PA5-61604
antibody from Invitrogen Antibodies
Targeting: WASHC2A
bA56A21.1, bA98I6.1, FAM21A, FAM21B, FLJ10824
Antibody data
- Antibody Data
- Antigen structure
- References [0]
- Comments [0]
- Validations
- Immunocytochemistry [2]
- Immunohistochemistry [4]
Submit
Validation data
Reference
Comment
Report error
- Product number
- PA5-61604 - Provider product page

- Provider
- Invitrogen Antibodies
- Product name
- FAM21A Polyclonal Antibody
- Antibody type
- Polyclonal
- Antigen
- Recombinant protein fragment
- Description
- Immunogen sequence: VRVYDEEVEE PVLKAEAEKT EQEKTREQKE VDLIPKVQEA VNYGLQVLDS AFEQLDIKAG NSDSEEDDAN GRVELILEPK DLYIDRPLPY LIGSKLFME Highest antigen sequence identity to the following orthologs: Mouse - 94%, Rat - 91%.
- Reactivity
- Human
- Host
- Rabbit
- Isotype
- IgG
- Vial size
- 100 μL
- Concentration
- 0.2 mg/mL
- Storage
- Store at 4°C short term. For long term storage, store at -20°C, avoiding freeze/thaw cycles.
No comments: Submit comment
Supportive validation
- Submitted by
- Invitrogen Antibodies (provider)
- Main image

- Experimental details
- Immunofluorescent staining of FAM21A in human cell line U-2 OS using a FAM21A Polyclonal Antibody (Product # PA5-61604) shows localization to nucleoli, cytosol and vesicles.
- Submitted by
- Invitrogen Antibodies (provider)
- Main image

- Experimental details
- Immunofluorescent staining of FAM21A in human cell line U-2 OS using a FAM21A Polyclonal Antibody (Product # PA5-61604) shows localization to nucleoli, cytosol and vesicles.
Supportive validation
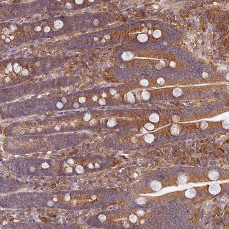
- Submitted by
- Invitrogen Antibodies (provider)
- Main image

- Experimental details
- Immunohistochemical staining of FAM21A in human duodenum using a FAM21A Polyclonal Antibody (Product # PA5-61604) shows moderate cytoplasmic positivity.
- Submitted by
- Invitrogen Antibodies (provider)
- Main image

- Experimental details
- Immunohistochemical analysis of FAM21A in human cerebellum using FAM21A Polyclonal Antibody (Product # PA5-61604) shows strong cytoplasmic positivity in Purkinje cells.
- Submitted by
- Invitrogen Antibodies (provider)
- Main image

- Experimental details
- Immunohistochemical analysis of FAM21A in human pancreas using FAM21A Polyclonal Antibody (Product # PA5-61604) shows strong cytoplasmic positivity in exocrine glandular cells.
- Submitted by
- Invitrogen Antibodies (provider)
- Main image

- Experimental details
- Immunohistochemical analysis of FAM21A in human testis using FAM21A Polyclonal Antibody (Product # PA5-61604) shows strong cytoplasmic positivity in cells in seminiferous ducts.