Antibody data
- Antibody Data
- Antigen structure
- References [0]
- Comments [0]
- Validations
- Western blot [1]
- Immunocytochemistry [2]
- Immunohistochemistry [4]
Submit
Validation data
Reference
Comment
Report error
- Product number
- PA5-113288 - Provider product page

- Provider
- Invitrogen Antibodies
- Product name
- PQLC3 Polyclonal Antibody
- Antibody type
- Polyclonal
- Antigen
- Recombinant full-length protein
- Reactivity
- Human, Mouse
- Host
- Rabbit
- Isotype
- IgG
- Vial size
- 100 μg
- Concentration
- 1.5 mg/mL
- Storage
- -20°C or -80°C if preferred
No comments: Submit comment
Supportive validation
- Submitted by
- Invitrogen Antibodies (provider)
- Main image

- Experimental details
- Western Blot analysis of PQLC3 in mouse liver tissue using a PQLC3 polyclonal antibody (Product # PA5-113288) at a concentration of 3 µg/ml. A goat anti rabbit polyclonal secondary antibody was used at a dilution of 1:10,000.
Supportive validation
- Submitted by
- Invitrogen Antibodies (provider)
- Main image

- Experimental details
- Immunocytochemichal analysis of PQLC3 in LO2 cells using a Polyclonal antibody (Product # PA5-113288) at a dilution of 1:100. An Alexa Fluor 488-congugated Goat Anti-Rabbit IgG(H+L) secondary antibdoy was used.
- Submitted by
- Invitrogen Antibodies (provider)
- Main image

- Experimental details
- Immunocytochemichal analysis of PQLC3 in LO2 cells using a Polyclonal antibody (Product # PA5-113288) at a dilution of 1:100. An Alexa Fluor 488-congugated Goat Anti-Rabbit IgG(H+L) secondary antibdoy was used.
Supportive validation
- Submitted by
- Invitrogen Antibodies (provider)
- Main image

- Experimental details
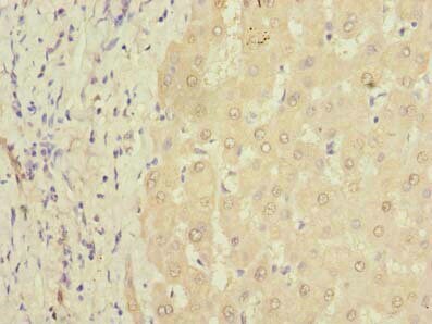
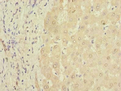
- Immunocytochemical analysis of paraffin-embeded PQLC3 in human liver tissue using a PQLC3 Polyclonal antibody (Product # PA5-113288) at a dilution of 1:100.
- Submitted by
- Invitrogen Antibodies (provider)
- Main image

- Experimental details
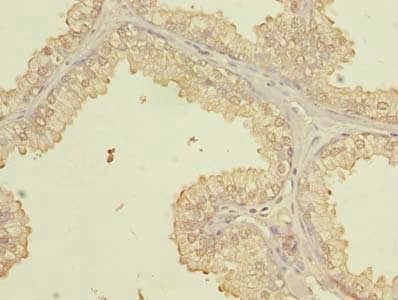
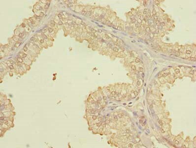
- Immunocytochemical analysis of paraffin-embeded PQLC3 in human prostate cancer using a PQLC3 Polyclonal antibody (Product # PA5-113288) at a dilution of 1:100.
- Submitted by
- Invitrogen Antibodies (provider)
- Main image

- Experimental details
- Immunocytochemical analysis of paraffin-embeded PQLC3 in human liver tissue using a PQLC3 Polyclonal antibody (Product # PA5-113288) at a dilution of 1:100.
- Submitted by
- Invitrogen Antibodies (provider)
- Main image

- Experimental details
- Immunocytochemical analysis of paraffin-embeded PQLC3 in human prostate cancer using a PQLC3 Polyclonal antibody (Product # PA5-113288) at a dilution of 1:100.