Antibody data
- Antibody Data
- Antigen structure
- References [0]
- Comments [0]
- Validations
- Immunocytochemistry [1]
- Immunohistochemistry [3]
Submit
Validation data
Reference
Comment
Report error
- Product number
- PA5-64082 - Provider product page

- Provider
- Invitrogen Antibodies
- Product name
- CWC25 Polyclonal Antibody
- Antibody type
- Polyclonal
- Antigen
- Recombinant protein fragment
- Description
- Immunogen sequence: RHAPGYTRKL SAEELERKRQ EMMENAKWRE EERLNILKRH AKDEEREQRL EKLDSRDGKF IHRMKLESAS TSSLEDRVKR NIYSLQRTSV ALEKNF Highest antigen sequence identity to the following orthologs: Mouse - 90%, Rat - 90%.
- Reactivity
- Human
- Host
- Rabbit
- Isotype
- IgG
- Vial size
- 100 μL
- Concentration
- 0.4 mg/mL
- Storage
- Store at 4°C short term. For long term storage, store at -20°C, avoiding freeze/thaw cycles.
No comments: Submit comment
Supportive validation
- Submitted by
- Invitrogen Antibodies (provider)
- Main image

- Experimental details
- Immunofluorecent analysis of CWC25 in human cell line HEK 293 using CWC25 Polyclonal Antibody (Product # PA5-64082). Staining shows localization to nuclear speckles.
Supportive validation
- Submitted by
- Invitrogen Antibodies (provider)
- Main image

- Experimental details
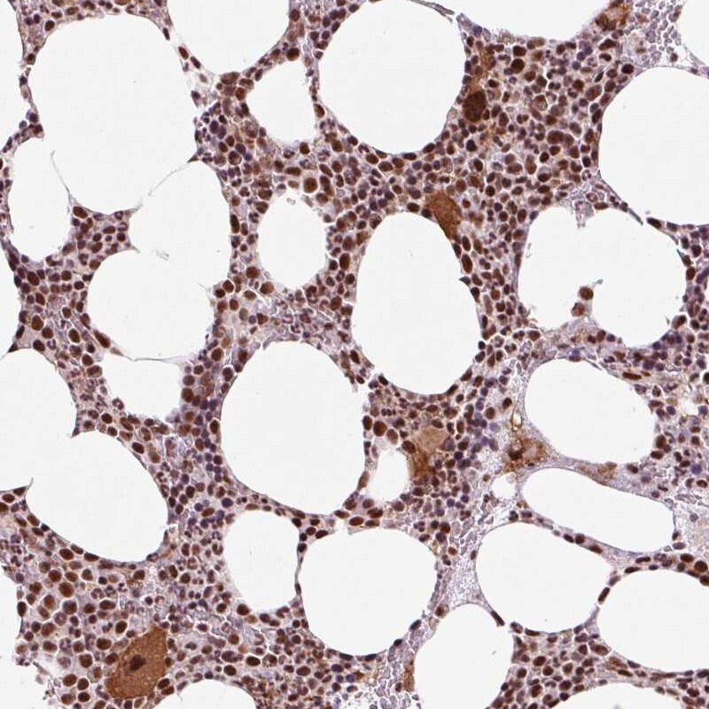
- Immunohistochemical staining of CWC25 in human bone marrow using CWC25 Polyclonal Antibody (Product # PA5-64082) shows high expression.
- Submitted by
- Invitrogen Antibodies (provider)
- Main image

- Experimental details
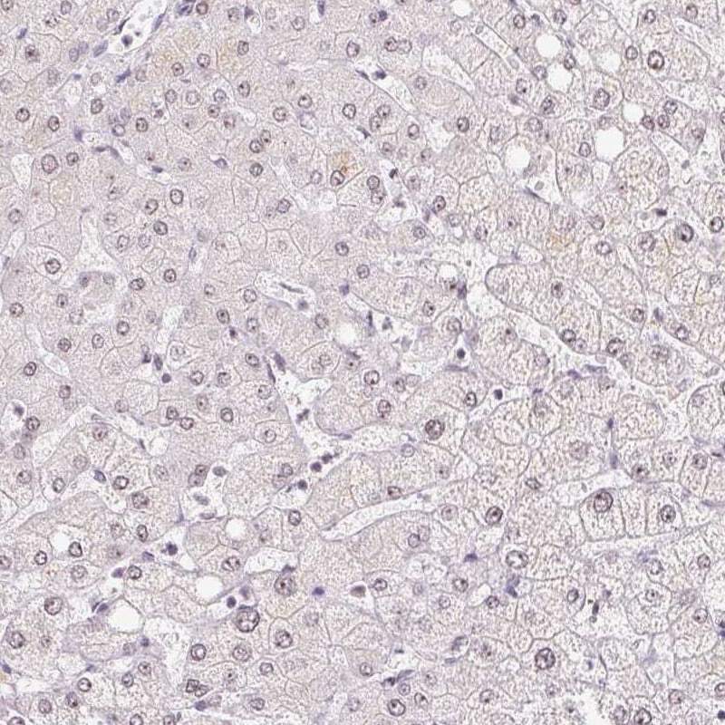
- Immunohistochemical staining of CWC25 in human liver using CWC25 Polyclonal Antibody (Product # PA5-64082) shows low expression as expected.
- Submitted by
- Invitrogen Antibodies (provider)
- Main image

- Experimental details
- Immunohistochemical staining of CWC25 in human bone marrow and liver tissues using CWC25 Polyclonal Antibody (Product # PA5-64082). Corresponding CWC25 RNA-seq data are presented for the same tissues.