Antibody data
- Antibody Data
- Antigen structure
- References [0]
- Comments [0]
- Validations
- Immunocytochemistry [3]
- Immunohistochemistry [1]
Submit
Validation data
Reference
Comment
Report error
- Product number
- PA5-57061 - Provider product page

- Provider
- Invitrogen Antibodies
- Product name
- ZNF8 Polyclonal Antibody
- Antibody type
- Polyclonal
- Antigen
- Recombinant protein fragment
- Description
- Immunogen sequence: LKEAPVQDQG YKTLRLRENC VLSSSPNPFP EISRGEYLYT YDSQITDSEH NSSLVSQQTG SPGKQPGENS DCHRDSSQAI PITELTK Highest antigen sequence identity to the following orthologs: Mouse - 48%, Rat - 55%.
- Reactivity
- Human
- Host
- Rabbit
- Isotype
- IgG
- Vial size
- 100 μL
- Concentration
- 0.3 mg/mL
- Storage
- Store at 4°C short term. For long term storage, store at -20°C, avoiding freeze/thaw cycles.
No comments: Submit comment
Supportive validation
- Submitted by
- Invitrogen Antibodies (provider)
- Main image

- Experimental details
- Immunofluorescent staining of ZNF8 in human cell line A-431 shows positivity in nucleus but excluded from the nucleoli. Samples were probed using a ZNF8 Polyclonal Antibody (Product # PA5-57061).
- Submitted by
- Invitrogen Antibodies (provider)
- Main image

- Experimental details
- Immunofluorescent staining of ZNF8 in human cell line A-431 using a ZNF8 Polyclonal Antibody (Product # PA5-57061) shows localization to nucleoplasm and nuclear bodies.
- Submitted by
- Invitrogen Antibodies (provider)
- Main image

- Experimental details
- Immunofluorescent staining of ZNF8 in human cell line A-431 using a ZNF8 Polyclonal Antibody (Product # PA5-57061) shows localization to nucleoplasm and nuclear bodies.
Supportive validation
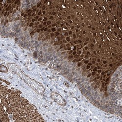
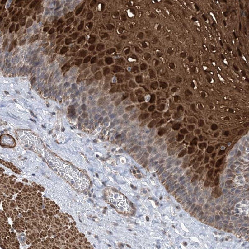
- Submitted by
- Invitrogen Antibodies (provider)
- Main image

- Experimental details
- Immunohistochemical analysis of ZNF8 in human esophagus using ZNF8 Polyclonal Antibody (Product # PA5-57061) shows strong nuclear and cytoplasmic positivity in superficial cells of squamous epithelia.