Antibody data
- Antibody Data
- Antigen structure
- References [0]
- Comments [0]
- Validations
- Immunocytochemistry [2]
- Immunohistochemistry [1]
- Flow cytometry [2]
Submit
Validation data
Reference
Comment
Report error
- Product number
- PA5-35063 - Provider product page

- Provider
- Invitrogen Antibodies
- Product name
- PCDH20 Polyclonal Antibody
- Antibody type
- Polyclonal
- Antigen
- Synthetic peptide
- Reactivity
- Human, Rat
- Host
- Rabbit
- Isotype
- IgG
- Vial size
- 400 μL
- Concentration
- 0.5 mg/mL
- Storage
- Store at 4°C short term. For long term storage, store at -20°C, avoiding freeze/thaw cycles.
No comments: Submit comment
Supportive validation
- Submitted by
- Invitrogen Antibodies (provider)
- Main image

- Experimental details
- Immunofluorescent analysis of PCDH20 in MCF-7 cells using a PCDH20 polyclonal antibody (Product # PA5-35063) followed by detection using a fluorescent conjugated secondary antibody (green). Nuclei were stained with Dapi (blue).
- Submitted by
- Invitrogen Antibodies (provider)
- Main image

- Experimental details
- Immunocytochemistry analysis of PCDH20 in MCF-7 cells. Samples were incubated in PCDH20 polyclonal antibody (Product # PA5-35063) followed by Alexa Fluor 488-conjugated goat anti-rabbit lgG (green). DAPI was used to stain the cell nuclear (blue).
Supportive validation
- Submitted by
- Invitrogen Antibodies (provider)
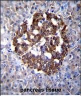
- Main image

- Experimental details
- Immunohistochemistry analysis of PCDH20 in formalin fixed and paraffin embedded human pancreas tissue. Samples were incubated with PCDH20 polyclonal antibody (Product # PA5-35063) followed by peroxidase conjugation of the secondary antibody and DAB staining. This data demonstrates the use of this antibody for immunohistochemistry. Clinical relevance has not been evaluated.
Supportive validation
- Submitted by
- Invitrogen Antibodies (provider)
- Main image

- Experimental details
- Flow cytometry analysis of PCDH20 in MCF-7 cells (right) compared to a negative control (left) using a PCDH20 polyclonal antibody (Product # PA5-35063) followed by detection using a FITC-conjugated goat-anti-rabbit secondary antibody.
- Submitted by
- Invitrogen Antibodies (provider)
- Main image

- Experimental details
- Flow cytometry of PCDH20 in MCF-7 cells (right histogram). Samples were incubated with PCDH20 polyclonal antibody (Product # PA5-35063) followed by FITC-conjugated goat-anti-rabbit secondary antibody. Negative control cell (left histogram).