Antibody data
- Antibody Data
- Antigen structure
- References [3]
- Comments [0]
- Validations
- Western blot [3]
- Immunohistochemistry [4]
Submit
Validation data
Reference
Comment
Report error
- Product number
- NBP1-93968 - Provider product page

- Provider
- Novus Biologicals
- Proper citation
- Novus Cat#NBP1-93968, RRID:AB_11038896
- Product name
- Rabbit Polyclonal STX17 Antibody
- Antibody type
- Polyclonal
- Description
- Immunogen affinity purified. Specificity of human STX17 antibody verified on a Protein Array containing target protein plus 383 other non-specific proteins.
- Reactivity
- Human, Mouse
- Host
- Rabbit
- Isotype
- IgG
- Vial size
- 0.1 ml
- Storage
- Store at 4C short term. Aliquot and store at -20C long term. Avoid freeze-thaw cycles.
Submitted references Standard Immunohistochemical Assays to Assess Autophagy in Mammalian Tissue.
ATG14 promotes membrane tethering and fusion of autophagosomes to endolysosomes.
The HOPS complex mediates autophagosome-lysosome fusion through interaction with syntaxin 17.
Martinet W, Roth L, De Meyer GRY
Cells 2017 Jun 30;6(3)
Cells 2017 Jun 30;6(3)
ATG14 promotes membrane tethering and fusion of autophagosomes to endolysosomes.
Diao J, Liu R, Rong Y, Zhao M, Zhang J, Lai Y, Zhou Q, Wilz LM, Li J, Vivona S, Pfuetzner RA, Brunger AT, Zhong Q
Nature 2015 Apr 23;520(7548):563-6
Nature 2015 Apr 23;520(7548):563-6
The HOPS complex mediates autophagosome-lysosome fusion through interaction with syntaxin 17.
Jiang P, Nishimura T, Sakamaki Y, Itakura E, Hatta T, Natsume T, Mizushima N
Molecular biology of the cell 2014 Apr;25(8):1327-37
Molecular biology of the cell 2014 Apr;25(8):1327-37
No comments: Submit comment
Supportive validation
- Submitted by
- Novus Biologicals (provider)
- Main image

- Experimental details
- Simple Western: STX17 Antibody [NBP1-93968] - Simple Western lane view shows a specific band for STX17 in 0.2 mg/ml of RT-4 (left) and U-251MG sp (right) lysate. This experiment was performed under reducing conditions using the 12-230 kDa separation system.
- Submitted by
- Novus Biologicals (provider)
- Main image

- Experimental details
- Simple Western: STX17 Antibody [NBP1-93968] - Electropherogram image(s) of corresponding Simple Western lane view. STX17 antibody was used at 1:30 dilution on RT-4 and U-251MG sp lysates(s).
- Submitted by
- Novus Biologicals (provider)
- Main image

- Experimental details
- Western Blot: STX17 Antibody [NBP1-93968] - Analysis in A-431 cells transfected with control siRNA, target specific siRNA probe #1 and #2, using Anti-STX17 antibody. Remaining relative intensity is presented. Loading control: Anti-PPIB.
Supportive validation
- Submitted by
- Novus Biologicals (provider)
- Main image

- Experimental details
- Immunohistochemistry-Paraffin: STX17 Antibody [NBP1-93968] - Immunohistochemical staining of human endometrium shows strong cytoplasmic positivity in glandular cells.
- Submitted by
- Novus Biologicals (provider)
- Main image

- Experimental details
- Immunohistochemistry-Paraffin: STX17 Antibody [NBP1-93968] - Immunohistochemical staining of human prostate shows moderate cytoplasmic positivity in glandular cells.
- Submitted by
- Novus Biologicals (provider)
- Main image

- Experimental details
- Immunohistochemistry-Paraffin: STX17 Antibody [NBP1-93968] - Immunohistochemical staining of human duodenum shows strong cytoplasmic positivity in glandular cells.
- Submitted by
- Novus Biologicals (provider)
- Main image

- Experimental details
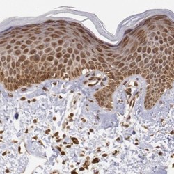
- Immunohistochemistry-Paraffin: STX17 Antibody [NBP1-93968] - Immunohistochemical staining of human skin shows moderate cytoplasmic positivity in epidermal cells.