ARG52698
antibody from Arigo
Targeting: SIGLEC1
CD169, dJ1009E24.1, FLJ00051, FLJ00055, FLJ00073, FLJ32150, sialoadhesin, SIGLEC-1, SN
Antibody data
- Antibody Data
- Antigen structure
- References [0]
- Comments [0]
- Validations
- Immunohistochemistry [5]
Submit
Validation data
Reference
Comment
Report error
- Product number
- ARG52698 - Provider product page

- Provider
- Arigo
- Product name
- anti-CD169 antibody [SP213]
- Antibody type
- Monoclonal
- Antigen
- Synthetic peptide near the C-terminus of human CD169 protein.
- Description
- Purified by protein A/G
- Reactivity
- Human
- Host
- Rabbit
- Isotype
- IgG
- Antibody clone number
- SP213
- Vial size
- 100 µl
- Storage
- Aliquot and store at 2-8°C. Do not freeze. The antibody solution should be gently mixed before use.
- Handling
- The antibody solution should be gently mixed before use.
No comments: Submit comment
Supportive validation
- Submitted by
- Arigo (provider)
- Main image

- Experimental details
- Immunohistochemistry: Human Liver stained with CD169 antibody [SP213] (ARG52698)
- Submitted by
- Arigo (provider)
- Main image

- Experimental details
- Immunohistochemistry: Human Bone Marrow stained with CD169 antibody [SP213] (ARG52698)
- Submitted by
- Arigo (provider)
- Main image

- Experimental details
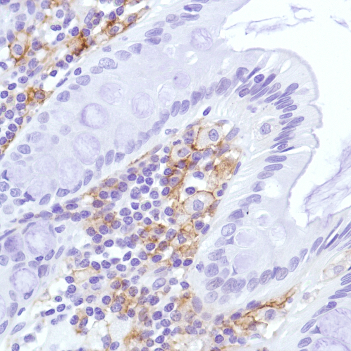
- Immunohistochemistry: Human Colon stained with CD169 antibody [SP213] (ARG52698)
- Submitted by
- Arigo (provider)
- Main image

- Experimental details
- Immunohistochemistry: Human Lung stained with CD169 antibody [SP213] (ARG52698)
- Submitted by
- Arigo (provider)
- Main image

- Experimental details
- Immunohistochemistry: Human Adrenal Glands stained with CD169 antibody [SP213] (ARG52698)