Antibody data
- Antibody Data
- Antigen structure
- References [0]
- Comments [0]
- Validations
- Western blot [1]
- Immunohistochemistry [8]
- Other assay [1]
Submit
Validation data
Reference
Comment
Report error
- Product number
- TA310261 - Provider product page

- Provider
- OriGene
- Product name
- Rabbit Monoclonal antibody against CD205
- Antibody type
- Monoclonal
- Description
- Rabbit Monoclonal antibody against CD205
- Host
- Rabbit
- Conjugate
- Unconjugated
- Epitope
- LY75-CD302
- Isotype
- IgG
- Antibody clone number
- EPR5233
- Vial size
- 100 µl
- Concentration
- NULL
No comments: Submit comment
Supportive validation
- Submitted by
- OriGene (provider)
- Main image

- Experimental details
- Western blot - Anti-LY75 antibody [EPR5233]; All lanes : Anti-LY75 antibody [EPR5233] at 1/1000 dilution.Lane 1 : Human thymus lysate.Lane 2 : Human lymph node lysate.Lane 3 : Human tonsil lysate.Lane 4 : Mouse thymus lysate.Lysates/proteins at 10 ug per lane.Secondary.Goat anti-Rabbit HRP at 1/2000 dilution.Predicted band size : 198 kDa.
- Validation comment
- WB
Supportive validation
- Submitted by
- OriGene (provider)
- Main image

- Experimental details
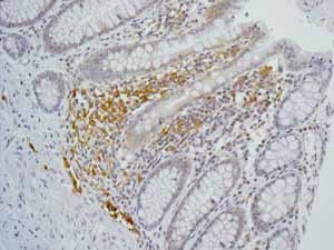
- Immunohistochemistry (Formalin/PFA-fixed paraffin-embedded sections)-Anti-LY75 antibody [EPR5233](TA310261); TA310261 showing positive staining in Normal colon lymphocytes tissue.
- Validation comment
- IHC
- Submitted by
- OriGene (provider)
- Main image

- Experimental details
- Immunohistochemistry (Formalin/PFA-fixed paraffin-embedded sections)-Anti-LY75 antibody [EPR5233](TA310261); TA310261 showing negative staining in Normal lung tissue.
- Validation comment
- IHC
- Submitted by
- OriGene (provider)
- Main image

- Experimental details
- Immunohistochemistry (Formalin/PFA-fixed paraffin-embedded sections) - Anti-LY75 antibody [EPR5233]; TA310261, at 1/250 dilution, staining LY75 in Formalin-fixed, Paraffin-embedded Human Tonsil tissue by Immunohistochemistry.
- Validation comment
- IHC
- Submitted by
- OriGene (provider)
- Main image

- Experimental details
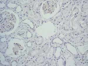
- Immunohistochemistry (Formalin/PFA-fixed paraffin-embedded sections)-Anti-LY75 antibody [EPR5233](TA310261); TA310261 showing negative staining in Normal kidney tissue.
- Validation comment
- IHC
- Submitted by
- OriGene (provider)
- Main image

- Experimental details
- Immunohistochemistry (Formalin/PFA-fixed paraffin-embedded sections)-Anti-LY75 antibody [EPR5233](TA310261); TA310261 showing negative staining in Normal brain tissue.
- Validation comment
- IHC
- Submitted by
- OriGene (provider)
- Main image

- Experimental details
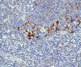
- Immunohistochemistry (Formalin/PFA-fixed paraffin-embedded sections)-Anti-LY75 antibody [EPR5233](TA310261); TA310261 showing positive staining in Normal thymus tissue.
- Validation comment
- IHC
- Submitted by
- OriGene (provider)
- Main image

- Experimental details
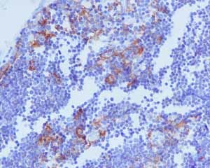
- Immunohistochemistry (Formalin/PFA-fixed paraffin-embedded sections)-Anti-LY75 antibody [EPR5233](TA310261); TA310261 showing positive staining in Normal spleen tissue.
- Validation comment
- IHC
- Submitted by
- OriGene (provider)
- Main image

- Experimental details
- Immunohistochemistry (Formalin/PFA-fixed paraffin-embedded sections)-Anti-LY75 antibody [EPR5233](TA310261); TA310261 showing negative staining in Skeletal muscle tissue.
- Validation comment
- IHC
Supportive validation
- Submitted by
- OriGene (provider)
- Main image

- Experimental details
- Other-Anti-LY75 antibody [EPR5233](TA310261); Equilibrium disassociation constant (KD)..
- Validation comment
- Assay