NBP2-57472
antibody from Novus Biologicals
Targeting: WASHC2A
bA56A21.1, bA98I6.1, FAM21A, FAM21B, FLJ10824
Antibody data
- Antibody Data
- Antigen structure
- References [0]
- Comments [0]
- Validations
- Immunohistochemistry [1]
Submit
Validation data
Reference
Comment
Report error
- Product number
- NBP2-57472 - Provider product page

- Provider
- Novus Biologicals
- Product name
- Rabbit Polyclonal FAM21A Antibody
- Antibody type
- Polyclonal
- Description
- Affinity purified. Specificity of human FAM21A antibody verified on a Protein Array containing target protein plus 383 other non-specific proteins.
- Reactivity
- Human
- Host
- Rabbit
- Isotype
- IgG
- Vial size
- 100 ul
- Storage
- Store at 4C short term. Aliquot and store at -20C long term. Avoid freeze-thaw cycles.
No comments: Submit comment
Supportive validation
- Submitted by
- Novus Biologicals (provider)
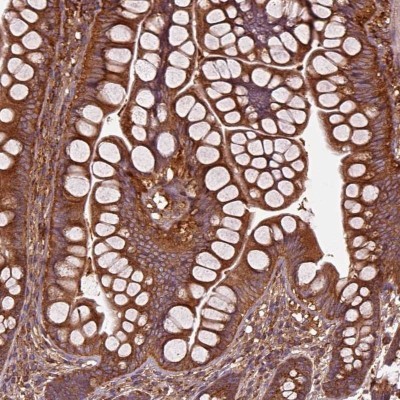
- Main image

- Experimental details
- Immunohistochemistry-Paraffin: FAM21A Antibody [NBP2-57472] - Staining of human small intestine shows strong cytoplasmic positivity in glandular cells.