Antibody data
- Antibody Data
- Antigen structure
- References [1]
- Comments [0]
- Validations
- Immunocytochemistry [1]
- Immunohistochemistry [1]
Submit
Validation data
Reference
Comment
Report error
- Product number
- DM3500 - Provider product page 
- Provider
- OriGene
- Product name
- PDPN mouse monoclonal antibody, clone 18H5, Supernatant
- Antibody type
- Monoclonal
- Description
- PDPN mouse monoclonal antibody, clone 18H5, Supernatant
- Host
- Mouse
- Conjugate
- Unconjugated
- Epitope
- PDPN
- Isotype
- IgG
- Antibody clone number
- 18H5
- Vial size
- 200 µl
- Concentration
- NULL
Submitted references		Lymphatic reprogramming of microvascular endothelial cells by CEA-related cell adhesion molecule-1 via interaction with VEGFR-3 and Prox1.
				
		
	
			Kilic N, Oliveira-Ferrer L, Neshat-Vahid S, Irmak S, Obst-Pernberg K, Wurmbach JH, Loges S, Kilic E, Weil J, Lauke H, Tilki D, Singer BB, Ergün S
Blood 2007 Dec 15;110(13):4223-33
		Blood 2007 Dec 15;110(13):4223-33
				No comments: Submit comment	
	
			
							
					Supportive validation
					
									
				
				- Submitted by
- OriGene (provider)
- Main image
 
- Experimental details
- DM3500 Podoplanin antibody Immunostaining of Human Lymphatic Endothelial Cells.
- Validation comment
- IF
							
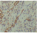
					Supportive validation
					
									
				
		- Submitted by
- OriGene (provider)
- Main image
 
- Experimental details
- DM3500 Podoplanin antibody staining of Paraffin Embedded Human Mucosa Sections.
- Validation comment
- IHC