antibodies (provider)
- Main image

- Experimental details
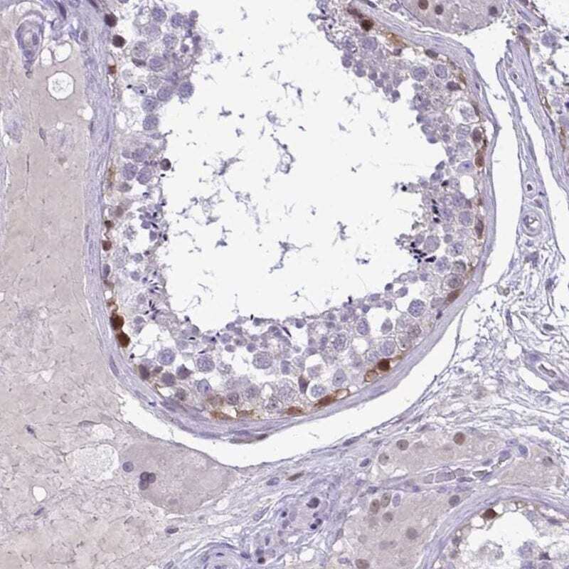
- Immunohistochemical staining of C17orf96 in human testis using C17orf96 Polyclonal Antibody (Product # PA5-63319) shows high expression.
- Submitted by
- Invitrogen Antibodies (provider)
- Main image

- Experimental details
- Immunohistochemical staining of C17orf96 in human liver using C17orf96 Polyclonal Antibody (Product # PA5-63319) shows low expression as expected.
- Submitted by
- Invitrogen Antibodies (provider)
- Main image

- Experimental details
- Immunohistochemical staining of C17orf96 in human testis using C17orf96 Polyclonal Antibody (Product # PA5-63319) shows high expression.