Antibody data
- Antibody Data
- Antigen structure
- References [0]
- Comments [0]
- Validations
- Western blot [1]
- Immunohistochemistry [12]
- Flow cytometry [1]
Submit
Validation data
Reference
Comment
Report error
- Product number
- NBP2-01432 - Provider product page

- Provider
- Novus Biologicals
- Product name
- Mouse Monoclonal NUDT18 Antibody
- Antibody type
- Monoclonal
- Description
- Affinity purified.
- Reactivity
- Human
- Host
- Mouse
- Isotype
- IgG
- Vial size
- 0.1 ml
- Concentration
- 0.55 mg/ml
- Storage
- Store at -20C. Avoid freeze-thaw cycles.
No comments: Submit comment
Supportive validation
- Submitted by
- Novus Biologicals (provider)
- Main image

- Experimental details
- Western Blot: NUDT18 Antibody (5D7) [NBP2-01432] - HEK293T cells were transfected with the pCMV6-ENTRY control (Left lane) or pCMV6-ENTRY NUDT18 (Right lane) cDNA for 48 hrs and lysed. Equivalent amounts of cell lysates (5 ug per lane) were separated by SDS-PAGE and immunoblotted with anti-NUDT18.
Supportive validation
- Submitted by
- Novus Biologicals (provider)
- Main image

- Experimental details
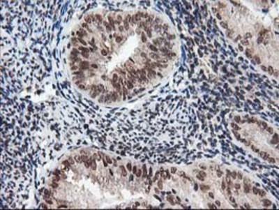
- Immunohistochemistry-Paraffin: NUDT18 Antibody (5D7) [NBP2-01432] - Staining of paraffin-embedded Adenocarcinoma of Human endometrium tissue using anti-NUDT18 mouse monoclonal antibody.
- Submitted by
- Novus Biologicals (provider)
- Main image

- Experimental details
- Immunohistochemistry-Paraffin: NUDT18 Antibody (5D7) [NBP2-01432] - Staining of paraffin-embedded Carcinoma of Human bladder tissue using anti-NUDT18 mouse monoclonal antibody.
- Submitted by
- Novus Biologicals (provider)
- Main image

- Experimental details
- Immunohistochemistry-Paraffin: NUDT18 Antibody (5D7) [NBP2-01432] - Staining of paraffin-embedded Carcinoma of Human kidney tissue using anti-NUDT18 mouse monoclonal antibody.
- Submitted by
- Novus Biologicals (provider)
- Main image

- Experimental details
- Immunohistochemistry-Paraffin: NUDT18 Antibody (5D7) [NBP2-01432] - Staining of paraffin-embedded Human endometrium tissue using anti-NUDT18 mouse monoclonal antibody.
- Submitted by
- Novus Biologicals (provider)
- Main image

- Experimental details
- Immunohistochemistry-Paraffin: NUDT18 Antibody (5D7) [NBP2-01432] - Staining of paraffin-embedded Human lymphoma tissue using anti-NUDT18 mouse monoclonal antibody.
- Submitted by
- Novus Biologicals (provider)
- Main image

- Experimental details
- Immunohistochemistry-Paraffin: NUDT18 Antibody (5D7) [NBP2-01432] - Staining of paraffin-embedded Human thyroid tissue using anti-NUDT18 mouse monoclonal antibody.
- Submitted by
- Novus Biologicals (provider)
- Main image

- Experimental details
- Immunohistochemistry-Paraffin: NUDT18 Antibody (OTI5D7) [NBP2-01432] - Staining of paraffin-embedded Carcinoma of Human thyroid tissue using anti-NUDT18 mouse monoclonal antibody. Heat-induced epitope retrieval by 10mM citric buffer, pH6.0, 100C for 10min.
- Submitted by
- Novus Biologicals (provider)
- Main image

- Experimental details
- Immunohistochemistry-Paraffin: NUDT18 Antibody (OTI5D7) [NBP2-01432] - Staining of paraffin-embedded Human prostate tissue within the normal limits using anti-NUDT18 mouse monoclonal antibody. Heat-induced epitope retrieval by 10mM citric buffer, pH6.0, 100C for 10min.
- Submitted by
- Novus Biologicals (provider)
- Main image

- Experimental details
- Immunohistochemistry-Paraffin: NUDT18 Antibody (OTI5D7) [NBP2-01432] - Staining of paraffin-embedded Human tonsil within the normal limits using anti-NUDT18 mouse monoclonal antibody. Heat-induced epitope retrieval by 10mM citric buffer, pH6.0, 100C for 10min.
- Submitted by
- Novus Biologicals (provider)
- Main image

- Experimental details
- Immunohistochemistry-Paraffin: NUDT18 Antibody (OTI5D7) [NBP2-01432] - Staining of paraffin-embedded Human Kidney tissue within the normal limits using anti-NUDT18 mouse monoclonal antibody. Heat-induced epitope retrieval by 10mM citric buffer, pH6.0, 100C for 10min.
- Submitted by
- Novus Biologicals (provider)
- Main image

- Experimental details
- Immunohistochemistry-Paraffin: NUDT18 Antibody (OTI5D7) [NBP2-01432] - Staining of paraffin-embedded Adenocarcinoma of Human ovary tissue using anti-NUDT18 mouse monoclonal antibody. Heat-induced epitope retrieval by 10mM citric buffer, pH6.0, 100C for 10min.
- Submitted by
- Novus Biologicals (provider)
- Main image

- Experimental details
- Immunohistochemistry-Paraffin: NUDT18 Antibody (OTI5D7) [NBP2-01432] - Staining of paraffin-embedded Human pancreas tissue within the normal limits using anti-NUDT18 mouse monoclonal antibody. Heat-induced epitope retrieval by 10mM citric buffer, pH6.0, 100C for 10min.
Supportive validation
- Submitted by
- Novus Biologicals (provider)
- Main image

- Experimental details
- Flow Cytometry: NUDT18 Antibody (5D7) [NBP2-01432] - HEK293T cells transfected with either overexpression plasmid (Red) or empty vector control plasmid (Blue) were immunostained by anti-NUDT18 antibody, and then analyzed by flow cytometry.