Antibody data
- Antibody Data
- Antigen structure
- References [1]
- Comments [0]
- Validations
- Immunohistochemistry [1]
Submit
Validation data
Reference
Comment
Report error
- Product number
- bs-5479R - Provider product page

- Provider
- Bioss
- Proper citation
- Bioss Cat#bs-5479R, RRID:AB_11077861
- Product name
- MEF2C(Ser59) Polyclonal Antibody
- Antibody type
- Polyclonal
- Description
- KLH conjugated synthetic phosphopeptide derived from human MEF2C around the phosphorylation site of Ser59
- Reactivity
- Human, Mouse, Rat
- Host
- Rabbit
- Conjugate
- Unconjugated
- Isotype
- IgG
- Vial size
- 100ul
- Concentration
- 1ug/ul
- Storage
- Aqueous buffered solution containing 1% BSA, 50% glycerol and 0.09% sodium azide. Store at -20°C for 12 months.
Submitted references Plant MIR156 regulates intestinal growth in mammals by targeting the Wnt/β-catenin pathway.
Li M, Chen T, Wang R, Luo JY, He JJ, Ye RS, Xie MY, Xi QY, Jiang QY, Sun JJ, Zhang YL
American journal of physiology. Cell physiology 2019 Sep 1;317(3):C434-C448
American journal of physiology. Cell physiology 2019 Sep 1;317(3):C434-C448
No comments: Submit comment
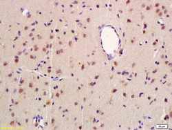
Supportive validation
- Submitted by
- Bioss (provider)
- Main image

- Experimental details
- Formalin-fixed and paraffin embedded rat brain labeled with Anti-phospho-MEF2C(Ser59)Polyclonal Antibody, Unconjugated (bs-5479R) at 1:200 followed by conjugation to the secondary antibody and DAB staining
- Sample type
- Rat
- Other comments
- Brain