Antibody data
- Antibody Data
- Antigen structure
- References [0]
- Comments [0]
- Validations
- Western blot [3]
- Immunohistochemistry [4]
Submit
Validation data
Reference
Comment
Report error
- Product number
- NBP2-54695 - Provider product page

- Provider
- Novus Biologicals
- Product name
- Rabbit Polyclonal HIST1H4B Antibody
- Antibody type
- Polyclonal
- Description
- Immunogen affinity purified. Specificity of human, mouse, rat HIST1H4B antibody verified on a Protein Array containing target protein plus 383 other non-specific proteins.
- Reactivity
- Human, Mouse, Rat
- Host
- Rabbit
- Isotype
- IgG
- Vial size
- 100 ul
- Storage
- Store at 4C short term. Aliquot and store at -20C long term. Avoid freeze-thaw cycles.
No comments: Submit comment
Supportive validation
- Submitted by
- Novus Biologicals (provider)
- Main image

- Experimental details
- Western Blot: HIST1H4B Antibody [NBP2-54695] - Lane 1: NIH-3T3 cell lysate (Mouse embryonic fibroblast cells) Lane 2: NBT-II cell lysate (Rat Wistar bladder tumour cells)
- Submitted by
- Novus Biologicals (provider)
- Main image

- Experimental details
- Western Blot: HIST1H4B Antibody [NBP2-54695] - Lane 1: Marker [kDa] 250, 130, 95, 72, 55, 36, 28, 17, 10 Lane 2: Human cell line RT-4 Lane 3: Human cell line U-251 MG
- Submitted by
- Novus Biologicals (provider)
- Main image

- Experimental details
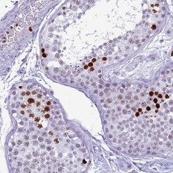
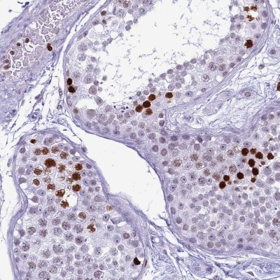
- Western Blot: HIST1H4B Antibody [NBP2-54695] - Staining of human testis shows moderate to strong nuclear positivity in cells in seminiferous ducts.
Supportive validation
- Submitted by
- Novus Biologicals (provider)
- Main image

- Experimental details
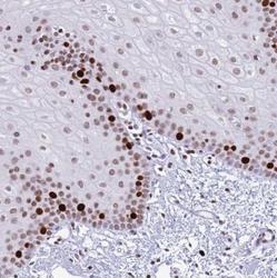
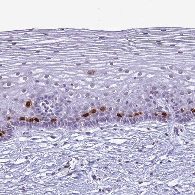
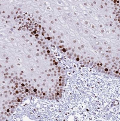
- Immunohistochemistry-Paraffin: HIST1H4B Antibody [NBP2-54695] - Staining of human oral mucosa shows strong nuclear positivity in fraction of squamous epithelial cells.
- Submitted by
- Novus Biologicals (provider)
- Main image

- Experimental details
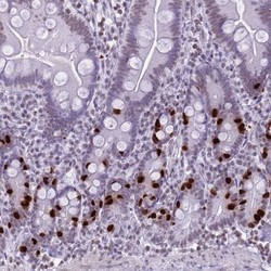
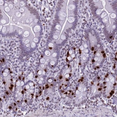
- Immunohistochemistry-Paraffin: HIST1H4B Antibody [NBP2-54695] - Staining of human small intestine shows moderate to strong nuclear positivity in glandular cells.
- Submitted by
- Novus Biologicals (provider)
- Main image

- Experimental details
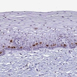
- Immunohistochemistry-Paraffin: HIST1H4B Antibody [NBP2-54695] - Staining of human cervix shows moderate to strong nuclear positivity in squamous epithelial cells.
- Submitted by
- Novus Biologicals (provider)
- Main image

- Experimental details
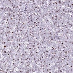
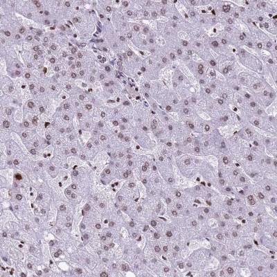
- Immunohistochemistry-Paraffin: HIST1H4B Antibody [NBP2-54695] - Staining of human liver shows very weak nuclear positivity in hepatocytes.