Antibody data
- Antibody Data
- Antigen structure
- References [0]
- Comments [0]
- Validations
- Immunocytochemistry [1]
- Immunohistochemistry [3]
Submit
Validation data
Reference
Comment
Report error
- Product number
- PA5-64237 - Provider product page

- Provider
- Invitrogen Antibodies
- Product name
- SMIM13 Polyclonal Antibody
- Antibody type
- Polyclonal
- Antigen
- Recombinant protein fragment
- Description
- Immunogen sequence: WHLFLSKFKF LRELVGDTGS QEGDHEPSGS ETEEDTSSSP HRIRSARQRR APADEGHRPL T Highest antigen sequence identity to the following orthologs: Mouse - 79%, Rat - 77%.
- Reactivity
- Human
- Host
- Rabbit
- Isotype
- IgG
- Vial size
- 100 μL
- Concentration
- 0.7 mg/mL
- Storage
- Store at 4°C short term. For long term storage, store at -20°C, avoiding freeze/thaw cycles.
No comments: Submit comment
Supportive validation
- Submitted by
- Invitrogen Antibodies (provider)
- Main image

- Experimental details
- Immunofluorescent staining of SMIM13 in human cell line U-2 OS using a SMIM13 Polyclonal Antibody (Product # PA5-64237) shows localization to nucleus, nuclear membrane and the Golgi apparatus.
Supportive validation
- Submitted by
- Invitrogen Antibodies (provider)
- Main image

- Experimental details
- Immunohistochemical analysis of SMIM13 in human cerebral cortex using SMIM13 Polyclonal Antibody (Product # PA5-64237) shows high expression.
- Submitted by
- Invitrogen Antibodies (provider)
- Main image

- Experimental details
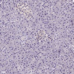
- Immunohistochemical staining of SMIM13 in human cerebral cortex and pancreas tissues using SMIM13 Polyclonal Antibody (Product # PA5-64237). Corresponding SMIM13 RNA-seq data are presented for the same tissues.
- Submitted by
- Invitrogen Antibodies (provider)
- Main image

- Experimental details
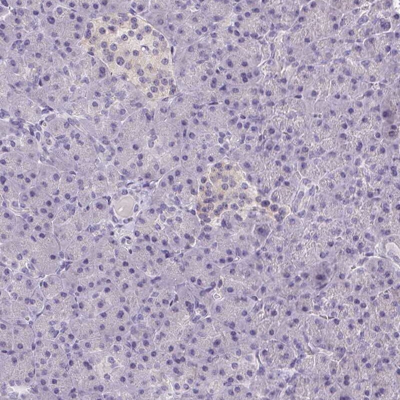
- Immunohistochemical staining of SMIM13 in human pancreas using SMIM13 Polyclonal Antibody (Product # PA5-64237) shows low expression as expected.